医影在线
标题: CT8208:女,48岁,反复头晕半年余,无听力、视力障碍 [打印本页]
作者: 王明发 时间: 2007-5-12 23:48
标题: CT8208:女,48岁,反复头晕半年余,无听力、视力障碍
(结果公布:http://www.radida.com/bbs/forum.php?mod=viewthread&tid=24959)
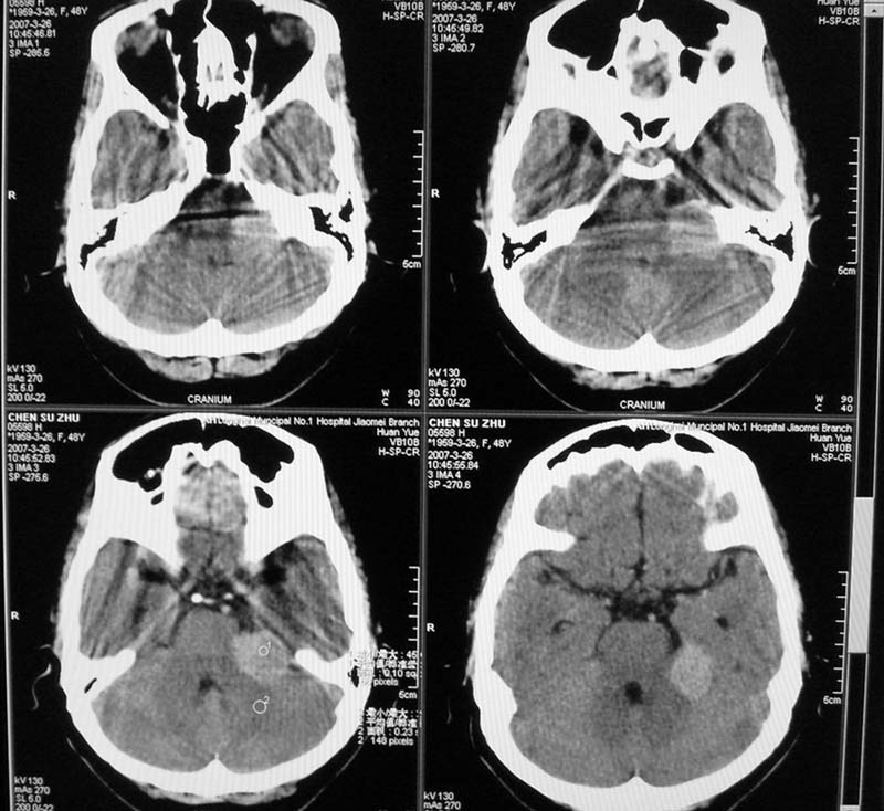
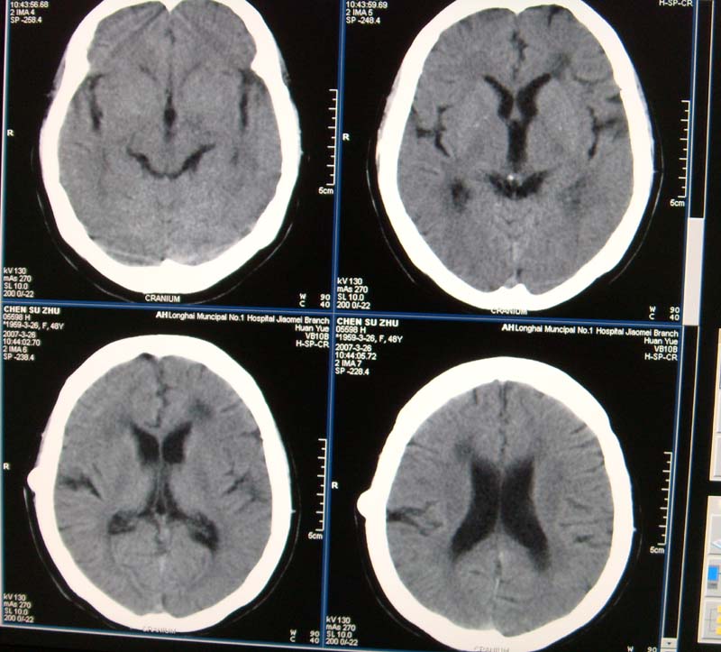
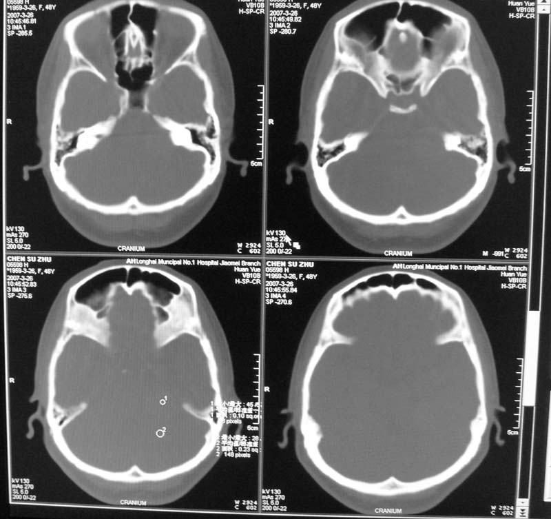
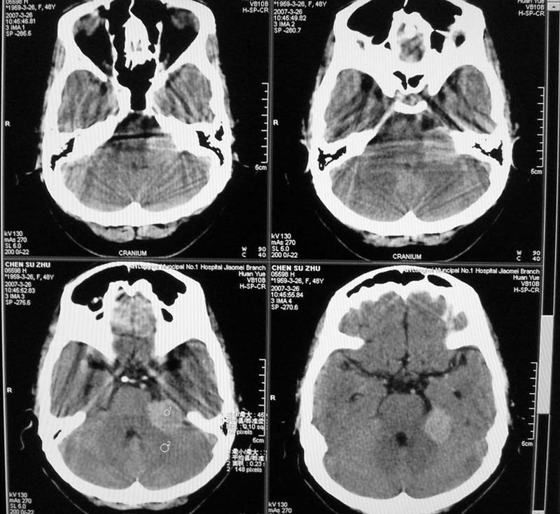
患者,女,48岁,反复头晕半年余,无听力、视力障碍。病人已手术,结果明天传。





[本贴已被 jiajie 于 2007-5-12 20:10:39 修改过]
[本贴已被 翁志蓬 于 2007-5-13 22:57:16 修改过]
作者: wqs571018 时间: 2007-5-12 23:55
1、脑膜瘤2、听神经瘤。期待结果。
作者: 还珠格格 时间: 2007-5-12 23:58
左侧桥小脑角区听神经瘤瘤可能性大
作者: 小初学者 时间: 2007-5-13 00:00
标题: [原创]回复:头颅ct


作者: 狙击手 时间: 2007-5-13 00:06
内听道口似未见明显扩大,肿瘤呈类圆形高密度影,考虑脑膜瘤先。
作者: 李晓阳 时间: 2007-5-13 00:35
左脑膜瘤、右侧颅骨骨瘤
作者: 蜜蜂君 时间: 2007-5-13 01:39
标题: 回复:头颅ct
以下是引用狙击手在2007-5-12 16:06:00的发言:[br]内听道口似未见明显扩大,肿瘤呈类圆形高密度影,考虑脑膜瘤先。
作者: 李海军 时间: 2007-5-13 02:05
