医影在线

标题: CT8113:男,68岁,咳嗽、胸闷、发烧三天 [打印本页]

作者: wpf    时间: 2007-5-8 05:49
标题: CT8113:男,68岁,咳嗽、胸闷、发烧三天
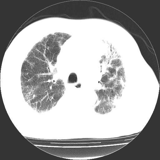
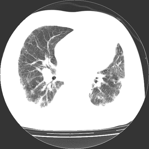
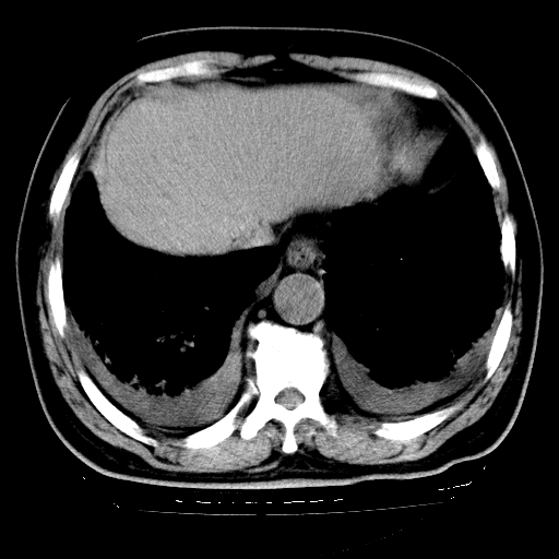
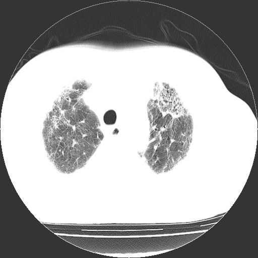
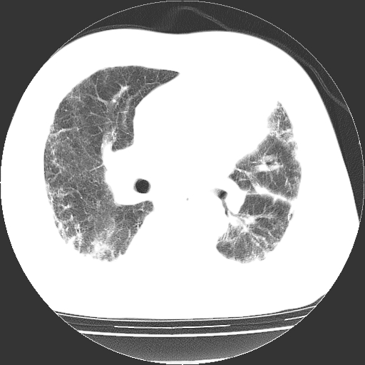
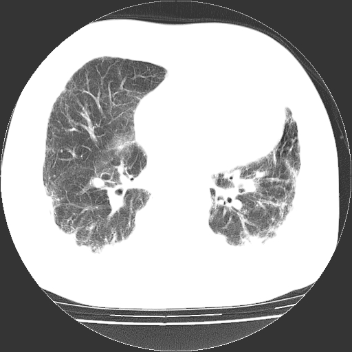
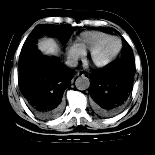
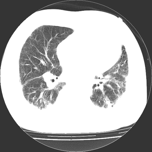
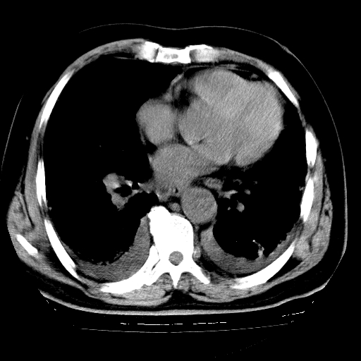
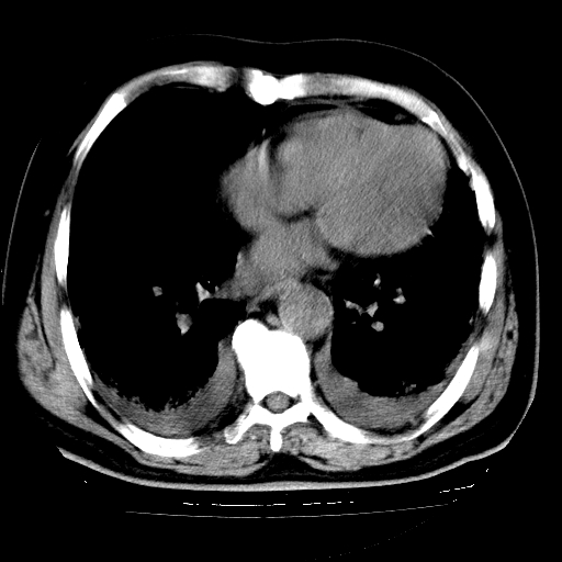
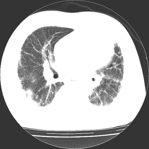
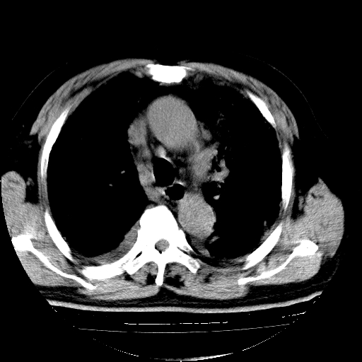
