






















































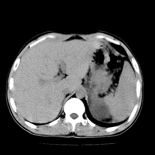
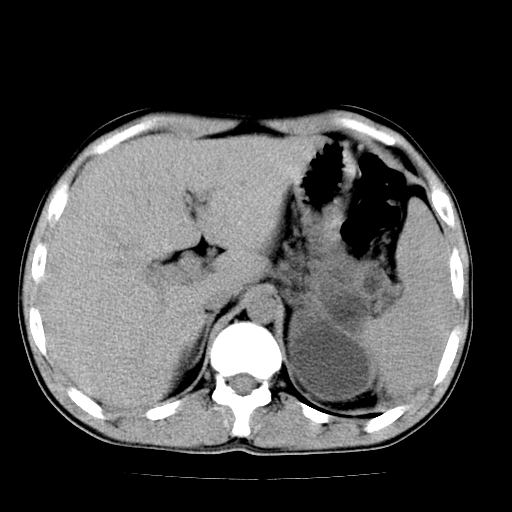
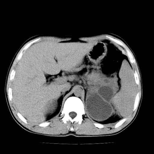
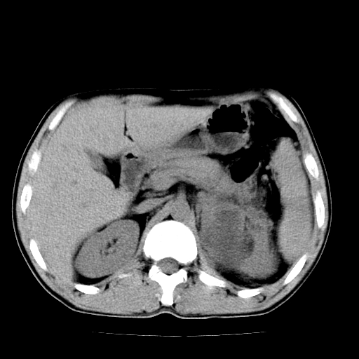
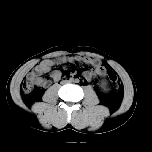
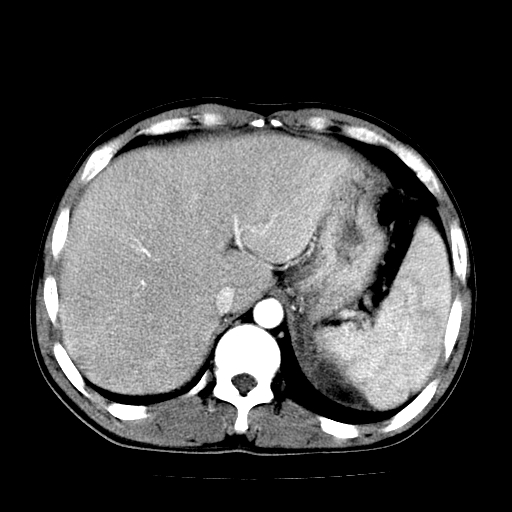
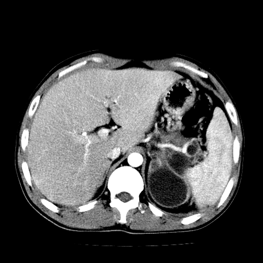
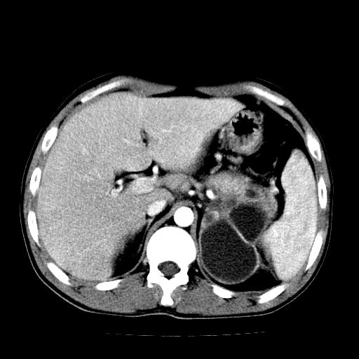
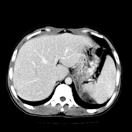
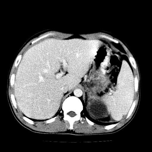
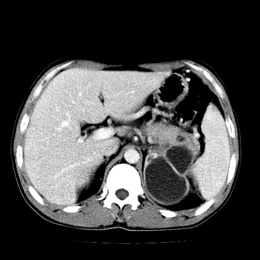
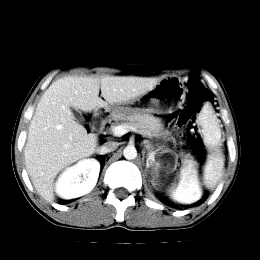
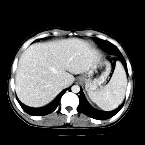
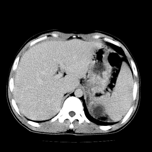
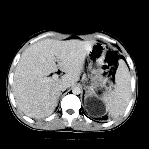
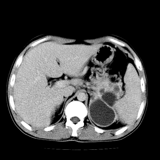
