医影在线

标题: X2088:右下肺背段囊性?空洞? [打印本页]

作者: zxczxc    时间: 2007-4-27 07:12
标题: X2088:右下肺背段囊性?空洞?
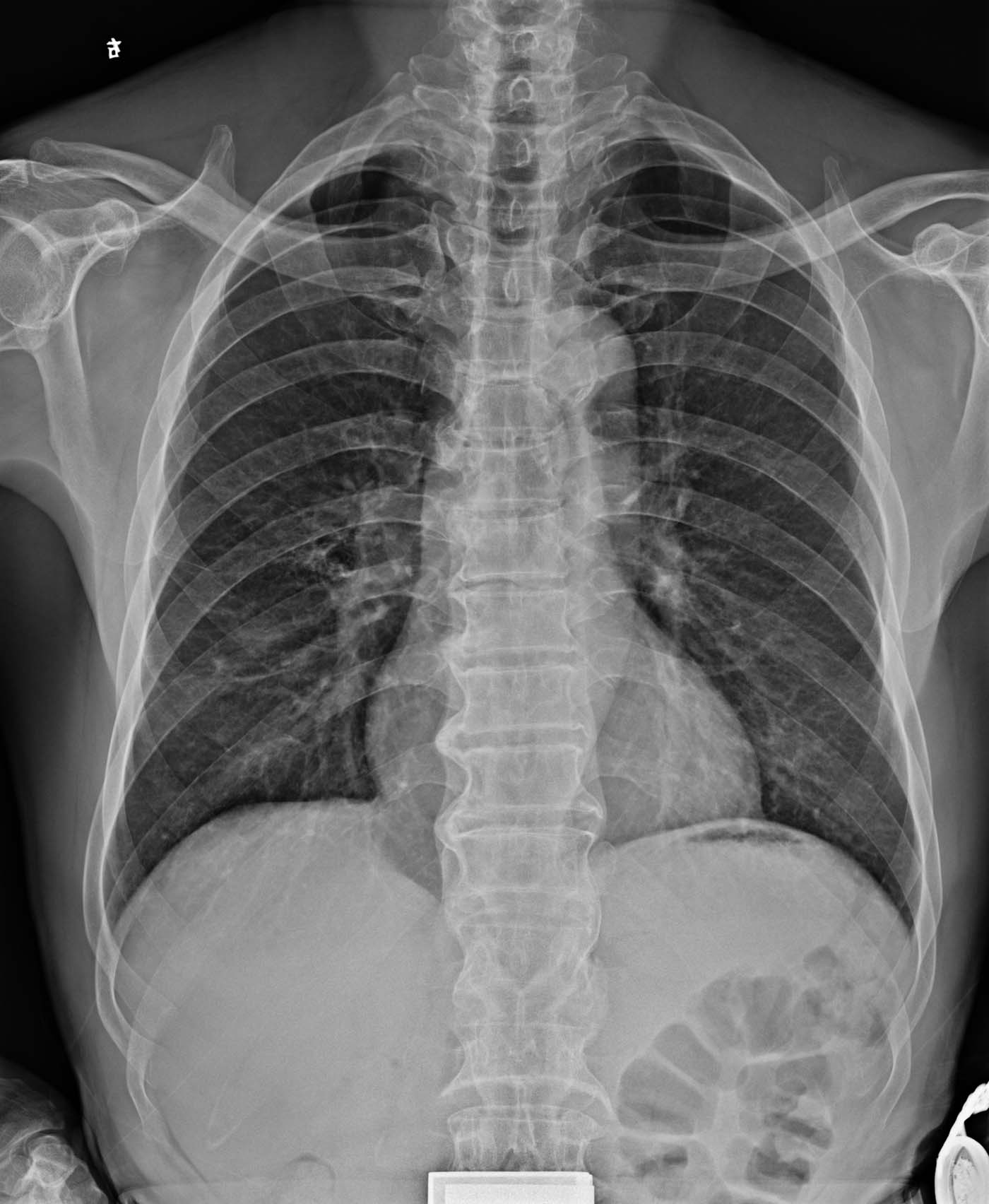
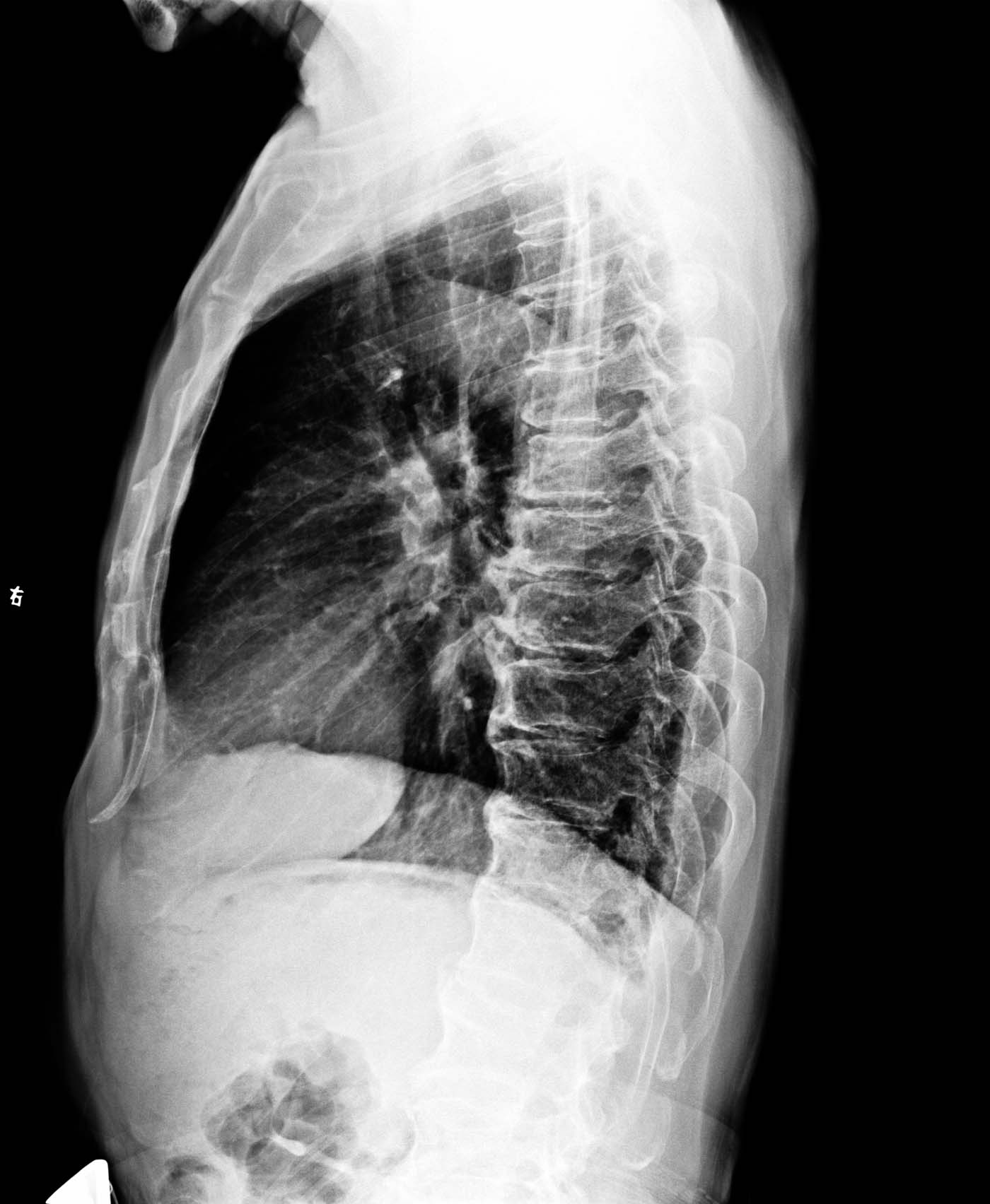
男,46岁,有咳嗽,无咯血,无发热。右下肺背段见一大小约1.5*1.5cm囊肿?还是空洞?,其内未见液平面,右下肺另见索条状密度增高影。