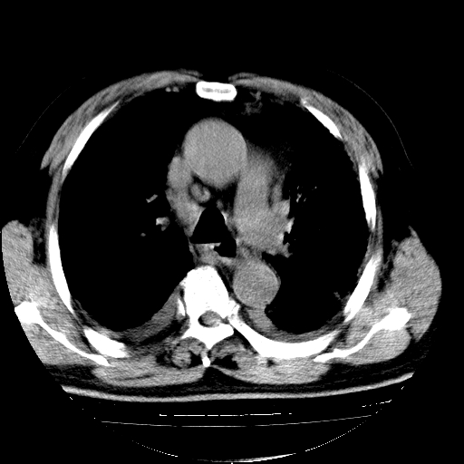
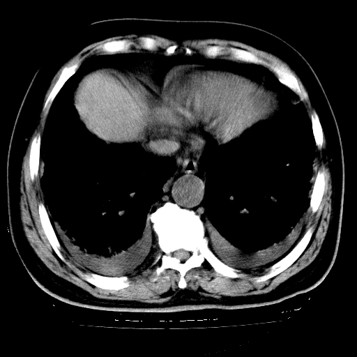
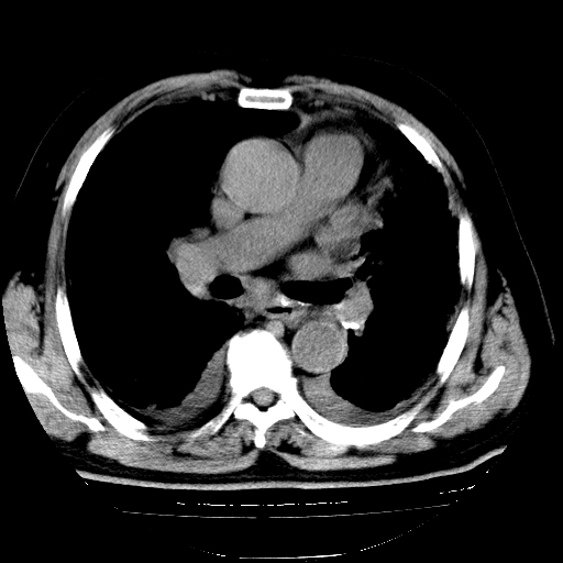
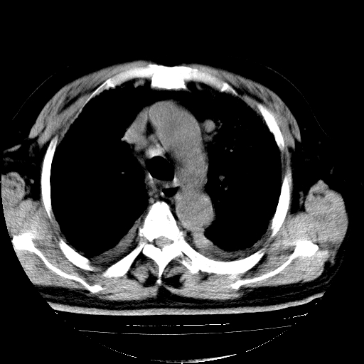
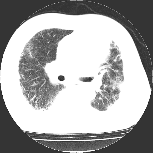
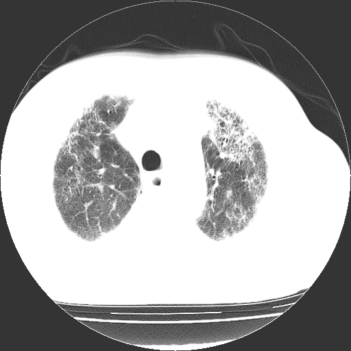
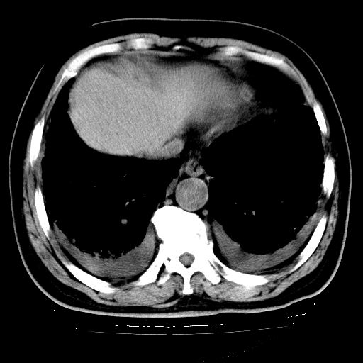
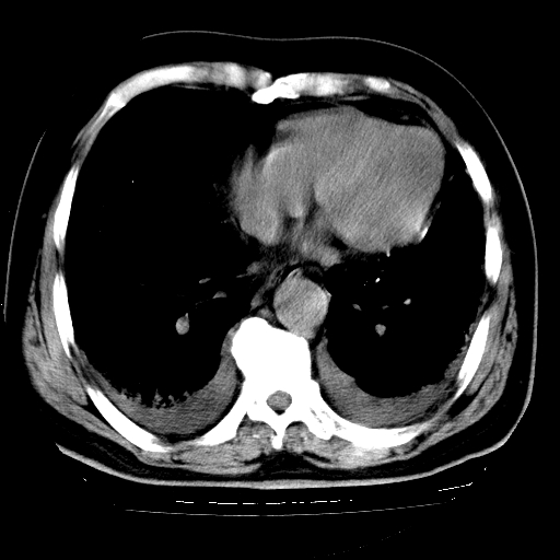
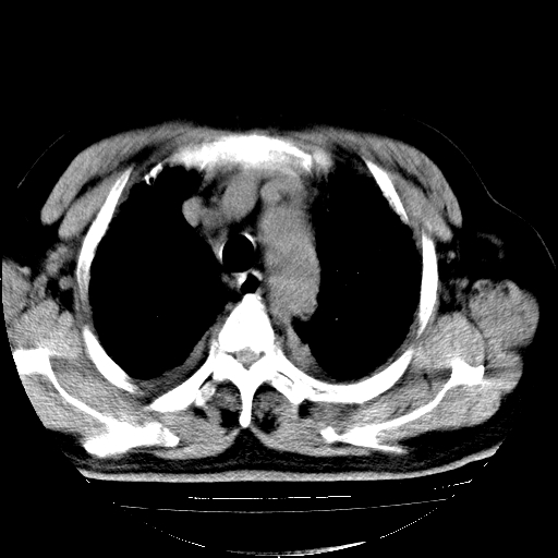
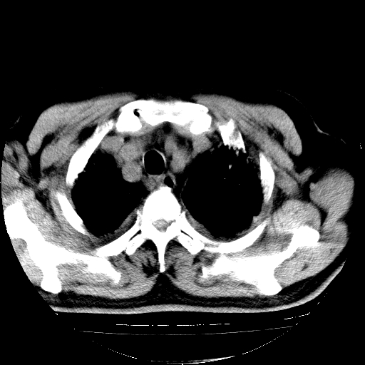
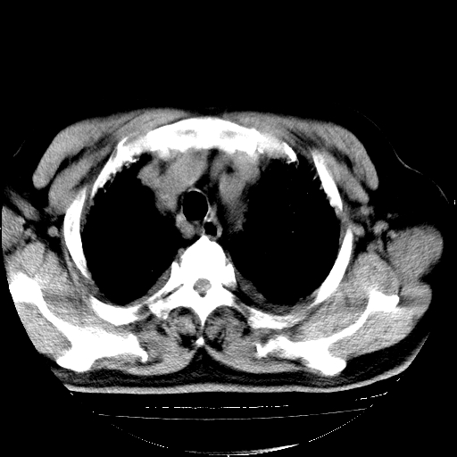
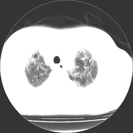
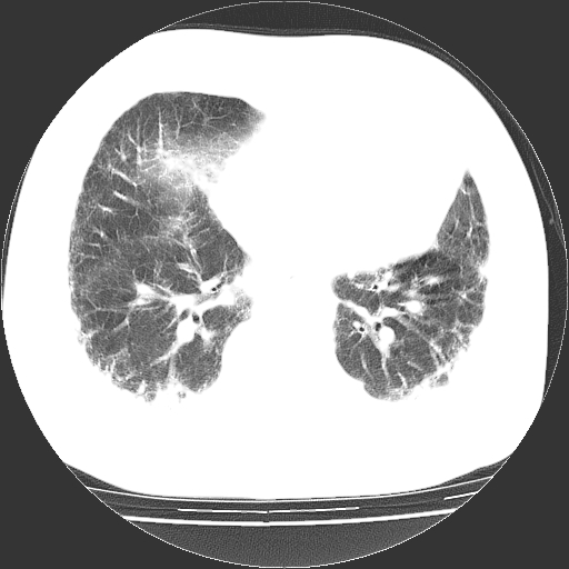
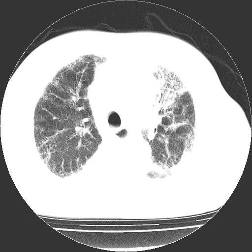
