医影在线

标题: CT8123:女46岁,左下腹胀痛不适1月,以前曾有月经过多史,现已 [打印本页]

作者: zjzjr    时间: 2007-5-8 21:59
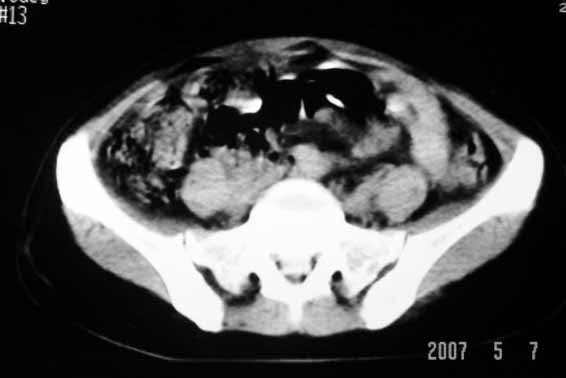
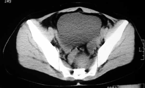
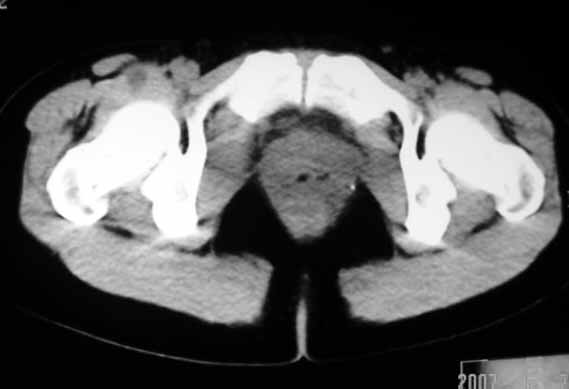
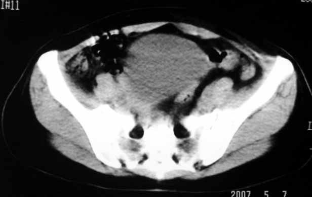
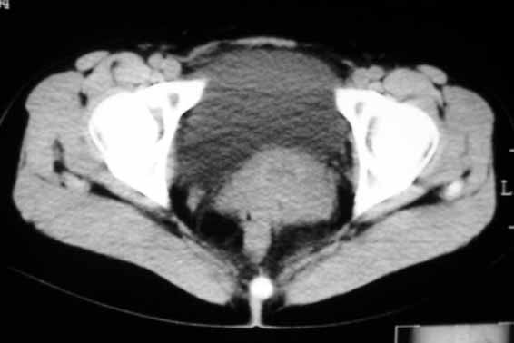
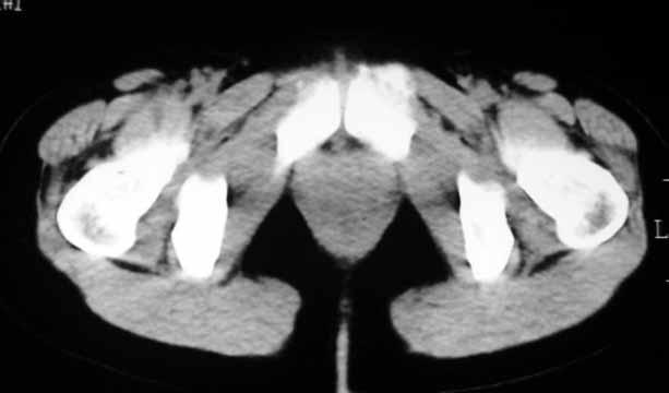
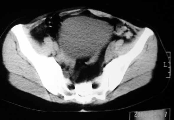
标题: CT8123:女46岁,左下腹胀痛不适1月,以前曾有月经过多史,现已















[本贴已被 翁志蓬 于 2007-5-8 19:53:17 修改过]

作者: 朱亮    时间: 2007-5-8 22:02
子宫肌瘤,不强化不好说
作者: jinning    时间: 2007-5-8 22:04
考虑子宫们内膜癌并右侧腹股沟淋巴结转移
作者: 天南地北    时间: 2007-5-8 22:25
标题: 回复:女46岁,左下腹胀痛不适1月,以前曾有月经过多史,现已
以下是引用朱亮在2007-5-8 14:02:00的发言:[br]子宫肌瘤,不强化不好说

不增强建议病人有能力做mr
作者: 红樱枪    时间: 2007-5-8 22:44
子宫增大密度较均匀,考虑子宫肌瘤,不强化不好说
作者: Adams    时间: 2007-5-8 22:52
考虑子宫肌瘤(变性)或子宫腺肌病,不排除内膜ca可能,不增强建议结合mri或b超检查。
作者: 石建奎1    时间: 2007-5-8 23:53
子宫肌瘤
作者: 狙击手    时间: 2007-5-9 01:06
子宫肌可能性大
作者: yangzongshan    时间: 2007-5-9 01:45
子宫们内膜癌或子宫颈癌体部浸润并右侧腹股沟淋巴结转移
作者: zhanghua2086    时间: 2007-5-9 03:56
考虑子宫肌瘤 建议增强
作者: ZHANGZHONGSHOU    时间: 2007-5-9 04:14
子宫肌瘤可能,建议超声检查。
作者: 余辉    时间: 2007-5-9 04:23
标题: 回复:ct8123:女46岁,左下腹胀痛不适1月,以前曾有月经过多

作者: 宝天曼    时间: 2007-5-9 04:37
子宫增大密度较均匀,考虑子宫肌瘤可能性大,
建议结合b超
作者: 拾荒者    时间: 2007-5-9 06:37
标题: 回复:ct8123:女46岁,左下腹胀痛不适1月,以前曾有月经过多
以下是引用adams在2007-5-8 14:52:00的发言:[br]考虑子宫肌瘤(变性)或子宫腺肌病,不排除内膜ca可能,不增强建议结合mri或b超检查。

作者: jinguoji    时间: 2007-5-9 07:27
考虑子宫肌瘤,不排除子宫内膜ca可能,不增强建议结合b超检查。
作者: hcz    时间: 2007-5-9 21:20
子宫肌可能性大




欢迎光临 医影在线 (http://bbs.radida.com/bbs/) Powered by Discuz! X3.2