
























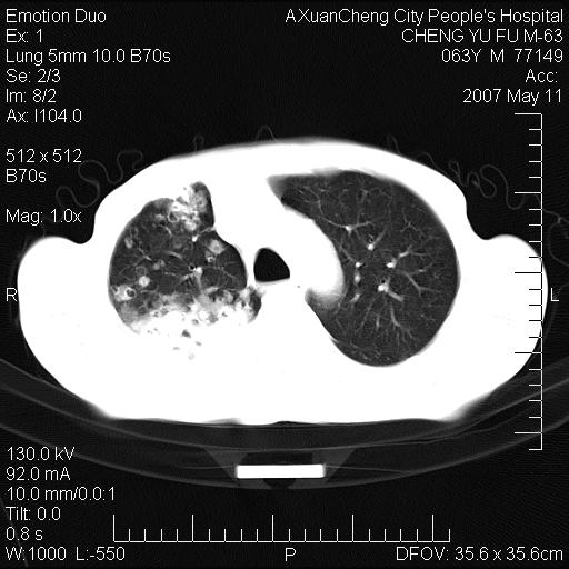
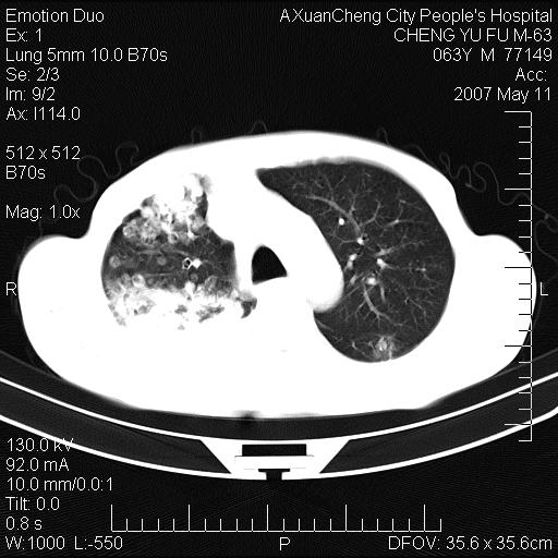
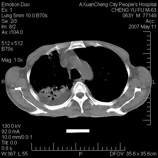
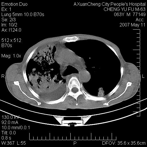
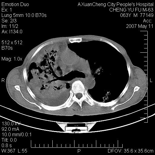
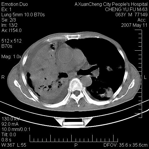
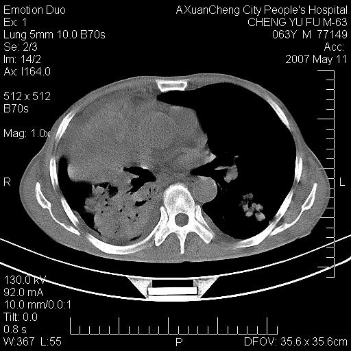
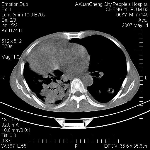
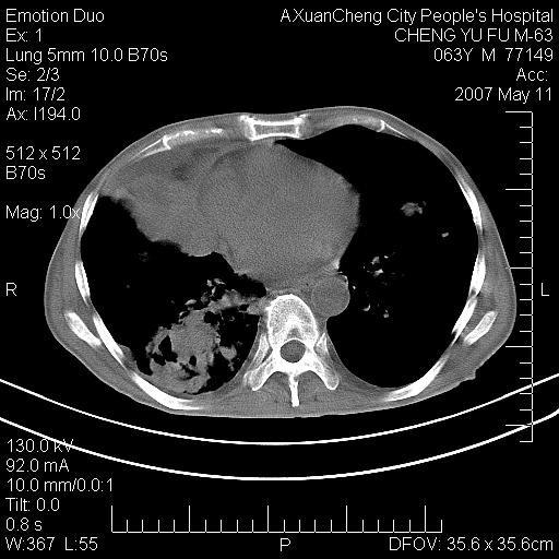
以下是引用小初学者在2007-5-11 19:32:00的发言:[br]1、首先考虑干酪性肺炎支气管播散[br]2、支气管肺泡癌待排
以下是引用zhangzhongshou在2007-5-11 19:30:00的发言:[br]细支气管肺泡癌可能性大。
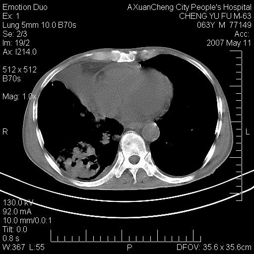
以下是引用小初学者在2007-5-11 19:32:00的发言:[br]1、首先考虑干酪性肺炎支气管播散[br]2、支气管肺泡癌待排
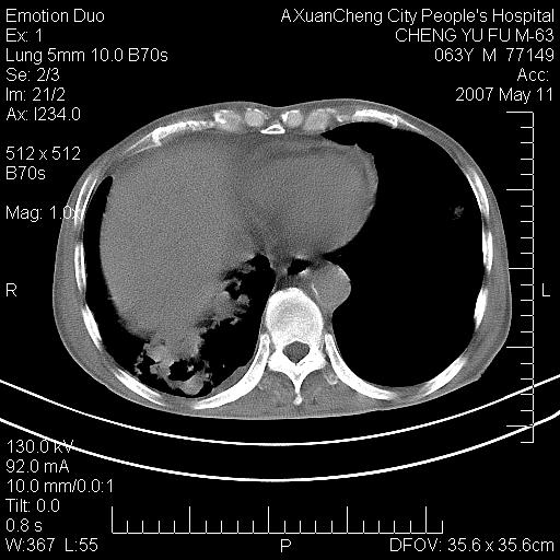
以下是引用小初学者在2007-5-11 19:32:00的发言:[br]1、首先考虑干酪性肺炎支气管播散[br]2、支气管肺泡癌待排
| 欢迎光临 医影在线 (http://bbs.radida.com/bbs/) | Powered by Discuz! X3.2 |