




























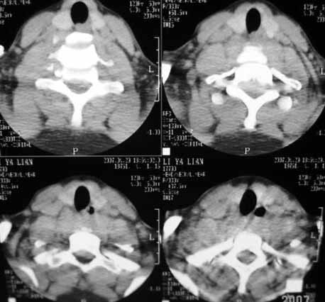
以下是引用gaoxiao在2007-4-29 21:40:00的发言:[br]颈6椎体外伤性滑脱伴附件骨骨折,建议mri进一步检查,看一下脊髓情况脊髓是否横断,病人很重。
以下是引用小初学者在2007-4-29 21:32:00的发言:[br][br]
[br]
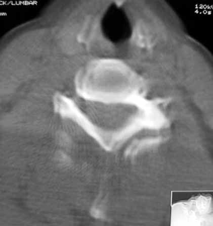
以下是引用zhangzhongshou在2007-4-29 22:53:00的发言:[br]1、c5半脱位,i度前滑脱。[br]2、c5椎板骨折。[br]3、第7幅图像显示右侧椎板骨折,哪一节颈椎,楼主自己知道。[br]4、c2、3附件融合畸形。[br]5、考虑环椎后桥,亦为正常变异。


以下是引用dyqct在2007-4-29 21:40:00的发言:[br][br][br][br]
[本贴已被 dyqct 于 2007-4-29 21:41:31 修改过]
| 欢迎光临 医影在线 (http://bbs.radida.com/bbs/) | Powered by Discuz! X3.2 |