男,68岁,咳嗽、胸闷、发烧三天,查体:双肺散在湿罗音。









































[本贴已被 jiajie 于 2007-5-7 21:55:49 修改过]

作者: 张文馨    时间: 2007-5-8 06:22
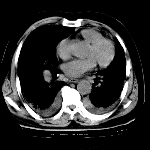
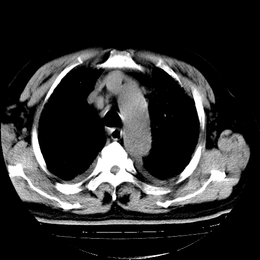
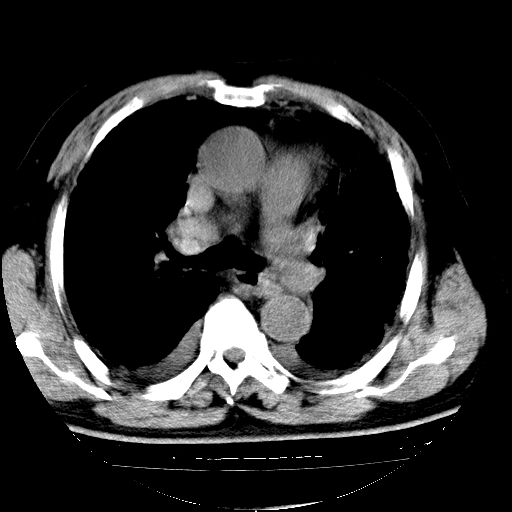
个人见解:1、间质性肺炎;2、双侧胸腔积液;3、建议治疗后复查
作者: qc80012345    时间: 2007-5-8 06:27
抗炎治疗后复查
作者: 阿宽    时间: 2007-5-8 06:28
首先考虑特发型肺间质纤维化;两侧少量胸腔积液。
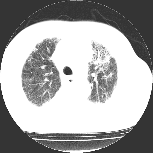
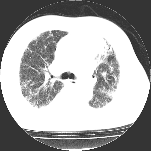
依据:1、两肺广泛条索状、网格状、蜂窝状改变。
鉴别诊断:肺结核:病灶呈多形性改变,往往纤维化较多的病例,经常会有空洞;本例不大符合。
慢性支气管炎伴感染:临床病史不大支持,而且往往肺气肿较明显,本例不大明显。
作者: zjzjr    时间: 2007-5-8 06:38
