医影在线

标题: CT8116:帮忙看这侧隐窝里是什么?男,75岁,腰周疼5-6年 [打印本页]

作者: hkszj    时间: 2007-5-8 07:18
标题: CT8116:帮忙看这侧隐窝里是什么?男,75岁,腰周疼5-6年
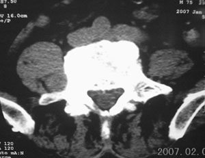
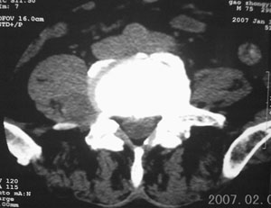
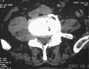
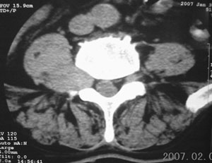
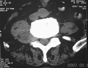
男,75岁,腰周疼5-6年。别无症状。










[本贴已被 jiajie 于 2007-5-8 5:54:42 修改过]

作者: andymaomao    时间: 2007-5-8 07:28
1.神经源性肿瘤(良性)可能性大;
2.其他来源?建议mri检查...
作者: shenhs    时间: 2007-5-8 07:31
神经纤维瘤可能性大
作者: zhangyun    时间: 2007-5-8 07:34
考虑神经源性肿瘤可能大。依据:右侧神经孔扩大,相应部椎体压迫吸收。建议增强扫描,或mri平扫+增强。t1呈低等信号,t2呈高信号。增强后病灶(+++)强化。病灶内常见坏死。
作者: 国窖1573    时间: 2007-5-8 07:35
考虑 神经源性肿瘤
作者: 天南地北    时间: 2007-5-8 07:40
考虑 神经源性肿瘤
作者: dbndp    时间: 2007-5-8 07:44
右侧椎旁、侧隐窝软组织肿块,呈不规则双极征改变,椎体后外缘骨质弧形压迹,椎间孔扩大;考虑神经源性肿瘤,神经鞘瘤可能性大,需与神经纤维瘤相鉴别。
作者: zqpct    时间: 2007-5-8 07:56
考虑神经鞘瘤可能性大
作者: zyx168    时间: 2007-5-8 08:04
考虑:神经源性肿瘤(神经鞘瘤?神经纤维瘤?)
作者: 卜一    时间: 2007-5-8 13:10
标题: 回复:帮忙看这侧隐窝里是什么?


作者: 还珠格格    时间: 2007-5-8 14:17
支持 神经源性肿瘤
作者: lushijun    时间: 2007-5-8 14:34
支持神经纤维瘤或鞘瘤
作者: fumaogui    时间: 2007-5-8 16:36
良性神经纤维瘤可能性大.
作者: zjzjr    时间: 2007-5-8 16:41
支持神经源性肿瘤,以神经鞘瘤可能性大.
作者: ZHANGZHONGSHOU    时间: 2007-5-8 16:46
标题: 回复:ct8116:帮忙看这侧隐窝里是什么?男,75岁,腰周疼5-
以下是引用还珠格格在2007-5-8 6:17:00的发言:[br]支持 神经源性肿瘤

支持
作者: wj2039    时间: 2007-5-8 16:49
标题: 回复:ct8116:帮忙看这侧隐窝里是什么?男,75岁,腰周疼5-
以下是引用卜一在2007-5-8 5:10:00的发言:[br][br][br]

作者: 小初学者    时间: 2007-5-8 16:52
神经源性肿瘤
作者: 天涯&赤    时间: 2007-5-8 17:11
估计具体哪种具体瘤子好象是影象的痛心之处 看手术病理把
作者: 姜晓辉    时间: 2007-5-8 19:13
起源于右侧神经根的神经鞘瘤。mr有用。
作者: 吴文利    时间: 2007-5-8 19:36
同意
作者: Adams    时间: 2007-5-8 19:43
支持   神经源性肿瘤
作者: ysxyy    时间: 2007-5-8 19:51
病变侧椎间孔扩大,椎体缘受压吸收;
考虑神经源性肿瘤,神经鞘瘤可能;
作者: liaizhi    时间: 2007-5-8 20:03
神经源性肿瘤可能性大,
作者: hcz    时间: 2007-5-8 20:25
右侧椎旁、侧隐窝软组织肿块,呈不规则双极征改变,椎体后外缘骨质弧形压迹,椎间孔扩大;考虑神经源性肿瘤,神经鞘瘤可能性大,需与神经纤维瘤相鉴别。
作者: shiqingfa    时间: 2007-5-8 21:20
神经纤维瘤可能性大
作者: 小晟晟    时间: 2007-5-8 21:25
考虑:神经源性肿瘤(神经鞘瘤?神经纤维瘤?)
作者: 朱亮    时间: 2007-5-8 21:30
神经原性肿瘤,神经纤维瘤可能性大
作者: wy232326    时间: 2007-5-8 22:01
mr
作者: 拾荒者    时间: 2007-5-8 22:05
病变侧椎间孔扩大,椎体缘受压吸收,考虑神经源性肿瘤(神经鞘瘤可能)。
作者: jinning    时间: 2007-5-8 22:16
神经纤维瘤
作者: 宝天曼    时间: 2007-5-9 04:49
考虑:神经源性肿瘤(神经鞘瘤?神经纤维瘤?
作者: 游侠    时间: 2007-5-9 05:26
考虑 神经源性肿瘤
作者: jinguoji    时间: 2007-5-9 06:26
考虑神经源性肿瘤.
作者: hkszj    时间: 2007-5-10 05:04
谢谢各位老师的分析,本人同意大家的看法。




欢迎光临 医影在线 (http://bbs.radida.com/bbs/) Powered by Discuz! X3.2