医影在线
标题: CT8132:转贴:男,38岁,腹部压伤后腹痛、休克入院检查。 [打印本页]
作者: wanbo2004 时间: 2007-5-9 04:34
标题: CT8132:转贴:男,38岁,腹部压伤后腹痛、休克入院检查。
(结果公布:http://www.radida.com/bbs/forum.php?mod=viewthread&tid=24860)





[本贴已被 jiajie 于 2007-5-11 22:14:55 修改过]
作者: wanbo2004 时间: 2007-5-9 04:36
三天后公布结果
作者: 宝天曼 时间: 2007-5-9 05:02
盆腔血肿可能性大
作者: xulianj 时间: 2007-5-9 05:04
盆腔内巨大血肿
作者: 朱亮 时间: 2007-5-9 05:08
考虑盆腔内血肿
作者: 同 时间: 2007-5-9 05:13
考虑盆腔内血肿
作者: 朱亮 时间: 2007-5-9 05:31
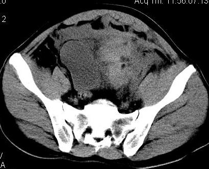
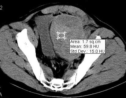
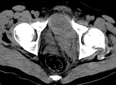
各位战友,今天遇到一件不痛快的事。昨晚夜班,遇到一个腹部外伤的病人,血压90/130 ,脾脏大小形态正常,密度可,脾周围未见积液征象。2小时候后,患者血压下降,急诊彩超示,腹腔大量积血,脾破裂,随后紧急手术。为什莫ct扫描未发现阳性征象。这使我干ct的非常的没面子,谁能解释一下,当时为什莫ct表现不明显呢?
作者: jinning 时间: 2007-5-9 05:43
考虑盆腔内血肿
作者: 狙击手 时间: 2007-5-9 05:57
标题: 回复:转贴:男,38岁,腹部压伤后腹痛、休克入院检查。
以下是引用朱亮在2007-5-8 21:31:00的发言:[br]各位战友,今天遇到一件不痛快的事。昨晚夜班,遇到一个腹部外伤的病人,血压90/130 ,脾脏大小形态正常,密度可,脾周围未见积液征象。2小时候后,患者血压下降,急诊彩超示,腹腔大量积血,脾破裂,随后紧急手术。为什莫ct扫描未发现阳性征象。这使我干ct的非常的没面子,谁能解释一下,当时为什莫ct表现不明显呢?
其实我觉得很正常,有时脾脏损伤短时间里确实在ct平扫下看不见异常,ct平扫对脾实质裂口的形态、大小及范围较难显示,不能就说我们的诊断水平不行,没看到就是没看到,彩超看见只是时间到了,不信此时再复查ct一定有异常,都指望我们,要他们临床医生干什么?如果只能依赖ct诊断,那么要是患者情况许可,最好增强了,这是减少漏诊,误诊的有效首段。
本帖考虑;肠系膜损伤,盆腔血肿形成可能性大。
作者: 求知若渴 时间: 2007-5-9 06:00
标题: 回复:转贴:男,38岁,腹部压伤后腹痛、休克入院检查。

作者: 念羊经 时间: 2007-5-9 06:08
各位战友,今天遇到一件不痛快的事。昨晚夜班,遇到一个腹部外伤的病人,血压90/130 ,脾脏大小形态正常,密度可,脾周围未见积液征象。2小时候后,患者血压下降,急诊彩超示,腹腔大量积血,脾破裂,随后紧急手术。为什莫ct扫描未发现阳性征象。这使我干ct的非常的没面子,谁能解释一下,当时为什莫ct表现不明显呢?
假如先彩超应该也看不出什么,血压下降时可能是脾开始大面级裂伤,那时是最佳检查时间,扫描也可以了,扫描对出血是很敏感的,
作者: jinguoji 时间: 2007-5-9 06:13
考虑盆腔内血肿
作者: G76786 时间: 2007-5-9 06:21
血肿没问题,主要考虑来源哪里,图像不太全阿,有“天地”就好了
作者: 天南地北 时间: 2007-5-9 06:38
标题: 回复:转贴:男,38岁,腹部压伤后腹痛、休克入院检查。
以下是引用朱亮在2007-5-8 21:31:00的发言:[br]各位战友,今天遇到一件不痛快的事。昨晚夜班,遇到一个腹部外伤的病人,血压90/130 ,脾脏大小形态正常,密度可,脾周围未见积液征象。2小时候后,患者血压下降,急诊彩超示,腹腔大量积血,脾破裂,随后紧急手术。为什莫ct扫描未发现阳性征象。这使我干ct的非常的没面子,谁能解释一下,当时为什莫ct表现不明显呢?
正常
应该是迟发性脾破裂。
我更不解昨天有个病人头颅扫描右侧乳突部骨折,今天来复查ct,同样的扫描方法和部位居然找不到骨折了。
离题了
本例支持盆腔左侧巨大血肿。
[本贴已被 天南地北 于 2007-5-8 22:39:39 修改过]
作者: wanbo2004 时间: 2007-5-9 06:40
各位战友:这个片子我给大家的关键提醒是在定位上面--血肿主要是来源于哪里?因为定位的重要性就在于治疗的问题.
请注意观察!!!!!!
作者: jiangjing 时间: 2007-5-9 07:19
支持 盆腔血肿,警惕肠道损伤。影像有量和度的限制,早期少量出血没有增强ct就是发现不了,只是在报告时一定要写:请结合临床及相关检查[如超声],密切观察随访!
