医影在线
标题: CT8190:左锁骨胸骨端骨病,请会诊. [打印本页]
作者: qiuleiyu 时间: 2007-5-12 01:47
标题: CT8190:左锁骨胸骨端骨病,请会诊.
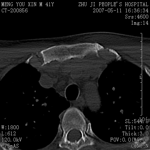
一周前左肩部酸痛,三天前颈部扭伤,后颈部摄片示颈椎病.现胸锁关节处肿痛明显.无发热.自诉三年前车祸安全气囊弹出.










[本贴已被 jiajie 于 2007-5-11 19:23:08 修改过]
作者: ZHANGZHONGSHOU 时间: 2007-5-12 02:09
锁骨转移瘤待排
作者: zxczxc 时间: 2007-5-12 02:49
左锁骨近端骨质破坏,考虑结核。
作者: 余辉 时间: 2007-5-12 03:07
骨巨细胞瘤待排
作者: 李晓阳 时间: 2007-5-12 03:43
考虑结核,上点软组织窗
作者: 同 时间: 2007-5-12 03:47
骨巨细胞瘤待排
作者: 高仕福 时间: 2007-5-12 04:28
标题: 文献复习
锁骨结核
在所有的结核患者中骨与关节的结核约占1%~3%,但锁骨结核较罕见。据不完全统计,自1882年~1981年近100年间,文献所报道的锁骨结核总数不超过60例。1981年吴钟秀等在国内首次报道了北京积水潭医院建院23年间收治的5例锁骨结核的治疗结果,占同期全身各部骨关节结核总数的0.3%。
锁骨结核主要表现为受累部位的疼痛、肿胀、压痛,常并发局部浅表的寒性脓肿,多在锁骨上胸锁乳突肌的后缘,破溃后可形成窦道,少数病例可有深部的寒性脓肿形成。肩关节功能轻度或中度受限。常伴有肺结核或其他结核病。单纯的锁骨结核一般无全身症状。实验室检查血沉加快,结核菌素试验在儿童可呈现强阳性。x线表现:发生于骨干者类似长骨结核,骨增生多于骨破坏;发生于两端者骨皮质有慢性增生性改变,松质骨为溶骨性破坏,有时有死骨形成,部分病例可发生病理性骨折。病变部位多见于锁骨两端,其中锁骨内侧1/3近胸锁关节处更为多见。早期无明显症状及严重并发症者,可考虑单纯抗痨治疗。有死骨形成,明显脓肿或有窦道时则考虑作病灶清除,骨端分病例可发生病理性骨折。病变部位多见于锁骨两端,其中锁骨内侧1/3近胸锁关节处更为多见。
早期无明显症状及严重并发症者,可考虑单纯抗痨治疗。有死骨形成,明显脓肿或有窦道时则考虑作病灶清除,骨端。
————摘自王诗波,侯春林,吴韬 锁骨疾病《中国矫形外科杂志》 2004年10月第12卷第19期 p1502
[本贴已被 高仕福 于 2007-5-11 20:32:01 修改过]
作者: jinning 时间: 2007-5-12 05:04
支持楼上
作者: 汪涛同志 时间: 2007-5-12 05:44
不支持结核,此例胸壁肿胀不明显,锁骨后方是局限性肿物而非脓肿,考虑为恶性肿瘤。
作者: 难听 时间: 2007-5-12 05:44
左侧锁骨近端膨大,骨皮质中断,并见少许骨膜反应,内见破坏,边缘见筛孔征,无硬化.因此考虑骨巨细胞瘤可能.
作者: jinguoji 时间: 2007-5-12 06:21
不支持结核,此例胸壁肿胀不明显,锁骨后方是局限性肿物而非脓肿,考虑为恶性肿瘤。 支持
作者: 拾荒者 时间: 2007-5-12 07:16
标题: 回复:ct8190:左锁骨胸骨端骨病,请会诊.
以下是引用汪涛同志在2007-5-11 21:44:00的发言:[br]不支持结核,此例胸壁肿胀不明显,锁骨后方是局限性肿物而非脓肿,考虑为恶性肿瘤。
作者: 天南地北 时间: 2007-5-12 07:41
非化脓性骨关节炎?
作者: wyk504 时间: 2007-5-12 09:01
支持结核
作者: lizhjie 时间: 2007-5-12 12:59
动脉瘤样骨囊肿可能性大.
作者: jiajie 时间: 2007-5-12 14:22
双侧胸锁关节未见明显异常改变。
作者: 宝天曼 时间: 2007-5-13 05:44
左侧锁骨近端膨大,骨皮质中断,并见少许骨膜反应,内见破坏,边缘见筛孔征,无硬化.因此考虑骨巨细胞瘤可能.
作者: hcz 时间: 2007-5-14 18:19
1,不支持结核,此例胸壁肿胀不明显,锁骨后方是局限性肿物而非脓肿,考虑为恶性肿瘤2,左侧锁骨近端膨大,骨皮质中断,并见少许骨膜反应,内见破坏,边缘见筛孔征,无硬化.因此考虑骨巨细胞瘤可能.
作者: yscao 时间: 2007-9-13 05:29
学习
| 欢迎光临 医影在线 (http://bbs.radida.com/bbs/) |
Powered by Discuz! X3.2 |