医影在线
标题: X2174:胸片 [打印本页]
作者: 岩光蛋 时间: 2007-5-8 18:22
标题: X2174:胸片
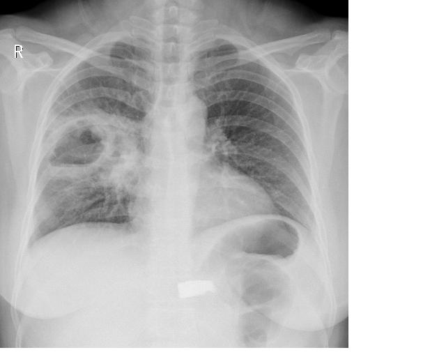
男,成人,因咳嗽、右胸痛拍片。

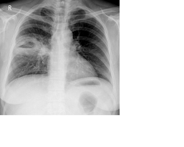
治疗12天后复查:

[本贴已被 翁志蓬 于 2007-5-8 23:22:26 修改过]
作者: 小初学者 时间: 2007-5-8 18:53
考虑结核性空洞
作者: ZHANGZHONGSHOU 时间: 2007-5-8 18:56
考虑右肺脓肿,患者有大量脓臭痰可确诊
作者: 吴文利 时间: 2007-5-8 19:04
考虑右肺脓肿
作者: 眼睛 时间: 2007-5-8 21:04
厚壁空洞+液平+周围感染 支持 右下肺脓肿
作者: 天南地北 时间: 2007-5-8 21:05
请问楼主你所指的治疗是抗炎治疗?
如果是抗炎治疗后查:病灶明显减小。支持肺脓疡。
作者: 眼睛 时间: 2007-5-8 21:05
标题: 哈
错了 是右侧肺脓肿 嘿嘿
[本贴已被 眼睛 于 2007-5-8 13:06:35 修改过]
作者: jinning 时间: 2007-5-8 22:38
考虑右肺脓肿
作者: hcz 时间: 2007-5-8 22:41
厚壁空洞+液平+周围感染 支持 右下肺脓肿
作者: zhangxiangjun 时间: 2007-5-9 08:32
厚壁空洞+液平+周围感染 支持 右肺肺脓肿.
作者: zhangkening 时间: 2007-5-9 19:11
右肺脓肿。
作者: yuebin 时间: 2007-5-9 23:05
支持 右肺肺脓肿
作者: adaxupu 时间: 2007-5-10 03:08
肺浓疡
作者: jinguoji 时间: 2007-5-10 05:23
支持右肺脓肿。
作者: dyqct 时间: 2007-5-10 05:42
支持右肺脓肿。
作者: 流星1234 时间: 2007-5-10 06:31
右肺脓肿
作者: wy232326 时间: 2007-5-20 01:27
支持右肺脓肿
作者: 寿光人 时间: 2007-5-27 03:26
考虑结核性空洞,右肺肺脓肿!!!!建议做进一步检查!
作者: 450344989 时间: 2007-5-27 04:13
右肺脓肿
作者: 大洋 时间: 2007-5-27 05:25
第一印象右肺脓肿。希望楼住能提供下病史
作者: 青莲居士 时间: 2007-5-27 07:59
厚壁空洞+液平+周围感染 支持 右下肺脓肿
作者: hjg1980 时间: 2007-5-28 05:35
支持肺脓肿
作者: jsmctmri 时间: 2007-5-28 22:42
病史简单,怎麽治疗?短期治疗有效,支持肺脓肿。
作者: dr.yang 时间: 2008-8-12 06:23
厚壁空洞+液平+周围感染 支持 右肺肺脓肿.
如果临床给出更多临床资料更好了
作者: yuhongjun 时间: 2008-8-12 14:00
考虑右肺脓肿
作者: shibing 时间: 2014-3-13 08:42
ct
| 欢迎光临 医影在线 (http://bbs.radida.com/bbs/) |
Powered by Discuz! X3.2 |