医影在线
标题: X2201:胸片 [打印本页]
作者: 眼睛 时间: 2007-5-11 02:41
标题: X2201:胸片
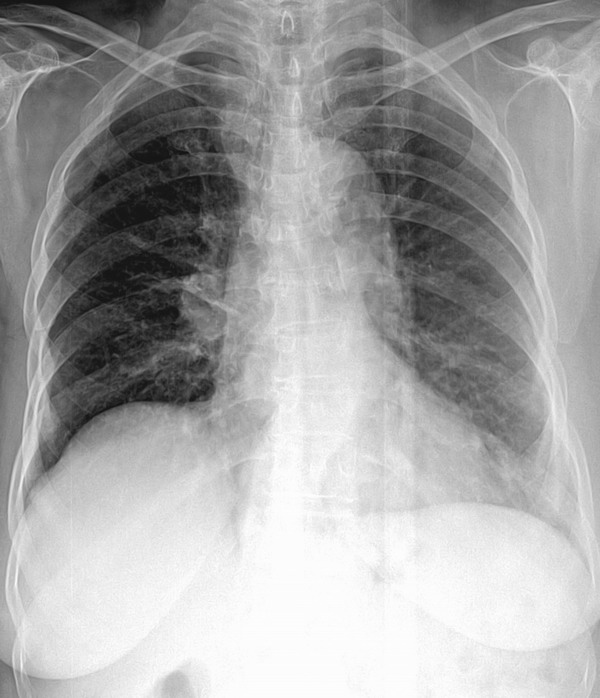
m 77y 喘 气短6个月

[本贴已被 cefcmj 于 2007-5-10 19:06:38 修改过]
以下是引用avril在2007-5-12 0:26:00的发言:[br]右肺门区见一团块状略高密度影,边缘尚清,右中下野内带区见略高密度影,质尚均,余所见右肺野密度普遍减低,肋间隙增宽;右膈局限性隆起;纵隔影增宽。[br]考虑右肺门区占位性病变伴局限性肺不张;右上肺代偿性气肿;建议ct或进一步检查。
[本贴已被 眼睛 于 2007-5-15 15:20:47 修改过]
作者: ZHANGZHONGSHOU 时间: 2007-5-11 02:43
右肺中心型肺癌可能性大,建议ct检查。
作者: jiangjing 时间: 2007-5-11 03:07
右肺中心型肺癌伴肺不张可能性大-----右肺门肿块,气管纵隔右移,右侧膈肌抬高
作者: 光线 时间: 2007-5-11 03:31
做ct吧。
作者: luoyanmin 时间: 2007-5-11 03:43
又肺门考虑肺动脉,慢性支气管炎,左下支气管扩张.
作者: zhangxiangjun 时间: 2007-5-11 03:59
右肺中心型肺癌可能性大,建议ct检查。
作者: zhanghua2086 时间: 2007-5-11 04:15
病史是男 可是片子好象是女的 这怎么诊断
作者: mrdudashu 时间: 2007-5-11 04:32
标题: 回复:x2201:胸片
以下是引用zhanghua2086在2007-5-10 20:15:00的发言:[br]病史是男 可是片子好象是女的 这怎么诊断
[右肺门稍示浓大,右膈抬高,作个ct看看.]
作者: 陈永刚 时间: 2007-5-11 04:45
标题: 回复:x2201:胸片
以下是引用jiangjing在2007-5-10 19:07:00的发言:[br]右肺中心型肺癌伴肺不张可能性大-----右肺门肿块,气管纵隔右移,右侧膈肌抬高
支持
作者: shiqingfa 时间: 2007-5-11 04:57
右肺中心型肺癌伴肺不张可能性大-----右肺门肿块,气管纵隔右移,右侧膈肌抬高
作者: 123zhangming 时间: 2007-5-11 04:58
支持右肺中心型肺癌可能性大,建议ct检查。
作者: ROBERT.BAGGIO 时间: 2007-5-11 05:19
肺ca可能性大.ct鉴别
作者: 念羊经 时间: 2007-5-11 05:28
右肺门稍示浓大,右膈抬高,作个ct看看.]
作者: 柯长存 时间: 2007-5-11 05:37
右侧肺门旁结节影,右侧膈肌抬高,考虑为中心性肺癌
作者: bjj12345678 时间: 2007-5-11 05:45
楼上的朋友 辛苦了 还是进一步检查吧!!!