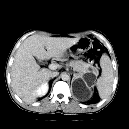
以下是引用天南地北在2007-4-30 13:36:00的发言:[br]支持慢性胰腺炎伴有假性囊肿
以下是引用dyqct在2007-4-30 15:08:00的发言:[br][quote]以下是引用天南地北在2007-4-30 13:36:00的发言:[br]支持慢性胰腺炎伴有假性囊肿
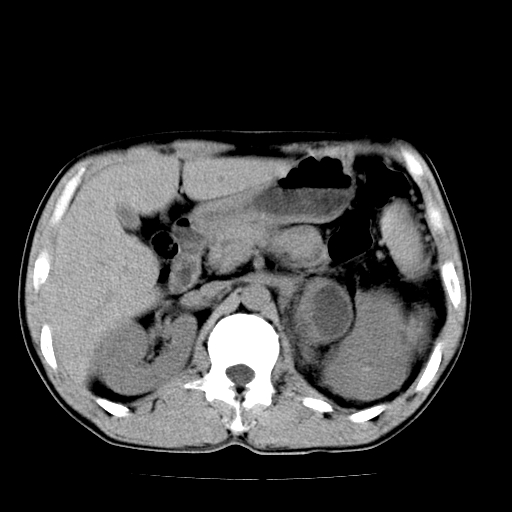
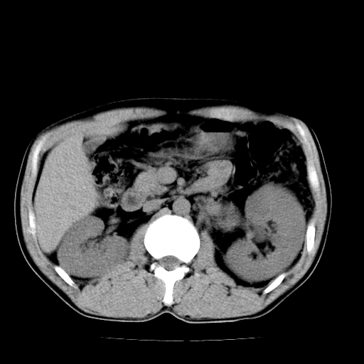
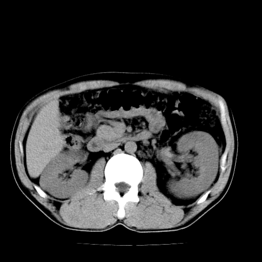
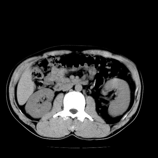
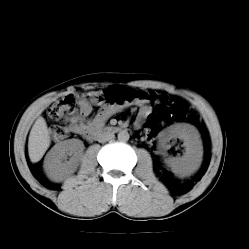
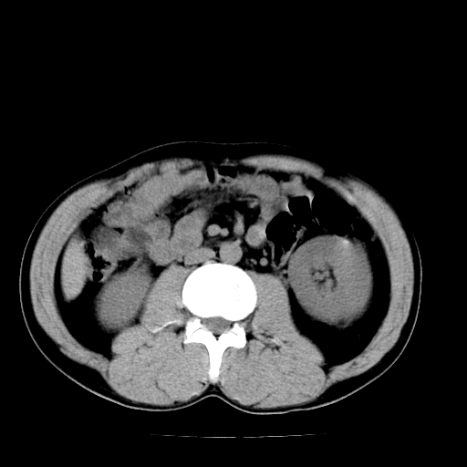
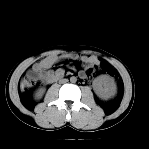
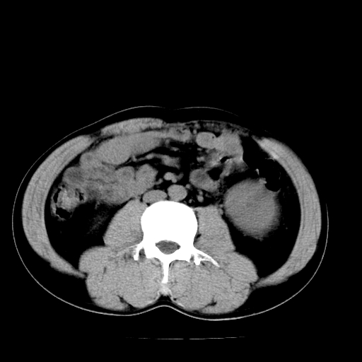
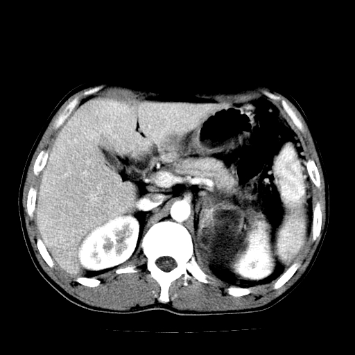
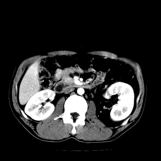
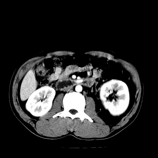
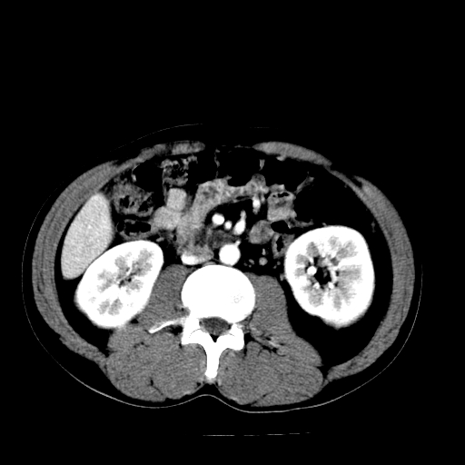
