医影在线

标题: PED0109:女,12,后纵隔占位十余年 [打印本页]

作者: rf    时间: 2007-5-1 04:08
标题: PED0109:女,12,后纵隔占位十余年
(结果公布:http://www.radida.com/bbs/forum.php?mod=viewthread&tid=24512)
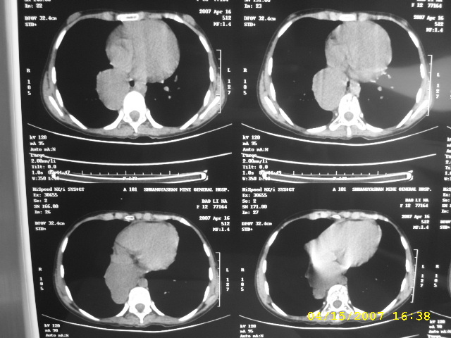
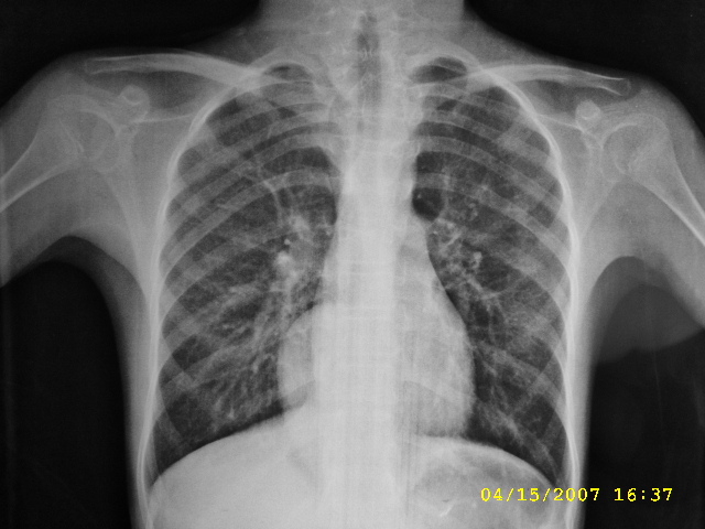
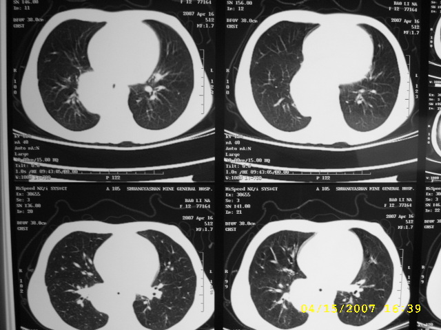
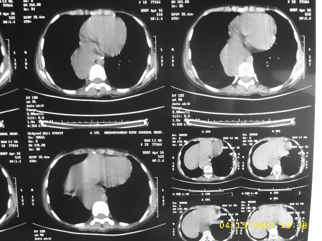
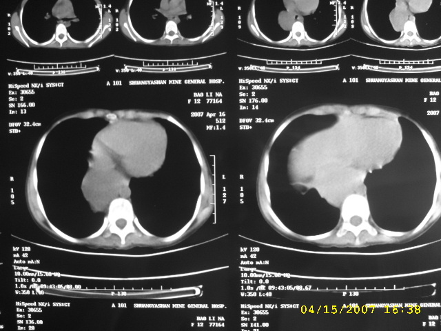
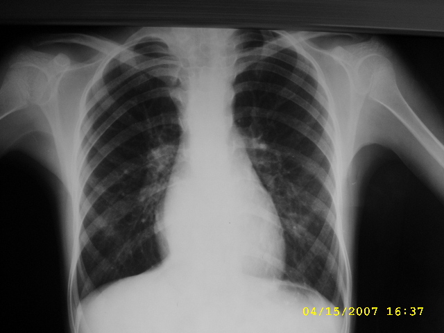
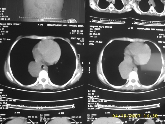
女,12,后纵隔占位十余年。











