医影在线

标题: CT8228:男,44岁,腰痛3月,加重3天,这是正常的吗? [打印本页]

作者: 医土    时间: 2007-5-13 20:33
标题: CT8228:男,44岁,腰痛3月,加重3天,这是正常的吗?
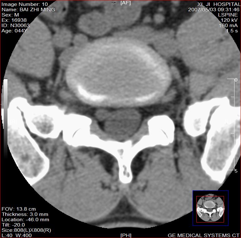
男,44岁,腰痛3月,加重3天。







[本贴已被 jiajie 于 2007-5-14 13:21:02 修改过]

作者: 天南地北    时间: 2007-5-13 20:45
标题: 回复:这是正常的吗?

作者: 李晓阳    时间: 2007-5-14 04:34
正常
作者: 狙击手    时间: 2007-5-14 07:09
支持2楼
作者: 我爱CT-MR    时间: 2007-5-14 17:31
查mr
作者: 拾荒者    时间: 2007-5-15 06:56
同意2楼,左侧神经根增粗,欠规整,神经根炎或神经源性肿瘤可能,建议mri检查。
作者: jinning    时间: 2007-5-15 16:56
同意2楼,左侧神经根增粗,欠规整,神经根炎或神经源性肿瘤可能,建议mri检查
作者: 人鱼小小    时间: 2007-5-15 19:00
神经根炎
作者: ZHANGZHONGSHOU    时间: 2007-5-15 21:41
标题: 回复:ct8228:男,44岁,腰痛3月,加重3天,这是正常的吗?
以下是引用天南地北在2007-5-13 12:45:00的发言:[br][br]

支持
作者: zhw974247    时间: 2007-5-15 22:00
同意2楼,左侧神经根增粗,欠规整,神经根炎或神经源性肿瘤可能,建议mri检查
作者: zhg2005    时间: 2007-5-16 01:15
左侧神经根增大.并硬脊膜囊受压(1,神经根炎2神经根肿瘤)
作者: 青莲居士    时间: 2007-5-16 03:32
同意2楼,左侧神经根增粗,欠规整,神经根炎或神经源性肿瘤可能,建议mri检查
作者: 青莲居士    时间: 2007-5-16 04:06
同意2楼,左侧神经根增粗,欠规整,神经根炎或神经源性肿瘤可能,建议mri检查
作者: 朱亮    时间: 2007-5-16 06:23
建议磁共振
作者: 心愿    时间: 2007-5-16 18:16
同意2楼,左侧神经根增粗,欠规整,神经根炎或神经源性肿瘤可能,建议mri检查
作者: 红樱枪    时间: 2007-5-16 18:37
左侧神经根增粗,欠规整,神经根炎或神经源性肿瘤可能,建议mri检查
作者: hcz    时间: 2007-5-16 21:26
左侧神经根增粗,欠规整,神经根炎或神经源性肿瘤可能,建议mri检查。




欢迎光临 医影在线 (http://bbs.radida.com/bbs/) Powered by Discuz! X3.2