






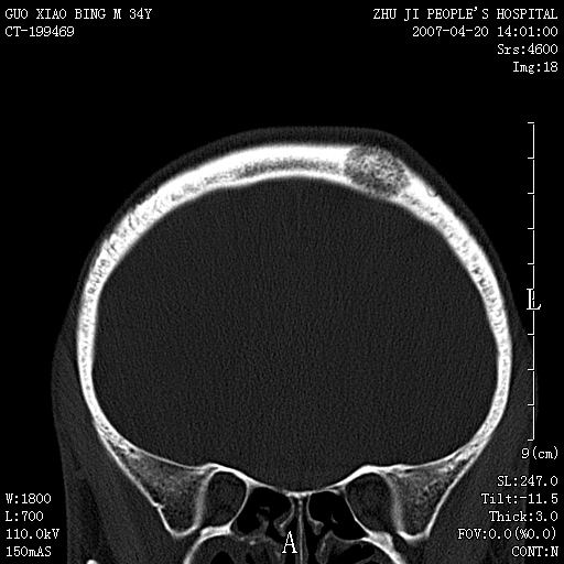
以下是引用qiuleiyu在2007-4-27 16:41:00的发言:[br]ct左侧额顶部囊性膨胀性骨质破坏,边缘有轻度硬化,其内示多发点条状高密度。[br]mri;t1低信号,t2明显高信号。界清。增强后明显强化。[br]综合考虑;颅内血管瘤。上传该病例,目的在于加深印象,共同学习。[br]骨血管瘤好发于颅骨及椎体。为良性肿瘤。组织学上分海锦型及毛细血管型。前者多见。[br]颅血管瘤典型影像学表现;[br]1,平片;类圆形骨质破坏,边缘硬化,内示中央向周边年轮状辐射(残存增粗骨小梁)。[br]2,ct;颅内板障内膨胀骨质破坏,边缘硬化,内示密集点状及放射状骨针影。[br]3,mr;t1、t2高信号。该病例t1不高可能与血流较丰富有关。边缘低信号。增强明显强化。[br]鉴别;[br]1,脑膜瘤;主要累及内板,与血管瘤发生于板障不同。颅板骨质增生硬化,与颅内垂直放射状骨针。与血管瘤日光放射状不同。增强可见脑膜尾征。[br]2,嗜酸性肉芽肿;起自板障溶骨性骨质破坏。内无点状及放射状高密度影。边缘硬化不明显。局部可有骨膜反应。[br]3,转移性肿瘤;溶骨破坏边缘模糊,无硬化边。发展迅速。有原发肿瘤史。可多发。可出现软组织块。[br]4,单发骨髓瘤;发病年龄较大,临床可能全身骨质疏松,骨痛。免疫球蛋白增高。部分病例本周氏蛋白可增高。可有边缘硬化,然内无点状高密度影。[br]
| 欢迎光临 医影在线 (http://bbs.radida.com/bbs/) | Powered by Discuz! X3.2 |