[本贴已被 jiajie 于 2008-2-26 18:31:37 修改过]

作者: 王守平    时间: 2007-4-27 07:16
建议做个ct吧
作者: 苍三医黄    时间: 2007-4-27 07:37
我晕,看不到什么东东
作者: 天南地北    时间: 2007-4-27 08:57
胸椎退变
没有看到楼主所说的空腔
建议ct进一步检查
作者: shiqingfa    时间: 2007-4-27 15:14
胸椎退变
没有看到楼主所说的空腔
建议ct进一步检查
作者: ZHANGZHONGSHOU    时间: 2007-4-27 15:40
建议ct检查。
作者: kbzyycm    时间: 2007-4-27 16:33
建议ct检查。
作者: cxr2002    时间: 2007-4-27 16:49
还好嘛
作者: zhangkening    时间: 2007-4-27 20:27
有时候不一定是空洞,也有可能是肺纹理凑合影.
作者: 潘X    时间: 2007-4-27 20:52
看不出所谓的空洞影,可能是肺纹理迂曲所到的假象吧?
作者: weijing    时间: 2007-4-27 22:27
右下肺有炎症吧,建议以ct
作者: 眼睛    时间: 2007-4-27 22:51
片子质量很好!
作者: dyqct    时间: 2007-4-27 23:13
胸椎退行性骨关节病。建议ct检查除外肺部病变。
作者: 天意    时间: 2007-4-28 00:42
没看到什么啊~
作者: jinning    时间: 2007-4-28 01:04
建议ct检查。
作者: jiangjing    时间: 2007-4-28 01:07
胸椎退变
没有看到楼主所说的空腔
建议ct进一步检查
作者: 123zhangming    时间: 2007-4-28 03:24
可能是肺纹理迂曲所至的假象吧
作者: ziyuan1113    时间: 2007-4-28 03:27
没看到楼主说的东东
作者: qc80012345    时间: 2007-4-28 04:16
胸椎退变
没有看到楼主所说的空腔
建议ct进一步检查
作者: 流星1234    时间: 2007-4-28 06:21
建议ct检查
作者: liuhj    时间: 2007-4-28 06:28
是肺纹理太多了吧?
作者: zxczxc    时间: 2007-4-29 07:17
胸透发现右下肺囊状影或空洞影后进行摄片的。
作者: 苍三医黄    时间: 2007-4-29 20:54
右下肺看到条索状阴影,有没有空洞好像不怎么肯定,建议ct检查吧
作者: lyl1975    时间: 2007-4-30 01:04
做个ct看看
作者: 吴文利    时间: 2007-4-30 03:11
看不出所谓的空洞影,可能是肺纹理迂曲所到的假象吧?条件过大
作者: jinguoji    时间: 2007-5-8 17:59
胸椎退行性骨关节病。建议ct检查除外肺部病变。
作者: 吴文利    时间: 2007-5-8 18:28
有时候不一定是空洞,也有可能是肺纹理凑合影
作者: yangxueping    时间: 2007-5-25 07:15
我什么东东都没看见
作者: shibing    时间: 2013-2-22 15:04
建议ct进一步检查




欢迎光临 医影在线 (http://bbs.radida.com/bbs/) Powered by Discuz! X3.2