医影在线

标题: MRI0968:女性,70岁,跟骨信号异常 [打印本页]

作者: wugang    时间: 2007-5-5 19:48
标题: MRI0968:女性,70岁,跟骨信号异常
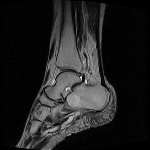
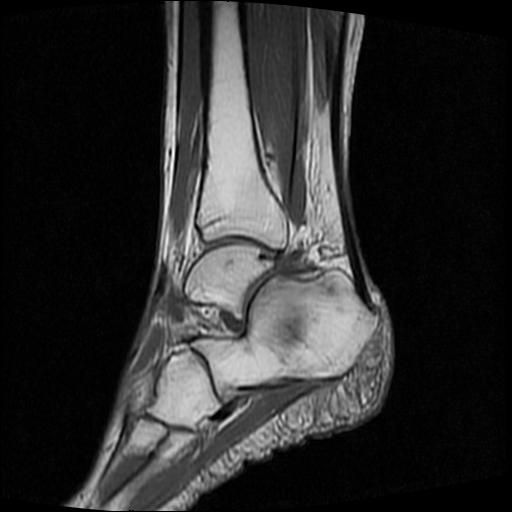
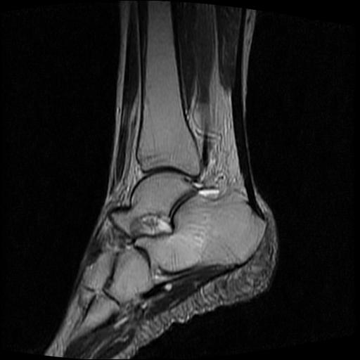
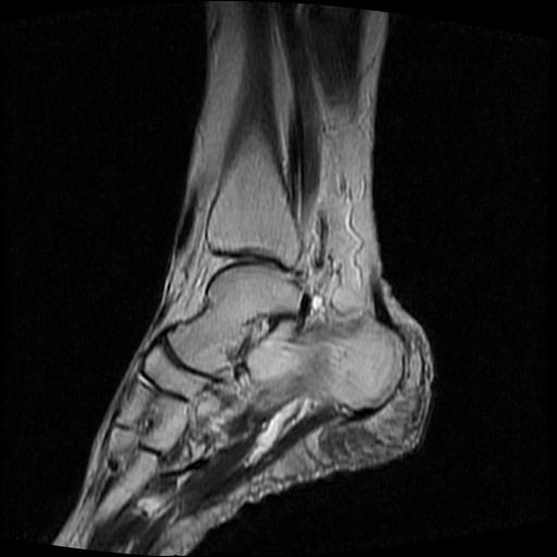
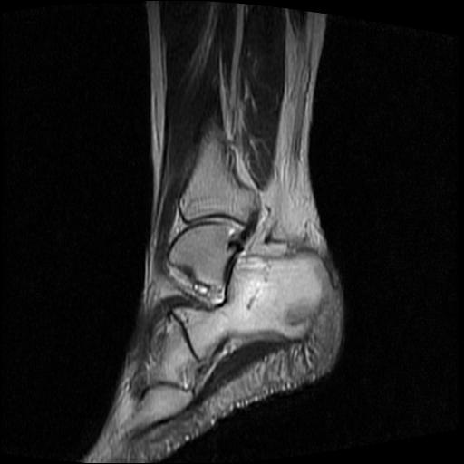
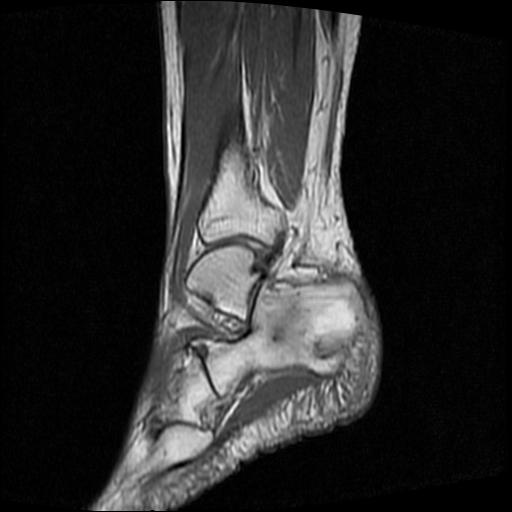
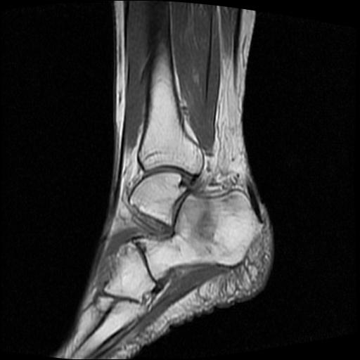
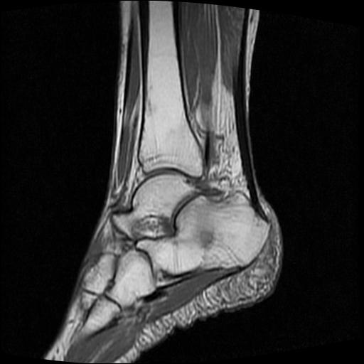
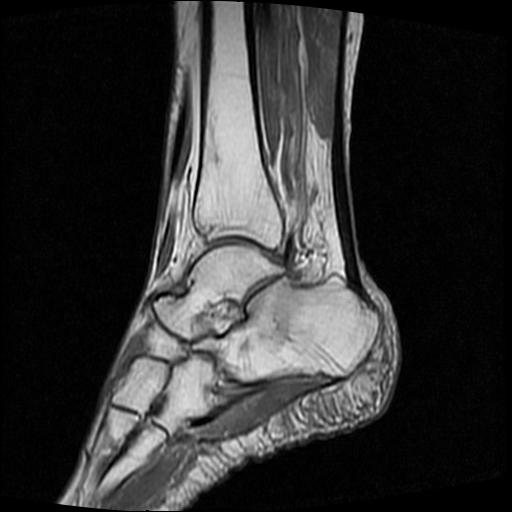
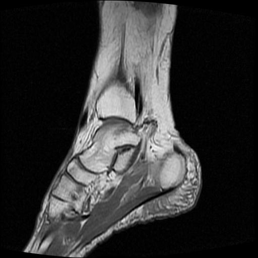
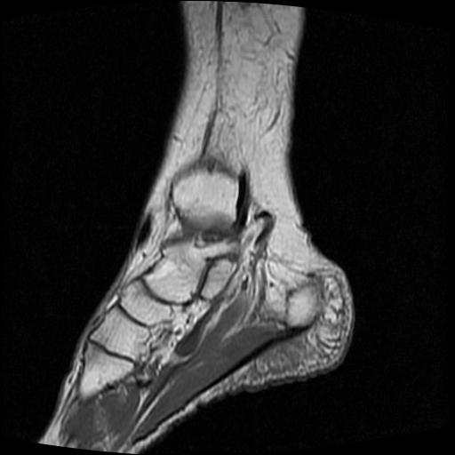
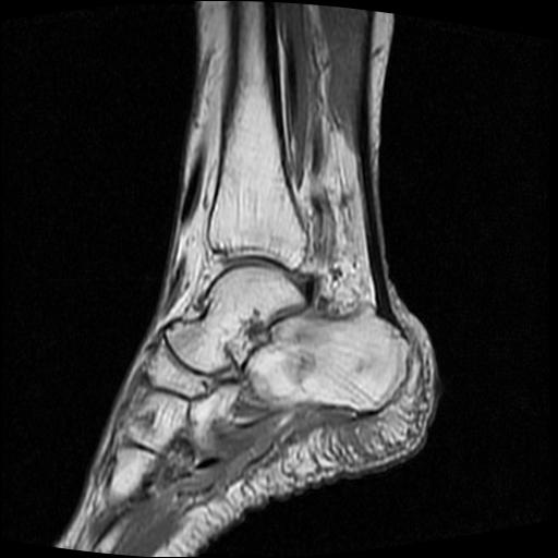
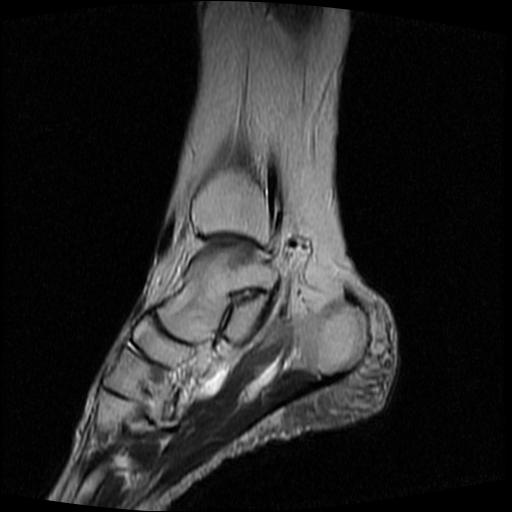
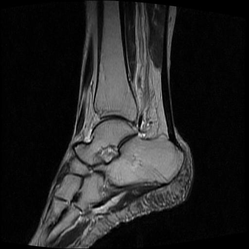
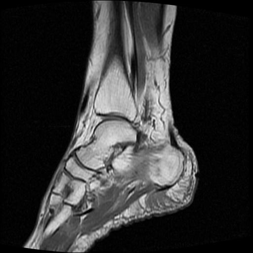
女性,70岁,右侧跟骨疼痛2个月,负重时加剧,不负重时不疼。





