标题: 回复:头颅ct
以下是引用wqs571018在2007-5-12 15:55:00的发言:[br]1、脑膜瘤2、听神经瘤。期待结果。
作者: 天南地北 时间: 2007-5-13 02:25
1、左侧听神经瘤可能性大2、右侧颅骨骨瘤
作者: yxq 时间: 2007-5-13 02:31
脑膜瘤
作者: duguo 时间: 2007-5-13 02:41
听神经瘤首先考虑.
作者: 五阿哥 时间: 2007-5-13 03:26
骨窗示内听道未见明显扩大,局部骨质未见明显吸收破坏,
考虑:左侧桥小脑角处脑膜瘤
作者: huierxiao 时间: 2007-5-13 03:26
脑膜瘤
作者: w_jianhua 时间: 2007-5-13 04:01
骨窗示内听道未见明显扩大,局部骨质未见明显吸收破坏,
考虑:左侧桥小脑角处脑膜瘤
作者: 人鱼小小 时间: 2007-5-13 04:11
脑膜瘤
作者: 余辉 时间: 2007-5-13 04:15
支持考虑脑膜瘤先
作者: jw-830 时间: 2007-5-13 04:16
考虑左侧桥小脑角区脑膜瘤可能性大
作者: jinning 时间: 2007-5-13 04:40
脑膜瘤
作者: qc80012345 时间: 2007-5-13 04:44
脑膜瘤;骨瘤。
作者: 老爱克斯 时间: 2007-5-13 04:50
1脑膜瘤,2听神经瘤,
作者: 宝天曼 时间: 2007-5-13 05:00
1、脑膜瘤2、听神经瘤。期待结果。
作者: 同 时间: 2007-5-13 05:07
标题: 回复:ct8208:女,48岁,反复头晕半年余,无听力、视力障碍
以下是引用小初学者在2007-5-12 16:00:00的发言:[br]
[br]
[br]
作者: xulianj 时间: 2007-5-13 05:26
1左侧桥小脑角区肿瘤;脑膜瘤?听神经瘤?