[本贴已被 jiajie 于 2007-5-12 7:00:52 修改过]

作者: 余辉    时间: 2007-5-1 04:20
女,12,后纵隔占位十余年,没什么特异性,考虑1纵隔囊肿2肺隔离症3神经源性肿瘤,建议增强
作者: xyqh2006    时间: 2007-5-1 04:20
支气管囊肿
作者: 小初学者    时间: 2007-5-1 04:49
标题: 回复:ped0109:后纵隔占位
以下是引用余辉在2007-4-30 20:20:00的发言:[br]女,12,后纵隔占位十余年,没什么特异性,考虑1纵隔囊肿2肺隔离症3神经源性肿瘤,建议增强

作者: 卜一    时间: 2007-5-1 04:51
女,12,后纵隔占位十余年,没什么特异性,考虑:1 纵隔囊肿. 2 肺隔离症. 3 神经源性肿瘤,建议增强
作者: jiangjing    时间: 2007-5-1 06:15
,12,后纵隔占位十余年,没什么特异性,考虑:1 纵隔囊肿[食管囊肿.  2神经源性肿瘤,3 肺隔离症.建议增强
作者: 天南地北    时间: 2007-5-1 06:26
考虑:1 支气管囊肿. 2 神经源性肿瘤;建议增强扫描。
作者: 龙在野    时间: 2007-5-1 14:24
神经源性肿瘤
作者: ZHANGZHONGSHOU    时间: 2007-5-1 14:53
支气管囊肿或食管囊肿可能性大,建议mri检查。
作者: zjzjr    时间: 2007-5-1 22:13
考虑后纵隔囊性畸胎瘤可能性大.
作者: chmb    时间: 2007-5-1 22:54
前肠囊肿可能性大
作者: jinning    时间: 2007-5-2 00:58
考虑:1 纵隔囊肿. 2 肺隔离症. 3 神经源性肿瘤,建议增强
作者: zhangxiangjun    时间: 2007-5-2 01:44
纵隔囊肿.
作者: 同    时间: 2007-5-2 04:21
考虑 1 支气管囊肿  2 神经源性肿瘤  2 肺隔离症
作者: dyqct    时间: 2007-5-2 20:06
标题: 回复:ped0109:后纵隔占位
以下是引用余辉在2007-4-30 20:20:00的发言:[br]女,12,后纵隔占位十余年,没什么特异性,考虑1纵隔囊肿2肺隔离症3神经源性肿瘤,建议增强

支持!!
作者: 姜晓辉    时间: 2007-5-2 21:02
前肠囊肿或支气管囊肿
作者: 宝天曼    时间: 2007-5-3 15:10
支气管囊肿或食管囊肿可能性大,建议mri检查
作者: 小晟晟    时间: 2007-5-4 05:00
考虑:1 支气管囊肿或 食管囊肿2 神经源性肿瘤;建议增强扫描。
作者: 医博云天    时间: 2007-5-4 05:21
1.肺隔离症。
2.食管囊肿。
作者: 天南地北    时间: 2007-5-5 19:33
结果已收到
学习可
作者: yz-6023    时间: 2007-5-6 06:45
将现有的检查做完,后纵隔占位病变太多,强化吧,朋友!
作者: gzhzh    时间: 2007-5-6 17:33
女12岁,发现占位十余年,首先考虑是先天性病变:
食管囊肿
神经源性肿瘤
作者: zhangkai    时间: 2007-5-6 22:33
食管囊肿可能.
作者: jinguoji    时间: 2008-4-11 21:09
考虑1纵隔囊肿2肺隔离症3神经源性肿瘤,.建议增强.
作者: ZHONGXINMR    时间: 2009-6-1 23:46
收到,谢谢




欢迎光临 医影在线 (http://bbs.radida.com/bbs/) Powered by Discuz! X3.2