






















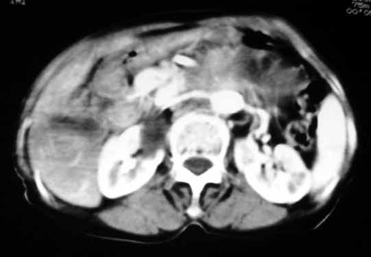
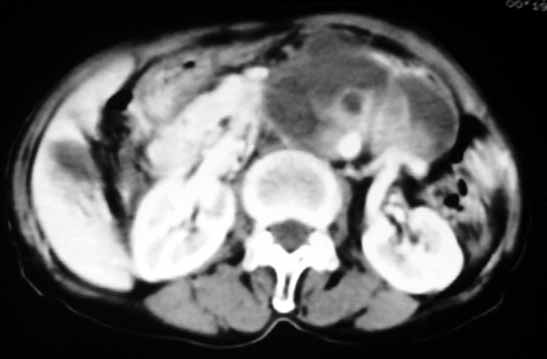
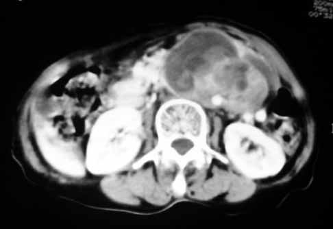
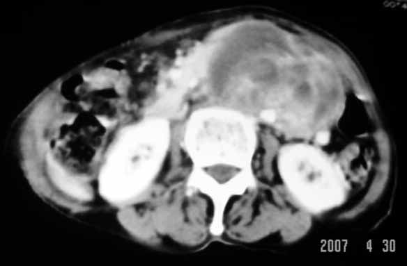
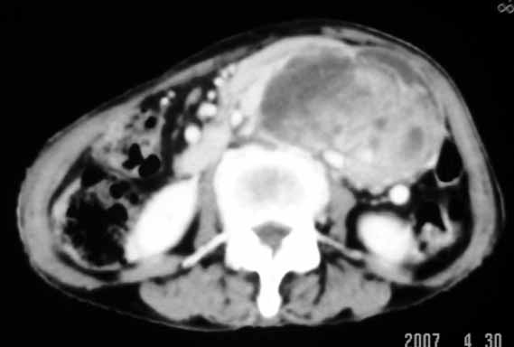
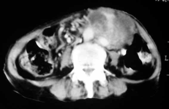
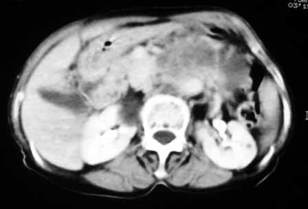
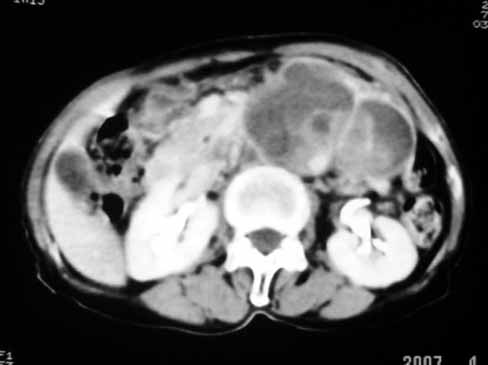
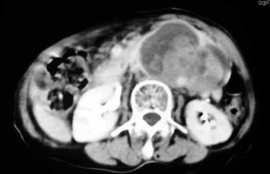
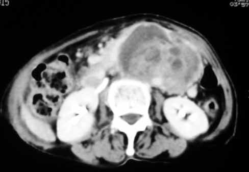
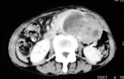
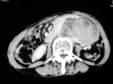
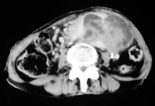
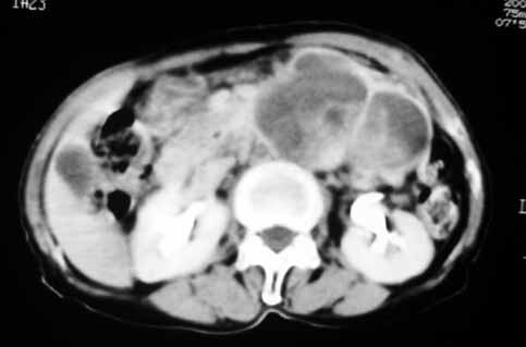
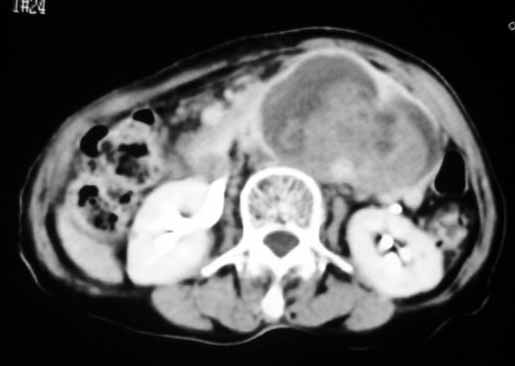
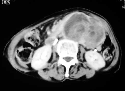
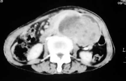
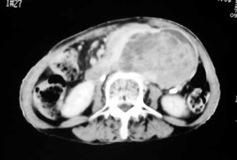
以下是引用天南地北在2007-4-30 17:42:00的发言:[br]增强扫描显示腹主动脉给包绕、推移。肿块不规则强化,[br]修正我在平扫的诊断[br]支持考虑:间叶源性肿瘤可能性大
以下是引用天南地北在2007-4-30 17:42:00的发言:[br]增强扫描显示腹主动脉给包绕、推移。肿块不规则强化,[br]修正我在平扫的诊断[br]支持考虑:间叶源性肿瘤可能性大

以下是引用余辉在2007-4-30 18:01:00的发言:[br]病灶前方的条状增强影是什么?若是胰腺,位置似乎有点低,若是十二指肠,似乎又不诫该是那样强化,姑且将其看作胰腺吧,那么考虑来源于胰腺粘液囊腺瘤可能性大,其次考虑来源于肠系膜或者后腹膜的肿瘤如平滑肌肉瘤,异位嗜铬细胞瘤及淋巴瘤等。
以下是引用zyx168在2007-4-30 23:24:00的发言:[br]考虑:间叶源性肿瘤可能性大
| 欢迎光临 医影在线 (http://bbs.radida.com/bbs/) | Powered by Discuz! X3.2 |