慢支合并感染.间质纤维化,双侧少量胸腔积液.
作者: 天南地北    时间: 2007-5-8 06:41
慢支合并感染.间质纤维化,双侧少量胸腔积液
支持
建议抗炎资料后复查。
作者: andymaomao    时间: 2007-5-8 06:46
1.双肺间质纤维化并感染;
2.双肺慢支炎肺气肿;
3.支扩并感染;
4.肺原性心脏病;
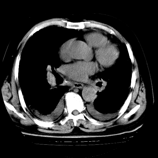
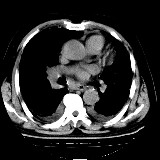
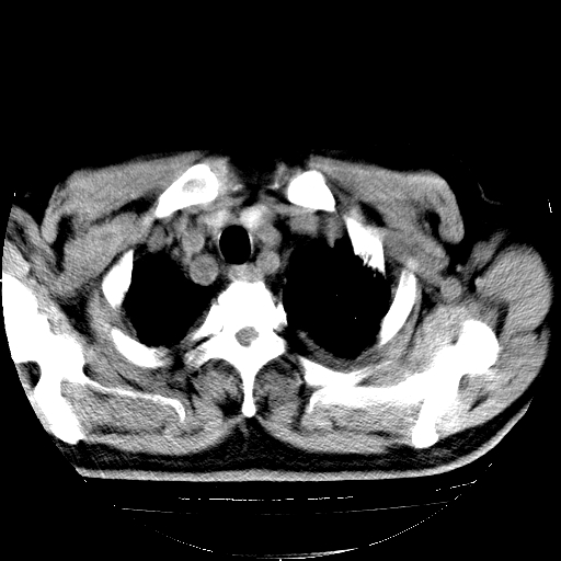
5.双侧胸腔少量积液;双侧胸膜增厚。
作者: 国窖1573    时间: 2007-5-8 07:30
支持2搂楼主
作者: shenhs    时间: 2007-5-8 07:38
慢支合并感染.间质纤维化,双侧少量胸腔积液
支持
作者: jiangjing    时间: 2007-5-8 07:42
根据3天的病史考虑 肺部感染,间质肺炎可能性大,网格及蜂窝影提示病灶时间较长结合肺纹混乱支持慢支炎,肺间质纤维化,肺心病,双侧胸腔积液。抗炎治疗复查
作者: zyx168    时间: 2007-5-8 07:53
慢支合并感染.间质纤维化,双侧少量胸腔积液.