作者: 如醉卧风 时间: 2007-5-11 06:09
标题: 回复:x2201:胸片
以下是引用shiqingfa在2007-5-10 20:57:00的发言:[br]右肺中心型肺癌伴肺不张可能性大-----右肺门肿块,气管纵隔右移,右侧膈肌抬高
作者: 晓方 时间: 2007-5-11 06:25
加摄侧位 再做ct
作者: sunny5463 时间: 2007-5-11 06:30
标题: 回复:x2201:胸片
如果考虑中央型肺癌,那么是纵隔型肺不张,那左中下肺野怎么解释
作者: sunny5463 时间: 2007-5-11 06:35
就一张正位片,资料不全,病史不全,怎么诊断????
作者: brave26 时间: 2007-5-11 08:20
右肺门区块影考虑是增粗迂曲的右下肺动脉.慢性支气管肺炎.不过还是做个ct保险.
作者: 天南地北 时间: 2007-5-11 09:03
右肺门稍示浓大,右膈抬高,作个ct,支持
作者: shenhs 时间: 2007-5-11 09:12
标题: 回复:x2201:胸片
以下是引用jiangjing在2007-5-10 19:07:00的发言:[br]右肺中心型肺癌伴肺不张可能性大-----右肺门肿块,气管纵隔右移,右侧膈肌抬高
作者: zyx168 时间: 2007-5-11 15:44
右肺中心型肺癌可能性大,建议ct检查。
作者: hjd 时间: 2007-5-11 16:53
建议ct检查。
作者: jinguoji 时间: 2007-5-11 18:04
右肺中心型肺癌可能性大,建议ct检查。
作者: dushiguo2006 时间: 2007-5-11 19:00
右侧肺门旁结节影,右侧膈肌抬高,考虑为中心性肺癌
作者: 苍三医黄 时间: 2007-5-11 22:10
右肺门中央性肺癌伴右上肺节段性不张。右膈面抬高。
作者: 小剑 时间: 2007-5-11 22:13
做ct吧
作者: yuebin 时间: 2007-5-11 22:58
支持加摄侧位 再做ct
作者: 学无止境 时间: 2007-5-11 23:33
右肺门肿块,气管纵隔右移,右侧膈肌抬高.
右膈面抬高,与肺门的肿块有关吗?是不是肺门的肿块是肝脏来源的淋巴转移呢?
首先,1结合临床
2可以在透视下观察肺门及隔肌的运动情况(单纯的隔膨升也可以引起气短)
3建议ct
作者: jinning 时间: 2007-5-12 01:30
右肺中心型肺癌伴肺不张可能性大-----右肺门肿块,气管纵隔右移,右侧膈肌抬高
作者: wy232326 时间: 2007-5-12 02:24
加摄侧位 再做c
作者: zhw974247 时间: 2007-5-12 03:17
右肺中心型肺癌伴肺不张可能性大-----右肺门肿块,气管纵隔右移,右侧膈肌抬高(考虑膈膨升或肺底积液)。
作者: 蜀南龙乡 时间: 2007-5-12 04:07
右肺门增大,右膈上抬,考虑右中心性肺癌,是不是太武断,作个ct吧
作者: fanxuebin 时间: 2007-5-12 04:32
右肺门影增大,右侧膈肌高位,没有肺不张,建议透视观察,有无膈肌矛盾运动,除外膈神经麻痹
作者: 迎客松abc 时间: 2007-5-12 05:35
右肺中心型肺癌伴肺不张可能性大-----右肺门肿块,气管纵隔右移,右侧膈肌抬高
作者: avril 时间: 2007-5-12 08:26
右肺门区见一团块状略高密度影,边缘尚清,右中下野内带区见略高密度影,质尚均,余所见右肺野密度普遍减低,肋间隙增宽;右膈局限性隆起;纵隔影增宽。
考虑右肺门区占位性病变伴局限性肺不张;右上肺代偿性气肿;建议ct或进一步检查。
作者: hcz 时间: 2007-5-15 00:04
右肺中心型肺癌伴肺不张可能性大-----右肺门肿块,气管纵隔右移,右侧膈肌抬高
支持
作者: dr.yang 时间: 2008-8-11 07:39
标题: 回复:x2201:胸片
以下是引用zhangzhongshou在2007-5-10 18:43:00的发言:[br]右肺中心型肺癌可能性大,建议ct检查。
作者: shibing 时间: 2014-3-11 09:50
建议ct检查。
| 欢迎光临 医影在线 (http://bbs.radida.com/bbs/) |
Powered by Discuz! X3.2 |