医影在线
标题: CT8107:女,60岁,头痛6~7天,右额颞叶占位,帮忙诊断 [打印本页]
作者: friedman 时间: 2007-5-8 01:17
标题: CT8107:女,60岁,头痛6~7天,右额颞叶占位,帮忙诊断
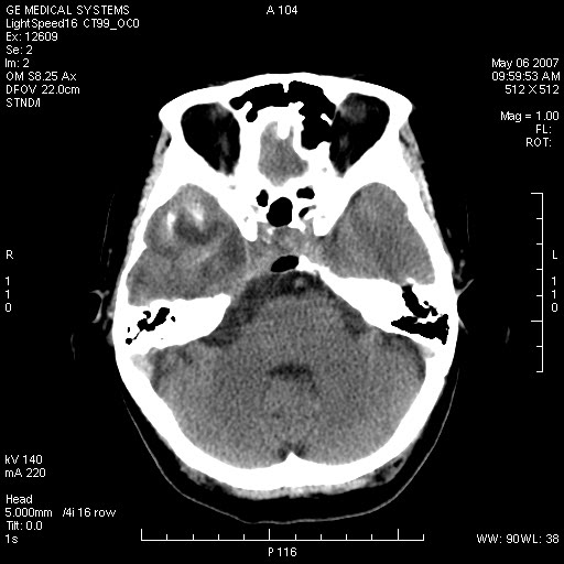
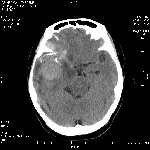
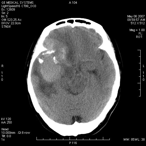
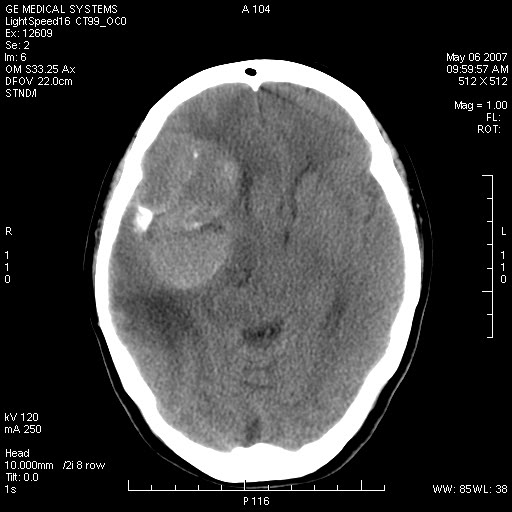
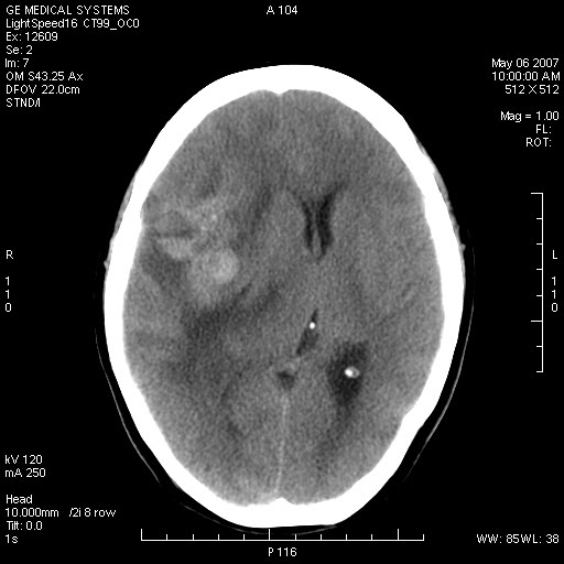
女,60岁,头痛6~7天。












[本贴已被 jiajie 于 2007-5-7 20:28:11 修改过]
作者: 余辉 时间: 2007-5-8 01:29
右颞叶巨大高低混杂密度肿块,病灶内可见多发条块状钙化影,占位效应明显,中线结构显著左偏,肿块周围水肿明显,临近颅骨吸收变薄,边缘光整,考虑1少枝胶质瘤2脑膜瘤3转移瘤4室管膜瘤5淋巴瘤6三叉神经瘤(多多益善)合并镰下疝
作者: 狙击手 时间: 2007-5-8 01:31
右颞叶分叶状稍高密度灶,占位效应明显,外周见水肿带,其内见点条样高密度钙化灶,临近颅骨变薄,考虑:脑膜瘤,少突胶质瘤。
作者: 天南地北 时间: 2007-5-8 01:50
支持:考虑:脑膜瘤,少突胶质瘤。建议增强扫描
作者: zjzjr 时间: 2007-5-8 01:54
考虑淋巴瘤或胶质瘤可能性大,建议增强扫描除外脑膜瘤恶变.
作者: ljx37 时间: 2007-5-8 02:27
右颞叶混杂密度,累及右额叶。其内可见条片状钙化及斑片状略高密度,周围少量水肿,右颞骨吸收变薄,中线结构左移。考虑1少突胶质瘤。2脑膜瘤。合并瘤卒中。建议增强扫描。
作者: dyqct 时间: 2007-5-8 03:04
右额、颞叶巨大高低混杂密度肿块,病灶内可见多发条块状钙化影,占位效应明显,中线结构显著左偏,肿块周围水肿明显,临近颅骨吸收变薄,边缘光整。
考虑:1、少枝胶质瘤;
2、脑膜瘤?