[本贴已被 jiajie 于 2007-5-5 14:58:55 修改过]

作者: 晓杰    时间: 2007-5-6 00:55
胫骨下段,跟骨、距骨可见斑片状异常信号区;考虑:转移瘤
作者: zxczxc    时间: 2007-5-6 01:17
是否是静脉池等一些正常表现。
作者: 李晓阳    时间: 2007-5-6 01:27
梗塞可能性大
作者: 高仕福    时间: 2007-5-6 03:23
楼主老师:你好!能否提供x线平片或ct片?谢谢!
作者: qiuleiyu    时间: 2007-5-6 04:37
跟骨慢性炎症.伴脓肿形成.
作者: jinning    时间: 2007-5-6 05:06
跟骨慢性炎症.伴脓肿形成.
作者: jiangjing    时间: 2007-5-6 06:06
考虑  跟骨骨髓炎
作者: xulianj    时间: 2007-5-6 06:20
标题: 回复:mri0968:女性,70岁,跟骨信号异常
以下是引用jiangjing在2007-5-5 22:06:00的发言:[br]考虑  跟骨骨髓炎

作者: yxwsd    时间: 2007-5-6 06:45
考虑  跟骨骨髓炎
作者: zyx168    时间: 2007-5-6 07:54
考虑: 跟骨骨髓炎.
作者: wugang    时间: 2007-5-6 08:43
跟骨cr片正常。
作者: yjzll    时间: 2007-6-3 08:24
跟骨病灶呈片状,边界模糊,可否考虑隐匿性骨折呢?
作者: zxd95    时间: 2007-6-3 17:52
跟骨长t1长t2信号异常,边缘模糊(肿瘤一般边界清楚,故肿瘤不考虑),压脂像呈高信号--骨髓水肿(炎症?)。




欢迎光临 医影在线 (http://bbs.radida.com/bbs/) Powered by Discuz! X3.2