医影在线

标题: CT7925:[原创]肺部 [打印本页]

作者: w_jianhua    时间: 2007-4-25 20:14
标题: CT7925:[原创]肺部
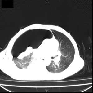
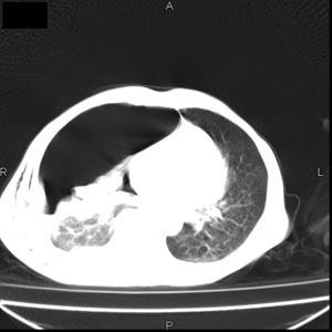
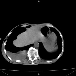
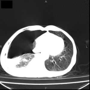
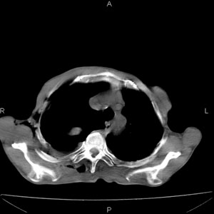
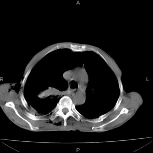
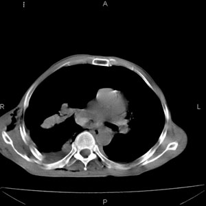
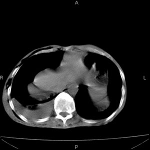
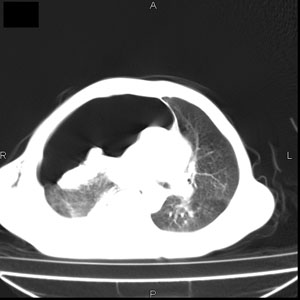
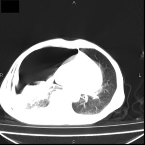
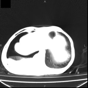
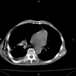
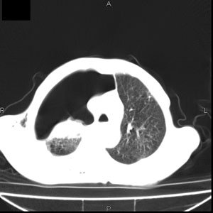
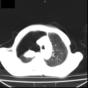
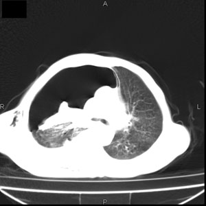
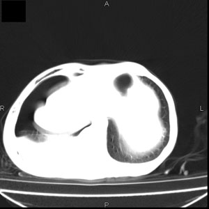
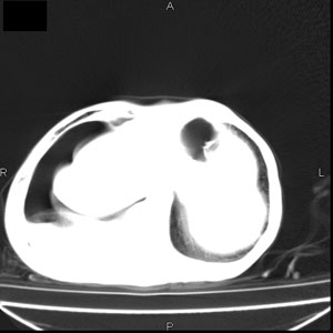
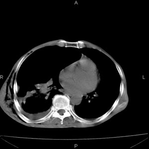
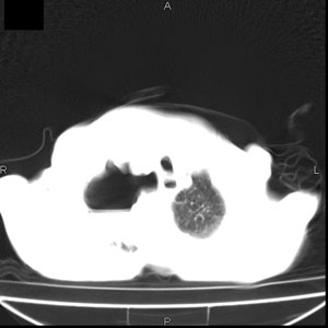
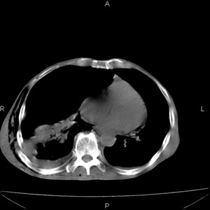
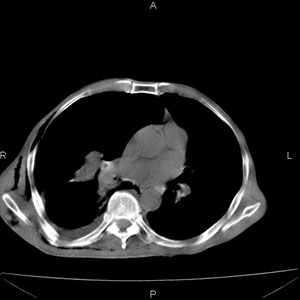
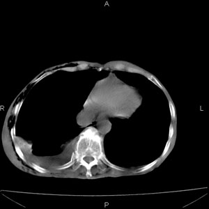
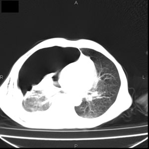
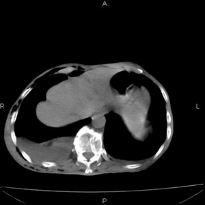
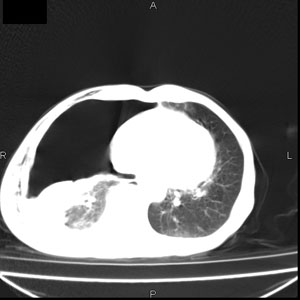
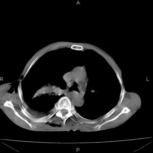
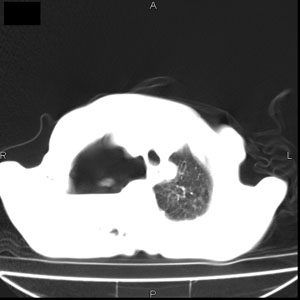
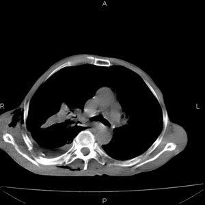
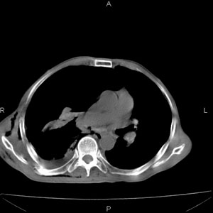
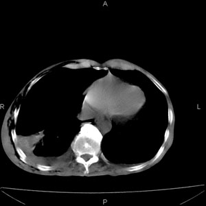
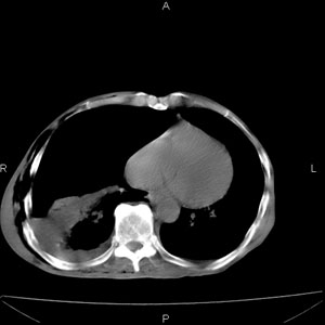
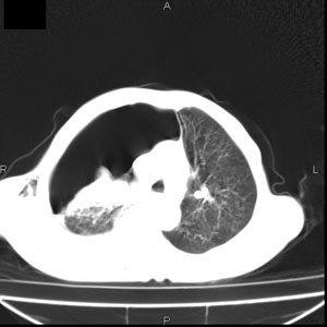
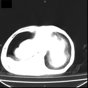
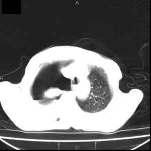
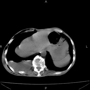
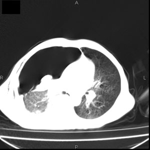
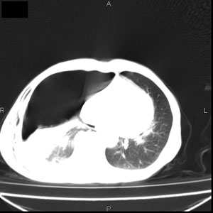
患者男,77岁,于3日前从树上摔下,头部查ct示蛛血,硬膜下出血,上腹部ct未见明显异常,右侧胸腔积液,左侧如常。肺部拍片示右侧肋骨多发骨折住院后今日来查肺部ct,我看到的是1。右侧胸腔血气胸并右肺上叶,中叶压缩性肺不张,2。右肺下叶肺挫伤并多发肋骨骨折,肌内及皮下积气3。左侧少量胸腔积液,我想请教的是3天前左侧胸腔里没有积液今天怎么出现了呢,是什么原因呢?请讨论。












































