









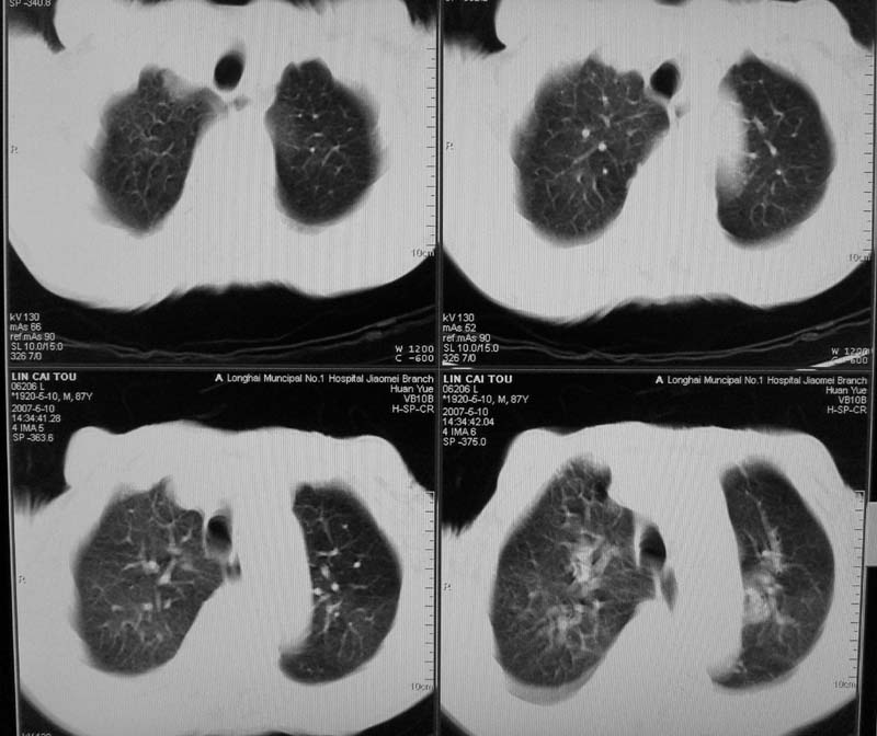
以下是引用小初学者在2007-5-12 16:26:00的发言:[br]1、心衰肺水肿两侧胸腔积液2、心包积液3、心瓣膜钙化
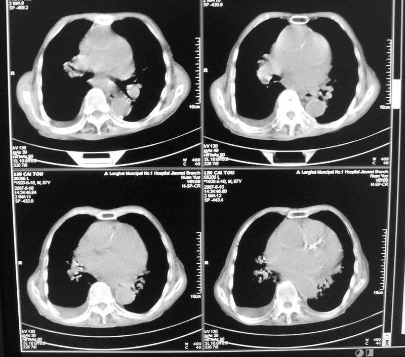
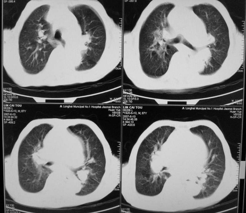
以下是引用小初学者在2007-5-12 16:26:00的发言:[br]1、心衰肺水肿两侧胸腔积液2、心包积液3、心瓣膜钙化
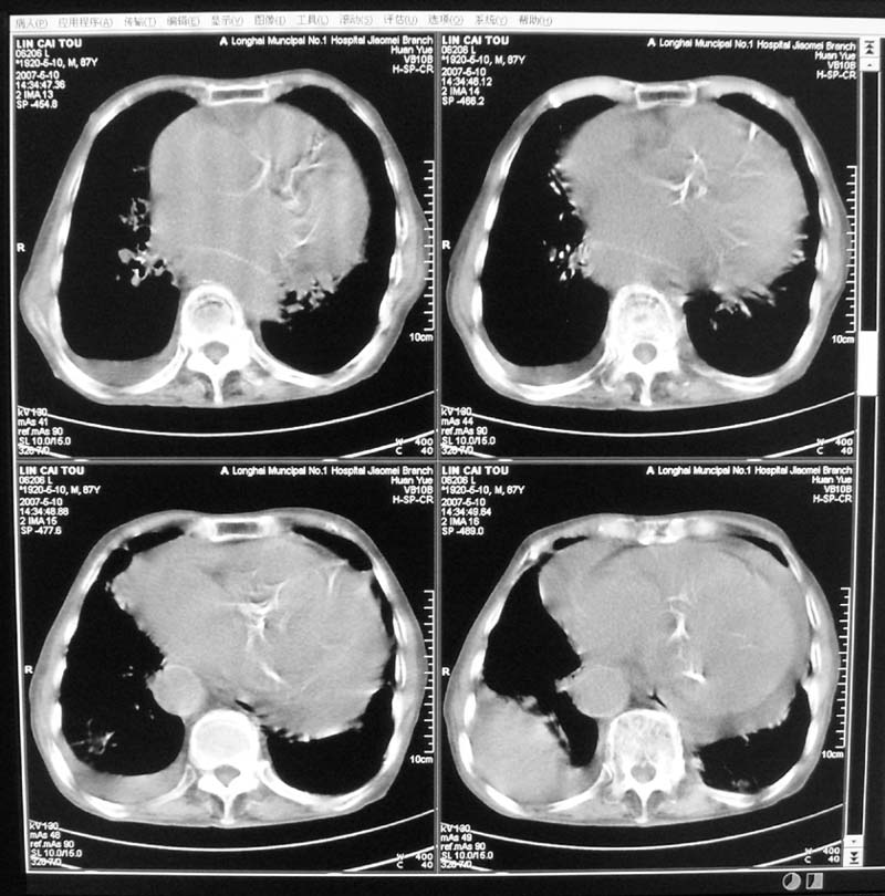
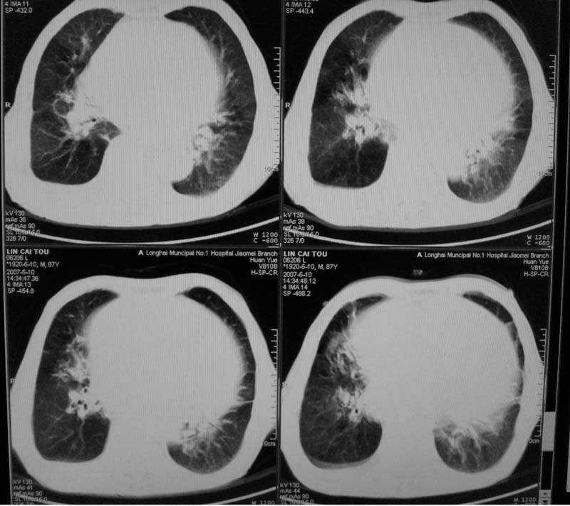
以下是引用小初学者在2007-5-12 16:26:00的发言:[br]1、心衰肺水肿两侧胸腔积液2、心包积液3、心瓣膜钙化
| 欢迎光临 医影在线 (http://bbs.radida.com/bbs/) | Powered by Discuz! X3.2 |