2右顶骨骨软骨瘤。
作者: 阿宽 时间: 2007-5-13 05:45
标题: 回复:ct8208:女,48岁,反复头晕半年余,无听力、视力障碍
首先考虑听神经瘤。
作者: jiangjing 时间: 2007-5-13 05:47
支持 脑膜瘤或动脉瘤
作者: shiqingfa 时间: 2007-5-13 06:28
左脑膜瘤、右侧颅骨骨瘤
作者: tanjiuzhe313 时间: 2007-5-13 06:44
标题: 回复:ct8208:女,48岁,反复头晕半年余,无听力、视力障碍
以下是引用jiangjing在2007-5-12 21:47:00的发言:[br]支持 脑膜瘤或动脉瘤
瘤体与岩骨呈钝角紧密相连。
作者: aosangwa 时间: 2007-5-13 06:47
1.病灶形态规则,密度略高,边界尚清,周围无水肿带,无明显占位效应
2.病人应已强化扫描
3.首先考虑动脉瘤,其次考虑脑膜瘤
4.期待明天的结果
作者: weijing 时间: 2007-5-13 09:00
多发性脑膜瘤可能性大
作者: 卜一 时间: 2007-5-13 12:57
以下是引用wqs571018在2007-5-12 15:55:00的发言:
1、脑膜瘤2、听神经瘤。期待结果
支持!
作者: chmb 时间: 2007-5-13 14:10
左侧岩骨局部受压,考虑脑膜瘤可能性大
作者: qiuleiyu 时间: 2007-5-13 16:03
标题: 回复:ct8208:女,48岁,反复头晕半年余,无听力、视力障碍
以下是引用小初学者在2007-5-12 16:00:00的发言:[br]
[br]
[br]
作者: 文芳 时间: 2007-5-13 18:45
内听道没有加层薄扫,显示不太清,所以鉴别听神经瘤和脑膜瘤困难.左额叶低密度是梗塞?
作者: 汪涛同志 时间: 2007-5-13 20:06
标题: 回复:ct8208:女,48岁,反复头晕半年余,无听力、视力障碍

跨颅窝生长,左侧岩骨“刀切样骨质破坏”高度提示三叉神经瘤!
作者: shenhs 时间: 2007-5-13 20:13
标题: 回复:ct8208:女,48岁,反复头晕半年余,无听力、视力障碍
以下是引用蜜蜂君在2007-5-12 17:39:00的发言:[br][quote]以下是引用狙击手在2007-5-12 16:06:00的发言:[br]内听道口似未见明显扩大,肿瘤呈类圆形高密度影,考虑脑膜瘤先。
[br][/quote]
作者: 拾荒者 时间: 2007-5-13 21:30
标题: 回复
左侧桥小脑角区高密度肿块,周围无水肿及明显占位效应,岩骨尖受压吸收,内听道未见扩大,无听力异常,右侧颅骨外板高密度影,边缘锐利,考虑:左侧脑膜瘤,右侧颅骨骨瘤。左侧岩骨尖有破坏,三叉神经瘤待排。
期待手术结果。
[本贴已被 拾荒者 于 2007-5-13 13:42:08 修改过]
作者: hcz 时间: 2007-5-13 21:48
内听道口似未见明显扩大,肿瘤呈类圆形高密度影,考虑脑膜瘤先
作者: zxczxc 时间: 2007-5-13 22:40
左桥脑角区脑膜瘤。
作者: 狙击手 时间: 2007-5-14 07:02
结果:脑膜瘤,谢谢。
作者: awtiantang 时间: 2007-5-14 07:28
脑膜瘤
作者: whz1765 时间: 2007-5-14 08:41
无听力障碍,先考虑脑膜瘤吧
作者: dr.yang 时间: 2011-10-17 07:26
结果:脑膜瘤
| 欢迎光临 医影在线 (http://bbs.radida.com/bbs/) |
Powered by Discuz! X3.2 |