医影在线
标题: CT8010:女75岁,发现中腹部肿块3个月,稍有压痛.余无不适,大便 [打印本页]
作者: zjzjr 时间: 2007-4-30 21:38
标题: CT8010:女75岁,发现中腹部肿块3个月,稍有压痛.余无不适,大便
















[本贴已被 jiajie 于 2007-4-30 20:12:13 修改过]
作者: 天南地北 时间: 2007-4-30 21:52
标题: 回复:女75岁,发现中腹部肿块3个月,稍有压痛.余无不适,大

作者: hhcckk 时间: 2007-4-30 22:09
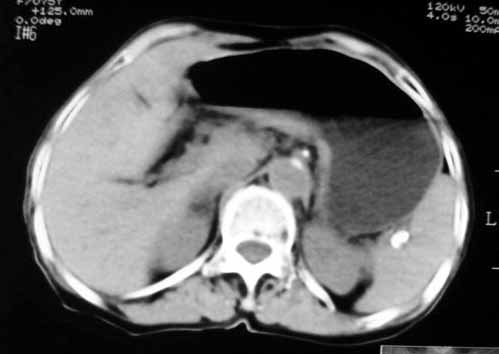
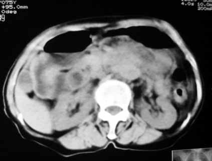
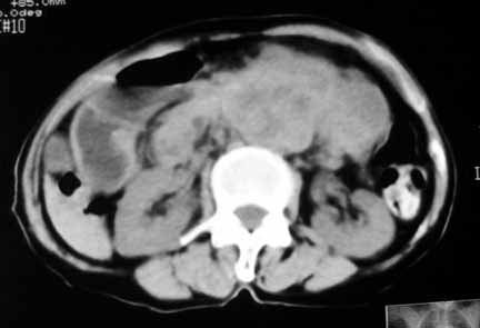
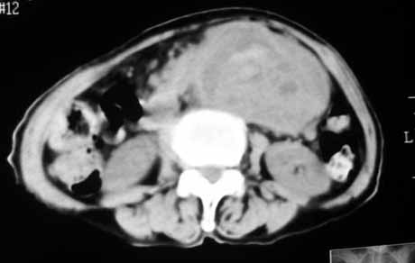
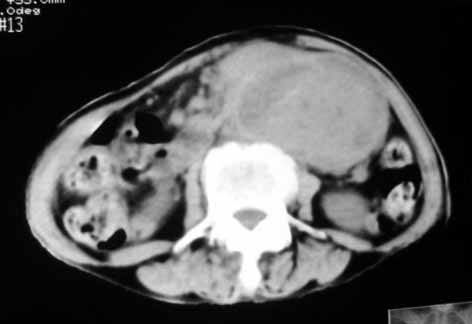
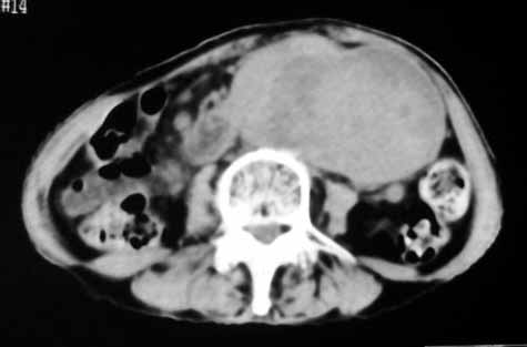
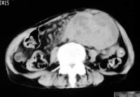
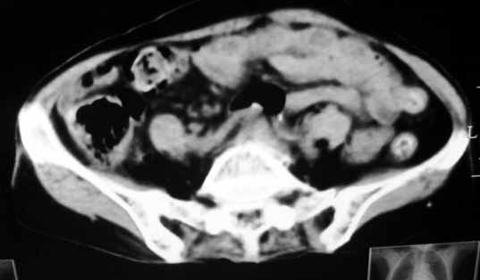
腹膜后软组织肿块,密度不均匀,病灶分叶,降主动脉受浸犯
考虑来源于腹膜后间叶组织的肿瘤
脂肪肉瘤,平滑肌肉瘤的可能性大
作者: andymaomao 时间: 2007-4-30 22:10
标题: 00
1.中腹部腹主动脉旁可见巨大包块影,其形态似为2个(或分叶),与腹主动脉分界不清,边界较清,其内密度不均匀(稍高、不匀称低密度),腹膜后未见确切肿大淋巴结...性质?考虑腹主动脉瘤可能性大,不排除平滑肌瘤及畸胎瘤可能,建议增强ct;
2.脾门处高密度影块影,原因?