作者: liuyue 时间: 2007-5-9 15:28
以下是引用朱亮在2007-5-8 21:31:00的发言:
各位战友,今天遇到一件不痛快的事。昨晚夜班,遇到一个腹部外伤的病人,血压90/130 ,脾脏大小形态正常,密度可,脾周围未见积液征象。2小时候后,患者血压下降,急诊彩超示,腹腔大量积血,脾破裂,随后紧急手术。为什莫ct扫描未发现阳性征象。这使我干ct的非常的没面子,谁能解释一下,当时为什莫ct表现不明显呢?
其实我觉得很正常,有时脾脏损伤短时间里确实在ct平扫下看不见异常,ct平扫对脾实质裂口的形态、大小及范围较难显示,不能就说我们的诊断水平不行,没看到就是没看到,彩超看见只是时间到了,不信此时再复查ct一定有异常,都指望我们,要他们临床医生干什么?如果只能依赖ct诊断,那么要是患者情况许可,最好增强了,这是减少漏诊,误诊的有效手段。
不要自责,不要气馁,勤总结、勤学习,不断完善自己,会一步一步走向成熟、成功!
本帖考虑;肠系膜损伤,盆腔血肿形成可能性大。
作者: jw-830 时间: 2007-5-9 19:40
考虑盆腔内血肿
作者: hcz 时间: 2007-5-9 19:46
盆腔内巨大血肿
作者: hcz 时间: 2007-5-9 20:05
考虑盆腔内血肿
作者: 拾荒者 时间: 2007-5-9 21:33
盆腔左侧不均匀高密度影,周围锐利,与膀胱分界清晰,考虑肠系膜损伤盆腔内血肿形成。期待结果。
楼上有战友提到的脾破裂漏诊问题,大可不必自责,因为很多东西是受时间限制的,相信b超看到时,ct也会看到,但下诊断时还是要注意:一是要注明检查时间(如伤后半小时...),二是要建议随访复查。免得引起纠纷。
作者: 柯长存 时间: 2007-5-9 21:37
盆腔内巨大血肿,患者是否有骨盆骨折?
作者: zjzjr 时间: 2007-5-9 22:25
标题: 回复:ct8132:转贴:男,38岁,腹部压伤后腹痛、休克入院
以下是引用狙击手在2007-5-8 21:57:00的发言:[br][quote]以下是引用朱亮在2007-5-8 21:31:00的发言:[br]各位战友,今天遇到一件不痛快的事。昨晚夜班,遇到一个腹部外伤的病人,血压90/130 ,脾脏大小形态正常,密度可,脾周围未见积液征象。2小时候后,患者血压下降,急诊彩超示,腹腔大量积血,脾破裂,随后紧急手术。为什莫ct扫描未发现阳性征象。这使我干ct的非常的没面子,谁能解释一下,当时为什莫ct表现不明显呢?
[br] 其实我觉得很正常,有时脾脏损伤短时间里确实在ct平扫下看不见异常,ct平扫对脾实质裂口的形态、大小及范围较难显示,不能就说我们的诊断水平不行,没看到就是没看到,彩超看见只是时间到了,不信此时再复查ct一定有异常,都指望我们,要他们临床医生干什么?如果只能依赖ct诊断,那么要是患者情况许可,最好增强了,这是减少漏诊,误诊的有效首段。[br] 本帖考虑;肠系膜损伤,盆腔血肿形成可能性大。[br][/quote]
支持狙击手.
作者: wanbo2004 时间: 2007-5-10 23:54
结果公布:腹膜外血肿和腹腔内出血,虽然都是出血,但诊断和治疗却截然不同。如果腹腔内出血,那么在输血抗休克同时还要急诊手术止血。而腹膜外血肿不同,因为腹膜外出血往往都是小静脉丛破裂出血,手术往往找不到出血部位,找到了也很难缝合止血,造成难以控制的大出血,危机病人生命。还有腹膜对出血有个束缚作用,相当于压迫止血,利于出血自止。所以对腹膜外出血往往采取保守治疗。当然,如果腹膜外出血止不住破入腹腔,那么病人往往预后极差,恐怕连“九死一生”都谈不上。
ct上鉴别两者:腹腔内出血没有固定形态,分散在腹腔内,肠间隙等部位,破裂出血处会有较多血液聚集有血块;由于膀胱直肠陷凹是腹腔的最低处,出血和积液会积聚在此处,液体较多时膀胱会呈向前受压改变。该片血肿可见包膜(其实是腹膜)膀胱向右侧受压移位,而膀胱是腹膜间位器官。所以诊断是腹膜外血肿。
作者: hcz 时间: 2007-5-11 01:09
考虑盆腔内血肿
作者: 李晓阳 时间: 2007-5-11 03:41
左侧髂血管破裂、盆腔内血肿
作者: jinguoji 时间: 2007-5-12 07:14
ct8132:结果腹膜外血肿 学习了
作者: 五阿哥 时间: 2007-5-12 17:35
腹膜外血肿
作者: 拾荒者 时间: 2007-5-12 21:04
谢谢楼主关于腹膜内外血肿的鉴别!
作者: dr.yang 时间: 2011-10-16 18:23
还有腹膜对“出血”?(请问这里是指腹膜外出血吗??)有个束缚作用,相当于压迫止血,利于出血自止。所以对腹膜外出血往往采取保守治疗???
| 欢迎光临 医影在线 (http://bbs.radida.com/bbs/) |
Powered by Discuz! X3.2 |