








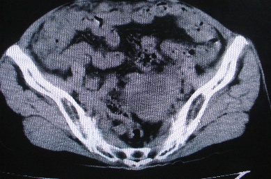
以下是引用卜一在2007-4-30 15:29:00的发言:[br]子宫明显增大,不规则,子宫壁不规则增厚,子宫腔明显缩小,子宫右侧软组织团块与子宫关系密切,内见低密度坏死区。考虑:子宫癌并周围侵润。
以下是引用dyqct在2007-4-30 15:38:00的发言:[br][quote]以下是引用卜一在2007-4-30 15:29:00的发言:[br]子宫明显增大,不规则,子宫壁不规则增厚,子宫腔明显缩小,子宫右侧软组织团块与子宫关系密切,内见低密度坏死区。考虑:子宫癌并周围侵润。
以下是引用dyqct在2007-4-30 15:38:00的发言:[br][quote]以下是引用卜一在2007-4-30 15:29:00的发言:[br]子宫明显增大,不规则,子宫壁不规则增厚,子宫腔明显缩小,子宫右侧软组织团块与子宫关系密切,内见低密度坏死区。考虑:子宫癌并周围侵润。
| 欢迎光临 医影在线 (http://bbs.radida.com/bbs/) | Powered by Discuz! X3.2 |