3、镰下疝;
4、建议增强扫描进一步检查。
作者: hotcat 时间: 2007-5-8 03:11
建议c+
作者: tianhep 时间: 2007-5-8 03:58
脑膜瘤可能性大,建议增强扫描
作者: jw-830 时间: 2007-5-8 04:07
考虑少突胶质瘤可能性大,建议增强扫描
作者: 红樱枪 时间: 2007-5-8 04:20
考虑少突胶质瘤或脑膜瘤,建议增强扫描
作者: shiqingfa 时间: 2007-5-8 04:30
考虑:1、少枝胶质瘤;
2、脑膜瘤?
3、镰下疝;
4、建议增强扫描进一步检查。
作者: 同 时间: 2007-5-8 04:43
标题: 回复:ct8107:女,60岁,头痛6~7天,右额颞叶占位,帮忙诊断
以下是引用dyqct在2007-5-7 19:04:00的发言:[br]右额、颞叶巨大高低混杂密度肿块,病灶内可见多发条块状钙化影,占位效应明显,中线结构显著左偏,肿块周围水肿明显,临近颅骨吸收变薄,边缘光整。[br]考虑:1、少枝胶质瘤;[br] 2、脑膜瘤?[br] 3、镰下疝;[br] 4、建议增强扫描进一步检查。
作者: 拾荒者 时间: 2007-5-8 04:59
以下是引用dyqct在2007-5-7 19:04:00的发言:
右额、颞叶巨大高低混杂密度肿块,病灶内可见多发条块状钙化影,占位效应明显,中线结构显著左偏,肿块周围水肿明显,临近颅骨吸收变薄,边缘光整。
考虑:1、少枝胶质瘤;
2、脑膜瘤?
3、镰下疝;
4、建议增强扫描进一步检查。
支持!
作者: xulianj 时间: 2007-5-8 05:05
脑膜瘤。增强吧!
作者: 卜一 时间: 2007-5-8 05:05
右颞叶混杂密度,累及右额叶。其内可见条片状钙化及斑片状略高密度,周围少量水肿,右颞骨吸收变薄,中线结构左移。考虑1少突胶质瘤。2脑膜瘤。合并瘤卒中。建议增强扫描。
支持!!!
作者: 念羊经 时间: 2007-5-8 05:28
考虑少突胶质瘤可能性大
作者: 如醉卧风 时间: 2007-5-8 05:43
标题: 回复:ct8107:女,60岁,头痛6~7天,右额颞叶占位,帮忙诊断
以下是引用ljx37在2007-5-7 18:27:00的发言:[br]右颞叶混杂密度,累及右额叶。其内可见条片状钙化及斑片状略高密度,周围少量水肿,右颞骨吸收变薄,中线结构左移。考虑1少突胶质瘤。2脑膜瘤。合并瘤卒中。建议增强扫描。
作者: jinning 时间: 2007-5-8 06:05
考虑:脑膜瘤
作者: yanliang 时间: 2007-5-8 06:06
1.少支胶质瘤
2.脑膜瘤?
作者: cjhct5516 时间: 2007-5-8 06:08
标题: 回复:ct8107:女,60岁,头痛6~7天,右额颞叶占位,帮忙诊断
以下是引用dyqct在2007-5-7 19:04:00的发言:[br]右额、颞叶巨大高低混杂密度肿块,病灶内可见多发条块状钙化影,占位效应明显,中线结构显著左偏,肿块周围水肿明显,临近颅骨吸收变薄,边缘光整。[br]考虑:1、少枝胶质瘤;[br] 2、脑膜瘤?[br] 3、镰下疝;[br] 4、建议增强扫描进一步检查。
作者: chmb 时间: 2007-5-8 06:29
右侧蝶棘脑膜瘤可能性大,不除外少枝胶质瘤。
作者: qc80012345 时间: 2007-5-8 06:34
考虑:脑膜瘤,少突胶质瘤。建议增强扫描
作者: shenhs 时间: 2007-5-8 08:01
考虑:脑膜瘤,少突胶质瘤。
作者: wyk504 时间: 2007-5-8 10:05
考虑少突胶质细胞瘤
作者: ZHANGZHONGSHOU 时间: 2007-5-8 16:11
标题: 回复:ct8107:女,60岁,头痛6~7天,右额颞叶占位,帮忙诊断
考虑少支胶质细胞瘤
作者: wj2039 时间: 2007-5-8 16:47
考虑少突胶质瘤或脑膜瘤,建议增强扫描
作者: wqs571018 时间: 2007-5-9 01:09
考虑:脑膜瘤,少突胶质瘤,合并脑疝。建议增强扫描。
作者: yangzongshan 时间: 2007-5-9 02:11
右额、颞叶巨大高低混杂密度肿块,病灶内可见多发条块状钙化影,占位效应明显,中线结构显著左偏,肿块周围水肿明显,临近颅骨吸收变薄,边缘光整考虑: 1、脑膜瘤;
2、胶母?
3、镰下疝;
4、建议增强扫描进一步检查
作者: jinguoji 时间: 2007-5-9 07:14
标题: ct8107:女,60岁,头痛6~7天,右额颞叶占位,帮忙诊断
考虑少突胶质瘤或脑膜瘤,建议增强扫描.
[本贴已被 jinguoji 于 2007-5-8 23:16:34 修改过]
作者: hcz 时间: 2007-5-9 21:39
右颞叶分叶状稍高密度灶,占位效应明显,外周见水肿带,其内见点条样高密度钙化灶,临近颅骨变薄,考虑:脑膜瘤,少突胶质瘤。
| 欢迎光临 医影在线 (http://bbs.radida.com/bbs/) |
Powered by Discuz! X3.2 |