作者: 卜一    时间: 2007-5-8 13:22
慢支合并感染.间质纤维化,双侧少量胸腔积液
支持!
建议抗炎资料后复查
作者: 还珠格格    时间: 2007-5-8 14:58
支持 间质性肺炎 双侧胸腔少量积液
作者: 宝天曼    时间: 2007-5-8 15:10
慢支合并感染.间质纤维化,心衰双侧少量胸腔积液
作者: ZHANGZHONGSHOU    时间: 2007-5-8 16:30
标题: 回复:ct8113:男,68岁,咳嗽、胸闷、发烧三天
以下是引用宝天曼在2007-5-8 7:10:00的发言:[br]慢支合并感染.间质纤维化,心衰双侧少量胸腔积液

支持
作者: wj2039    时间: 2007-5-8 16:44
慢支合并感染.间质纤维化,双侧少量胸腔积液
支持
建议抗炎后复查。
作者: 小初学者    时间: 2007-5-8 17:25
慢支合并感染.间质纤维化,心衰双侧少量胸腔积液
作者: 天涯&赤    时间: 2007-5-8 18:26
现在胸部出现了很多类似片子 首先侵犯肺间质 其次影响肺组织 肺组织成毛玻璃样 甚至实变但肺纹理在其中清晰可见 有的连点胸腔积液也没有 临床以发烧气喘胸闷为主 病人大都以呼吸衰竭走向马克思 临床治疗上也没什么好方法 ct诊断也感觉棘手 大都以间质肺炎结论 我感觉向这样的病人他死了可能最后也不知道怎么死的 只希望有条件的医院可以通过肺组织活检追查原因 从我看过的片子中有很多病人临床是免疫低下现象 有很多爱滋病患者最后的肺部表现出现类似图象 有机会我传上几张 大家共讨
作者: 吴文利    时间: 2007-5-8 19:41
慢支合并感染.间质纤维化,双侧少量胸腔积液
作者: Adams    时间: 2007-5-8 20:16
慢性支气管炎伴感染、肺气肿;间质性病变;双侧胸腔积液。
作者: 拾荒者    时间: 2007-5-8 20:57
标题: 回复:ct8113:男,68岁,咳嗽、胸闷、发烧三天
以下是引用jiangjing在2007-5-7 23:42:00的发言:[br]根据3天的病史考虑 肺部感染,间质肺炎可能性大,网格及蜂窝影提示病灶时间较长结合肺纹混乱支持慢支炎,肺间质纤维化,肺心病,双侧胸腔积液。抗炎治疗复查

作者: jinning    时间: 2007-5-8 22:22
支持7楼
作者: jinguoji    时间: 2007-5-9 07:04
支持 慢支合并感染.间质纤维化,心衰双侧少量胸腔积液.
   抗炎治疗后复查.
作者: hcz    时间: 2007-5-9 21:16
首先考虑特发型肺间质纤维化;两侧少量胸腔积液。
依据:1、两肺广泛条索状、网格状、蜂窝状改变。
鉴别诊断:肺结核:病灶呈多形性改变,往往纤维化较多的病例,经常会有空洞;本例不大符合。
慢性支气管炎伴感染:临床病史不大支持,而且往往肺气肿较明显,本例不大明显。
作者: yscao    时间: 2007-8-9 05:48
慢支很牵强,质性肺炎少有胸水.本病可二元论
作者: zyyzzy    时间: 2007-8-9 06:29
双肺多发条索状、网格状及小灶状密度增高影。考虑慢支合并感染.间质纤维化,双侧少量胸腔积液
作者: ydx_74    时间: 2007-8-25 00:41
慢支合并感染.间质纤维化,双侧少量胸腔积液
作者: 青莲居士    时间: 2007-8-25 03:59
两肺广泛条索状、网格状、蜂窝状改变。肺间质纤维化,肺心病,双侧胸腔积液
作者: sq7600    时间: 2007-8-25 04:04
支持 慢支合并感染.间质纤维化,心衰双侧少量胸腔积液.
   抗炎治疗后复查.




欢迎光临 医影在线 (http://bbs.radida.com/bbs/) Powered by Discuz! X3.2