3.右肾前外极囊性低密度影,边界清楚,考虑肾囊肿可能。
[本贴已被 andymaomao 于 2007-4-30 14:32:12 修改过]
作者: dyqct 时间: 2007-4-30 23:07
考虑:1、左侧腹膜后占位性病变(以间叶源性肿瘤可能性大);
2、右肾上极小囊肿;
3、脾门区淋巴结钙化。
4、建议增强扫描进一步检查。
作者: 卜一 时间: 2007-4-30 23:34
腹膜后软组织肿块,密度不均匀,病灶分叶,降主动脉受浸犯
考虑:来源于腹膜后间叶组织的肿瘤
脂肪肉瘤,平滑肌肉瘤的可能性大。支持!(本例关键是定位,仔细分析,可以观察到主动脉被包埋于肿瘤内,因此可定位于—来源于腹膜后的实性肿瘤。)
作者: jinning 时间: 2007-4-30 23:45
支持楼上
作者: chmb 时间: 2007-4-30 23:46
病灶包绕腹主动脉,腹膜后纤维化?
作者: 老爱克斯 时间: 2007-5-1 00:18
腹膜后肿块侵犯腹主动脉及肠系膜上动脉,肿块密度不均,1来源间叶组织肿瘤,2肠系膜恶性肿瘤可能大,
作者: 拾荒者 时间: 2007-5-1 05:32
标题: 回复:ct8010:女75岁,发现中腹部肿块3个月,稍有压痛.余无不
以下是引用卜一在2007-4-30 15:34:00的发言:[br]腹膜后软组织肿块,密度不均匀,病灶分叶,降主动脉受侵犯[br]考虑:来源于腹膜后间叶组织的肿瘤[br]脂肪肉瘤,平滑肌肉瘤的可能性大。支持!(本例关键是定位,仔细分析,可以观察到主动脉被包埋于肿瘤内,因此可定位于—来源于腹膜后的实性肿瘤。)
作者: zxczxc 时间: 2007-5-1 06:59
腹膜后占位性病变,腹膜后淋巴结转移,脾门动脉硬化,右肾囊肿。
作者: 宝天曼 时间: 2007-5-1 15:52
1来源间叶组织肿瘤,2肠系膜恶性肿瘤可能大,
作者: wanbo2004 时间: 2007-5-1 17:27
,因为如果是来源于腹主动脉的动脉瘤的话,长径应该呈梭形.腹主动脉被肿块包埋,考虑来源于小网膜囊的间质瘤
作者: shenhs 时间: 2007-5-1 21:00
标题: 回复:ct8010:女75岁,发现中腹部肿块3个月,稍有压痛.余无不
以下是引用拾荒者在2007-4-30 21:32:00的发言:[br][quote]以下是引用卜一在2007-4-30 15:34:00的发言:[br]腹膜后软组织肿块,密度不均匀,病灶分叶,降主动脉受侵犯[br]考虑:来源于腹膜后间叶组织的肿瘤[br]脂肪肉瘤,平滑肌肉瘤的可能性大。支持!(本例关键是定位,仔细分析,可以观察到主动脉被包埋于肿瘤内,因此可定位于—来源于腹膜后的实性肿瘤。)
[br][/quote]
| 欢迎光临 医影在线 (http://bbs.radida.com/bbs/) |
Powered by Discuz! X3.2 |