
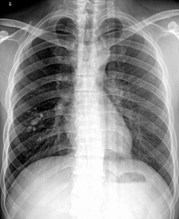
以下是引用jiangjing在2007-5-10 19:02:00的发言:[br]右下肺钙化,右肺透过度增强[密度减低]。考虑感染性病变所致
以下是引用jiangjing在2007-5-10 19:02:00的发言:[br]右下肺钙化,右肺透过度增强[密度减低]。考虑感染性病变所致
以下是引用小初学者在2007-5-10 19:14:00的发言:[br]考虑结核钙化可能性大
| 欢迎光临 医影在线 (http://bbs.radida.com/bbs/) | Powered by Discuz! X3.2 |