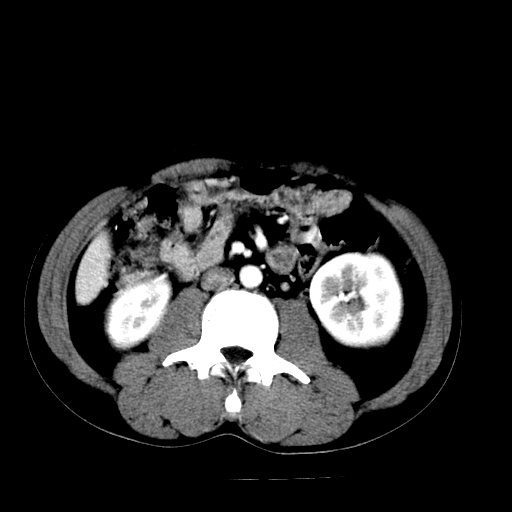
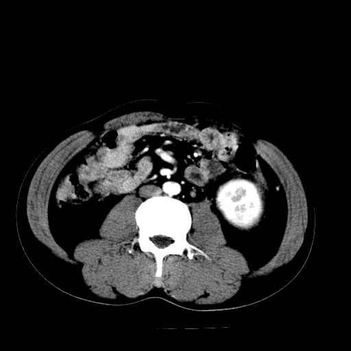
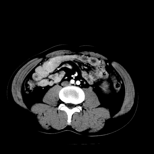
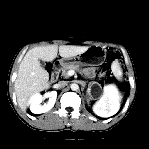
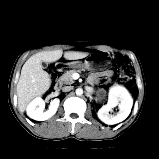
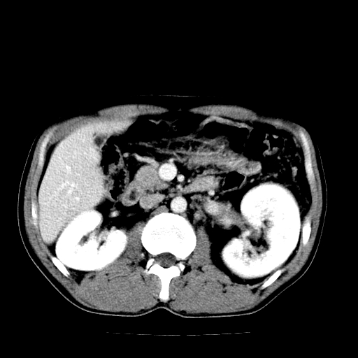
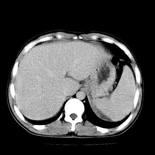
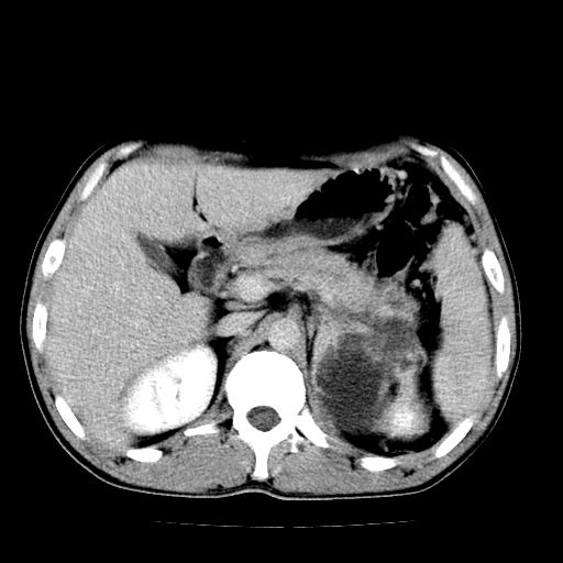
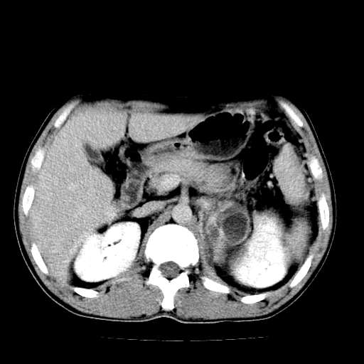
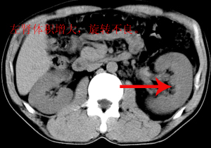
以下是引用andymaomao在2007-4-30 14:28:00的发言:[br]支持:1.慢性胰腺炎并假性囊肿形成可能;[br] 2.左肾形态稍增大,旋转不良。
以下是引用小初学者在2007-4-30 12:43:00的发言:[br][br]
[br]
以下是引用汪涛同志在2007-4-30 22:15:00的发言:[br][quote]以下是引用小初学者在2007-4-30 12:43:00的发言:[br][br]
[br]
| 欢迎光临 医影在线 (http://bbs.radida.com/bbs/) | Powered by Discuz! X3.2 |