[本贴已被 jiajie 于 2007-4-27 20:51:50 修改过]

作者: jian-5587    时间: 2007-4-25 20:21
有肺挫裂伤,有渗出,
作者: ZHANGZHONGSHOU    时间: 2007-4-25 20:28
回复楼主   左侧液气胸,液体来源1、肯定有血液成分,多少不一定。2、胸膜腔渗液,由于肺压缩、活动度下降,肯定胸膜吸收有问题,导致积液增多。
作者: qian    时间: 2007-4-25 20:30
因为3天前病人刚摔的时候,左侧胸腔受伤不严重,故而当时没有胸腔积液,但病人受到这么大的伤害,胸膜腔内的液体动态平衡肯定会受到影响,所以过一段时间后才出现胸腔积液。
作者: 晓杰    时间: 2007-4-25 20:30
支持楼主意见
作者: zjzjr    时间: 2007-4-25 20:45
支持楼主意见
作者: 朱亮    时间: 2007-4-25 21:06
支持楼上几位意见
作者: jinning    时间: 2007-4-25 21:13
支持楼主意见
作者: 卜一    时间: 2007-4-25 22:07
第 3 楼

  
   
支持楼主诊断。液体来源:1、血液成分,外伤所致。2、胸膜腔渗液—由于肺压缩、活动度下降,肯定胸膜吸收有问题,导致积液增多。
作者: hhcckk    时间: 2007-4-25 22:31
1、外伤出血需要一定的时间
2、气胸存在时间长了,产生的胸膜渗液
作者: dyqct    时间: 2007-4-25 22:51
支持楼主意见。外伤可有迟发性的改变。
作者: 狙击手    时间: 2007-4-26 00:11
考虑外伤性迟发性胸腔积液。
作者: andymaomao    时间: 2007-4-26 00:17
右侧液气胸,胸膜创伤、肺组织挫伤,渗出属正常反应。
作者: lyl1975    时间: 2007-4-26 01:04
右侧多发肋骨骨折,同侧液气胸
作者: 心愿    时间: 2007-4-26 01:25
标题: 回复:[原创]肺部
以下是引用卜一在2007-4-25 14:07:00的发言:[br]第 3 楼 [br] [br]  [br]   [br]支持楼主诊断。液体来源:1、血液成分,外伤所致。2、胸膜腔渗液—由于肺压缩、活动度下降,肯定胸膜吸收有问题,导致积液增多。 [br] [br] [br]

作者: xclzq_910    时间: 2007-4-26 01:39
本人考虑有两种可能1)外伤迟发性的改变。
         2)当时肋骨没有刺破肋间血管,可能这3天中由于运动导致
作者: jw-830    时间: 2007-4-26 01:50
支持楼主诊断。液体来源:1、血液成分,外伤所致。2、胸膜腔渗液—由于肺压缩、活动度下降,肯定胸膜吸收有问题,导致积液增多。
作者: 同    时间: 2007-4-26 02:04
支持左侧液气胸
作者: zhanghua2086    时间: 2007-4-26 04:10
迟发反应  没什么
作者: 拾荒者    时间: 2007-4-26 04:31
支持-- 外伤性迟发性胸腔积液。
作者: qc80012345    时间: 2007-4-26 04:36
左侧液气胸,液体来源1、肯定有血液成分,多少不一定。2、胸膜腔渗液,由于肺压缩、活动度下降,肯定胸膜吸收有问题,导致积液增多
作者: yscao    时间: 2007-6-19 05:24
张力性气胸




欢迎光临 医影在线 (http://bbs.radida.com/bbs/) Powered by Discuz! X3.2