医影在线

标题: CT8224女,76,咳,发热,糖尿病患者。 [打印本页]

作者: 狙击手    时间: 2007-5-14 05:59
标题: CT8224女,76,咳,发热,糖尿病患者。
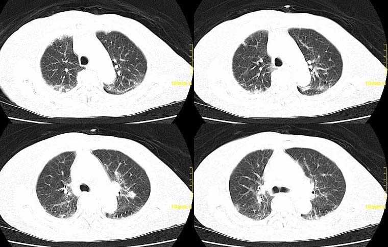
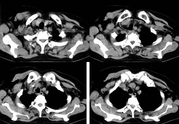
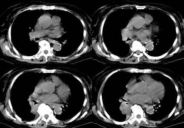
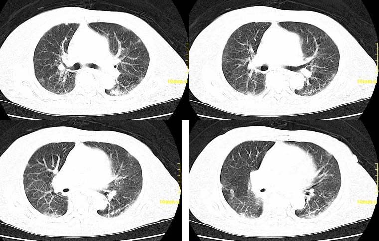
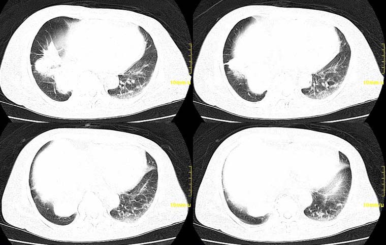
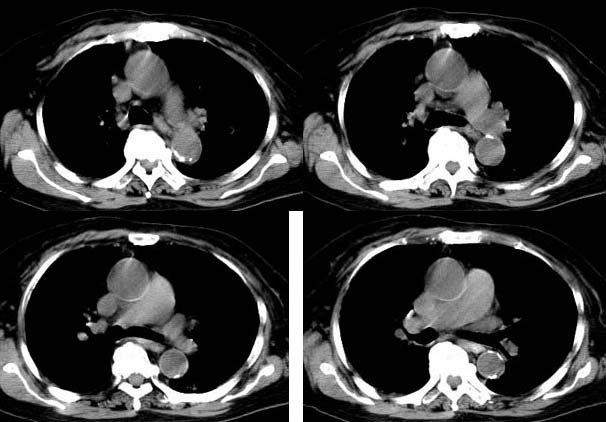
请大家讨论右下肺占位性质。ct值约35-55hu














[本贴已被 翁志蓬 于 2007-5-13 23:00:30 修改过]

作者: lijinzhu123    时间: 2007-5-14 06:08
右肺门后侧软组织肿块,内见点状钙化,年龄76,ct值约35-55hu ,考虑肺癌可能
作者: kbzyycm    时间: 2007-5-14 06:17
考虑肺癌可能
作者: 汪涛同志    时间: 2007-5-14 06:17
标题: 回复:女,76,咳,发热,糖尿病患者。
以下是引用lijinzhu123在2007-5-13 22:08:00的发言:[br]右肺门后侧软组织肿块,内见点状钙化,年龄76,ct值约35-55hu ,考虑肺癌可能

