医影在线
标题: X2222:肺片 [打印本页]
作者: 眼睛 时间: 2007-5-14 04:33
标题: X2222:肺片
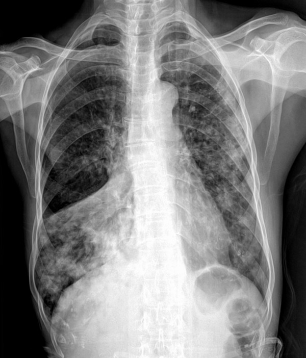
f 70y 咳嗽 气喘!

[本贴已被 翁志蓬 于 2007-5-13 21:18:29 修改过]
以下是引用avril在2007-5-14 0:13:00的发言:[br]双肺野均可见呈弥漫分布结节状略高密度影,以右下肺及左肺为多,边界不清;于右下肺野内见“倒三角形”高密度区。[br]1、考虑右肺中心型肺ca伴右肺中叶阻塞性炎症。[br]2、双肺支气管播散转移可能性大。[br]3、右上肺代偿性气肿。[br] [br] [br]
[本贴已被 眼睛 于 2007-5-15 14:44:16 修改过]
作者: 永无止境 时间: 2007-5-14 04:43
慢支,肺气肿并发肺内感染
作者: wy232326 时间: 2007-5-14 04:50
ct
作者: ZHANGZHONGSHOU 时间: 2007-5-14 04:52
1、双肺弥漫结节影、短线条影,肺泡癌可能,结核不能除外。建议ct检查。
右肺中叶不张,原因? 建议进一步检查。
作者: 眼睛 时间: 2007-5-14 04:54
标题: 地
右肺中叶不张,原因? 确诊为肺ca (刚知道的)
[本贴已被 眼睛 于 2007-5-13 20:56:44 修改过]
作者: shang2 时间: 2007-5-14 04:54
右中叶不张,双肺多发结节影,考虑右中心性肺癌伴双肺转移。
作者: 123zhangming 时间: 2007-5-14 05:00
标题: 回复:肺片
以下是引用zhangzhongshou在2007-5-13 20:52:00的发言:[br]1、双肺弥漫结节影、短线条影,肺泡癌可能,结核不能除外。建议ct检查。[br]右肺中叶不张,原因? 建议进一步检查。
支持
作者: jinguoji 时间: 2007-5-14 05:33
1.慢支,肺气肿并发肺内感染.
2.右肺中叶不张,肺ca可能, 建议ct检查.
作者: zxczxc 时间: 2007-5-14 05:58
右肺下叶不张,双肺炎症。
作者: 天南地北 时间: 2007-5-14 06:27
右中叶不张,双肺多发结节影,考虑右中心性肺癌伴双肺转移
作者: shenhs 时间: 2007-5-14 06:58
右中叶不张,双肺多发结节影,考虑右中心性肺癌伴双肺转移
作者: avril 时间: 2007-5-14 08:13
双肺野均可见呈弥漫分布结节状略高密度影,以右下肺及左肺为多,边界不清;于右下肺野内见“倒三角形”高密度区。
1、考虑右肺中心型肺ca伴右肺中叶阻塞性炎症。
2、双肺支气管播散转移可能性大。
3、右上肺代偿性气肿。
作者: 潘X 时间: 2007-5-14 08:57
结果收到,右下肺不张考虑阻塞引起,应该有个侧位片更好看,不知其它部位有没有病变,原发病灶是在肺部吗?
作者: zhangkai 时间: 2007-5-14 16:24
两肺弥漫性结节样影,两中下为主(右肺中叶不张),考虑:1、肺泡癌?2、肺部转移瘤?建议作ct检查。
作者: lichji-xct 时间: 2007-5-14 17:30
肺泡癌?
作者: wjch 时间: 2007-5-14 17:44
右中叶不张,双肺多发结节影,考虑右中心性肺癌伴双肺转移。
作者: 柯长存 时间: 2007-5-14 17:51
双肺多发结节影,考虑为肺泡癌,右中叶肺不张,阻塞性.
作者: andymaomao 时间: 2007-5-14 19:46
1、双肺弥漫浅淡结节影、短线条影,边缘模糊,考虑感染可能;
2、不排除肺癌可能,结核不能除外;
3、右肺中叶不张,原因? 阻塞性改变?炎变? 建议ct检查。
4、双肺肺气肿。
作者: hcz 时间: 2007-5-14 20:54
1、双肺弥漫结节影、短线条影,肺泡癌可能,结核不能除外。建议ct检查。
右肺中叶不张,原因? 建议进一步检查。
作者: 宝天曼 时间: 2007-5-14 22:20
右中叶不张,双肺多发结节影,考虑右中心性肺癌伴双肺转移。
作者: zhanghua2086 时间: 2007-5-15 00:29
ct
作者: dushiguo2006 时间: 2007-5-15 01:00
右中叶不张,双肺多发结节影,考虑右中心性肺癌伴双肺转移
作者: 晓方 时间: 2007-5-15 03:10
中型性肺ca 造成的中叶综合征
作者: shiqingfa 时间: 2007-5-15 03:53
双肺弥漫结节影、短线条影,肺泡癌可能,结核不能除外。建议ct检查。
右肺中叶不张,原因? 建议进一步检查。
作者: 陈永刚 时间: 2007-5-15 04:40
标题: 回复:x2222:肺片
以下是引用shang2在2007-5-13 20:54:00的发言:[br]右中叶不张,双肺多发结节影,考虑右中心性肺癌伴双肺转移。
支持
作者: marco 时间: 2007-5-15 05:29
右中叶不张,双肺多发结节影,考虑右中心性肺癌伴双肺转移
作者: dr.yang 时间: 2008-8-11 07:41
双肺野均可见呈弥漫分布结节状略高密度影,以右下肺及左肺为多,边界不清;于右下肺野内见“倒三角形”高密度区。
1、考虑右肺中心型肺ca伴右肺中叶阻塞性炎症。
2、双肺支气管播散转移可能性大。
3、右上肺代偿性气肿。
作者: shibing 时间: 2014-3-11 09:50
ct
| 欢迎光临 医影在线 (http://bbs.radida.com/bbs/) |
Powered by Discuz! X3.2 |