









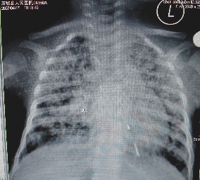
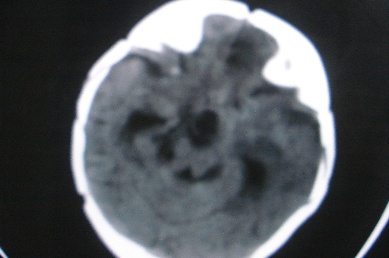
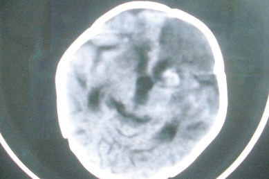
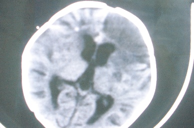
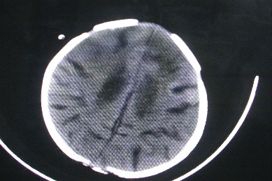
以下是引用余辉在2007-4-30 16:36:00的发言:[br]呵呵,图片不行啊,双肺弥漫斑片状影。右肺门增大,结构模糊。左侧脑室前部室管膜下可见团块状高密度影,周围有低密度环带,左额叶呈大片状低密度改变,略呈楔形,累及灰白质,局部脑沟裂消失,右额叶脑白质亦可见点状病灶(不知是伪影还是真病灶)脑室系统明显扩张,有全脑脑萎缩征象,不知其病史,暂考虑1双肺结核,左额叶结核性脑炎,(左侧脑室前部室管膜下肉芽?出血?)合并脑积水脑萎缩(左额叶低密度区不排除脑梗塞改变)2双肺非特异性炎症合并化脓性脑炎
以下是引用余辉在2007-4-30 16:36:00的发言:[br]呵呵,图片不行啊,双肺弥漫斑片状影。右肺门增大,结构模糊。左侧脑室前部室管膜下可见团块状高密度影,周围有低密度环带,左额叶呈大片状低密度改变,略呈楔形,累及灰白质,局部脑沟裂消失,右额叶脑白质亦可见点状病灶(不知是伪影还是真病灶)脑室系统明显扩张,有全脑脑萎缩征象,不知其病史,暂考虑1双肺结核,左额叶结核性脑炎,(左侧脑室前部室管膜下肉芽?出血?)合并脑积水脑萎缩(左额叶低密度区不排除脑梗塞改变)2双肺非特异性炎症合并化脓性脑炎
以下是引用余辉在2007-4-30 16:36:00的发言:[br]呵呵,图片不行啊,双肺弥漫斑片状影。右肺门增大,结构模糊。左侧脑室前部室管膜下可见团块状高密度影,周围有低密度环带,左额叶呈大片状低密度改变,略呈楔形,累及灰白质,局部脑沟裂消失,右额叶脑白质亦可见点状病灶(不知是伪影还是真病灶)脑室系统明显扩张,有全脑脑萎缩征象,不知其病史,暂考虑1双肺结核,左额叶结核性脑炎,(左侧脑室前部室管膜下肉芽?出血?)合并脑积水脑萎缩(左额叶低密度区不排除脑梗塞改变)2双肺非特异性炎症合并化脓性脑炎
以下是引用余辉在2007-4-30 16:36:00的发言:[br]呵呵,图片不行啊,双肺弥漫斑片状影。右肺门增大,结构模糊。左侧脑室前部室管膜下可见团块状高密度影,周围有低密度环带,左额叶呈大片状低密度改变,略呈楔形,累及灰白质,局部脑沟裂消失,右额叶脑白质亦可见点状病灶(不知是伪影还是真病灶)脑室系统明显扩张,有全脑脑萎缩征象,不知其病史,暂考虑1双肺结核,左额叶结核性脑炎,(左侧脑室前部室管膜下肉芽?出血?)合并脑积水脑萎缩(左额叶低密度区不排除脑梗塞改变)2双肺非特异性炎症合并化脓性脑炎
| 欢迎光临 医影在线 (http://bbs.radida.com/bbs/) | Powered by Discuz! X3.2 |