




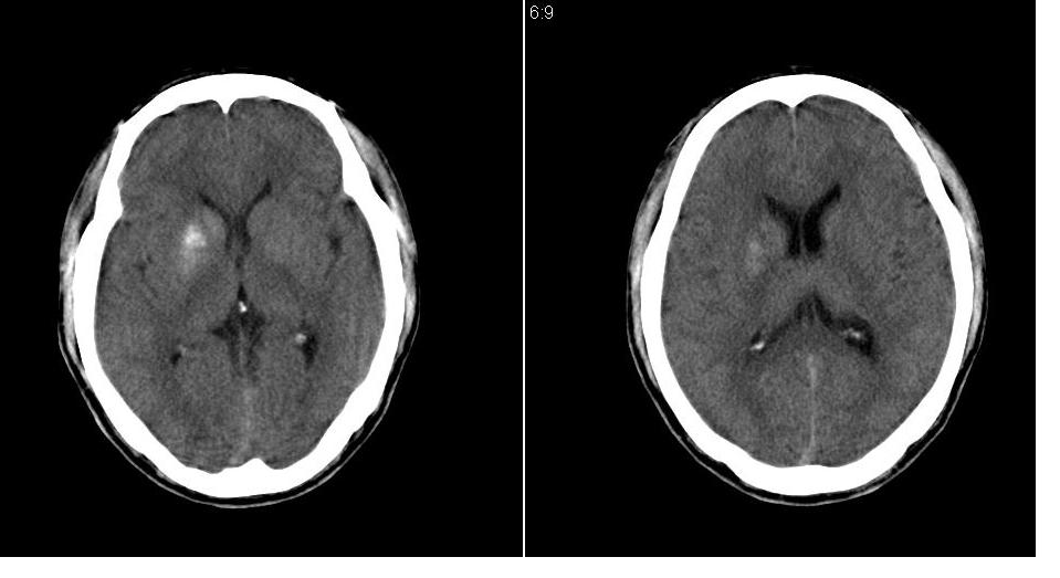
以下是引用tianhep在2007-5-9 19:53:00的发言:[br]这个部位多为苍白球钙化,苍白球钙化往往双侧对称。有外伤史而无症状。首先考虑为苍白球钙化。短期内复查一次就可。
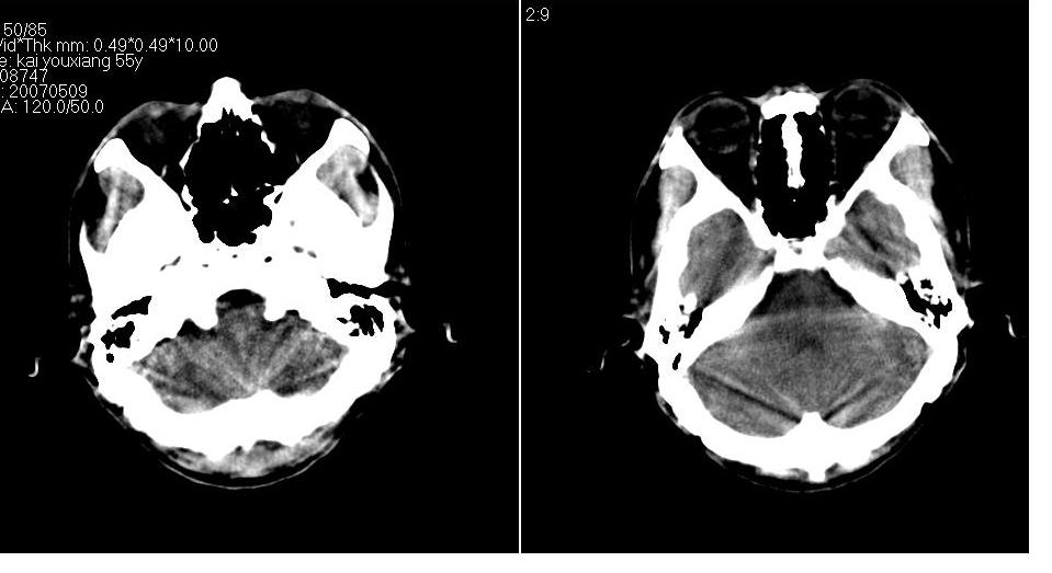
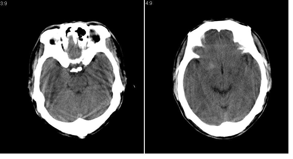
以下是引用狙击手在2007-5-9 19:52:00的发言:[br]病灶边界模糊,外周无水肿带,无占位效应,无任何不适,考虑钙化。
以下是引用gyh6308在2007-5-9 21:10:00的发言:[br]这种病例我见过,是脑血管畸形所致的钙化,做cta可观察
以下是引用gyh6308在2007-5-9 21:10:00的发言:[br]这种病例我见过,是脑血管畸形所致的钙化,做cta可观察
| 欢迎光临 医影在线 (http://bbs.radida.com/bbs/) | Powered by Discuz! X3.2 |