支持!
作者: Adams    时间: 2007-5-14 06:18
考虑肺ca可能性大。
作者: ZHANGZHONGSHOU    时间: 2007-5-14 06:30
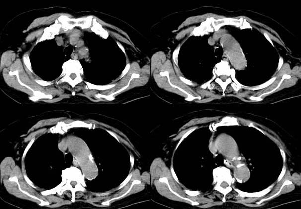
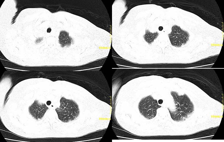
右下肺癌右肺门淋巴结转移,双肺转移?建议hrct检查。
作者: 天南地北    时间: 2007-5-14 06:42
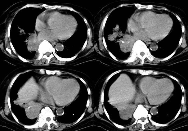
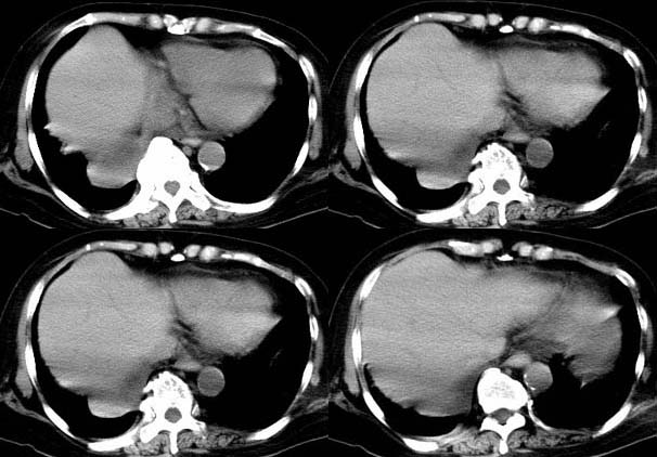
右下中央型肺癌伴右肺门淋巴结转移、右肺转移。
作者: 拾荒者    时间: 2007-5-14 06:52
右肺门后侧环绕支气管的软组织肿块,内见点状钙化,远端有阻塞性炎症,年龄76,ct值约35-55hu ,考虑右肺中心型肺癌。建议支气管镜鉴。
作者: awtiantang    时间: 2007-5-14 07:36
右下中央型肺癌伴右肺门淋巴结转移、右肺转移
作者: whz1765    时间: 2007-5-14 08:24
肺癌!
作者: avril    时间: 2007-5-14 08:59
右肺中央型肺ca伴纵隔淋巴及肺内播散转移。
作者: 卜一    时间: 2007-5-14 14:08
右中央型肺癌伴右肺门淋巴结转移、右肺转移。支持!!!
作者: 小初学者    时间: 2007-5-14 14:59
标题: [原创]回复:ct8224女,76,咳,发热,糖尿病患者。
右肺中央型肺ca伴纵隔淋巴及肺内播散转移。
作者: liuyue    时间: 2007-5-14 15:32
右下中央型肺癌伴右肺门、纵隔淋巴结转移,双肺肺转移
作者: wj2039    时间: 2007-5-14 17:23
右肺中央型肺ca伴纵隔淋巴及肺内播散转移。
作者: w_jianhua    时间: 2007-5-14 17:47
考虑右肺中心型肺癌并纵隔淋巴结肿大。建议支气管镜鉴。
作者: 五阿哥    时间: 2007-5-14 18:30
右下肺,右肺门后方见团块状软组织密度影,边缘呈分叶状,其内见斑点状钙化,肿块内部支气管腔闭塞。肿块后方可见胸膜尾征,外侧方见斑片状模糊阴影。右肺门淋巴结增大。
考虑:右侧中央型肺癌伴阻塞性肺炎及右肺门淋巴结转移
作者: jian-5587    时间: 2007-5-14 20:46
右下肺癌右肺门淋巴结转移,阻塞性炎症.
作者: jinguoji    时间: 2007-5-14 21:14
支持  右中央型肺癌伴右肺门淋巴结转移、右肺转移。
作者: 宝天曼    时间: 2007-5-14 21:59
考虑肺ca可能性大
作者: chmb    时间: 2007-5-14 23:34
典型的中央型肺癌
作者: zhanghua2086    时间: 2007-5-15 00:19
考虑肺癌并肺门淋巴结转移
作者: 余辉    时间: 2007-5-15 01:23
右下中央型肺癌伴右肺门淋巴结转移、右肺转移
作者: ailuanfei    时间: 2007-5-15 01:30
右中央型肺癌伴右肺门淋巴结转移、右肺转移。支持!!!
作者: 同    时间: 2007-5-15 02:55
支持肺癌
作者: jinning    时间: 2007-5-15 17:01
右下肺癌右肺门淋巴结转移,双肺转移
作者: jw-830    时间: 2007-5-15 18:31
右下肺中央型肺癌伴阻塞性炎症,并右肺门淋巴结及右肺转移
作者: yscao    时间: 2007-9-13 05:48
标题: 回复:ct8224女,76,咳,发热,糖尿病患者。
以下是引用jinning在2007-5-15 9:01:00的发言:[br]右下肺癌右肺门淋巴结转移,双肺转移

作者: dr.yang    时间: 2011-10-30 16:22
右肺门后侧环绕支气管的软组织肿块,内见点状钙化,远端有阻塞性炎症,年龄76,ct值约35-55hu ,考虑右肺中心型肺癌。建议支气管镜鉴。




欢迎光临 医影在线 (http://bbs.radida.com/bbs/) Powered by Discuz! X3.2