医影在线
标题: CT8227:左肺上叶占位???? 又有新进展 一周之后 复查 [打印本页]
作者: aara 时间: 2007-5-14 19:02
标题: CT8227:左肺上叶占位???? 又有新进展 一周之后 复查





[本贴已被 jiajie 于 2007-5-14 13:01:37 修改过]
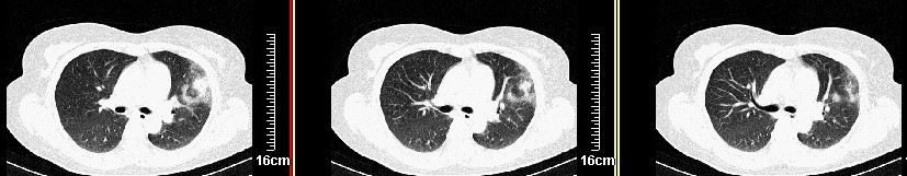
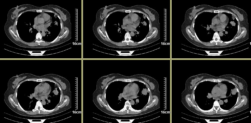
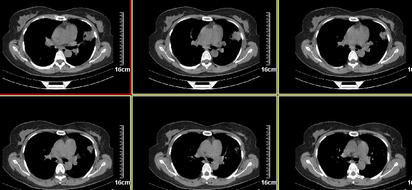
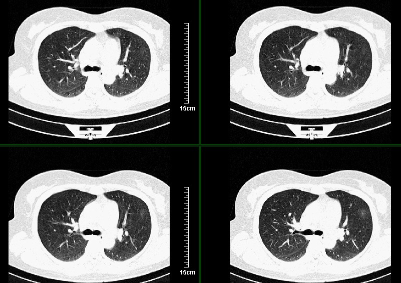
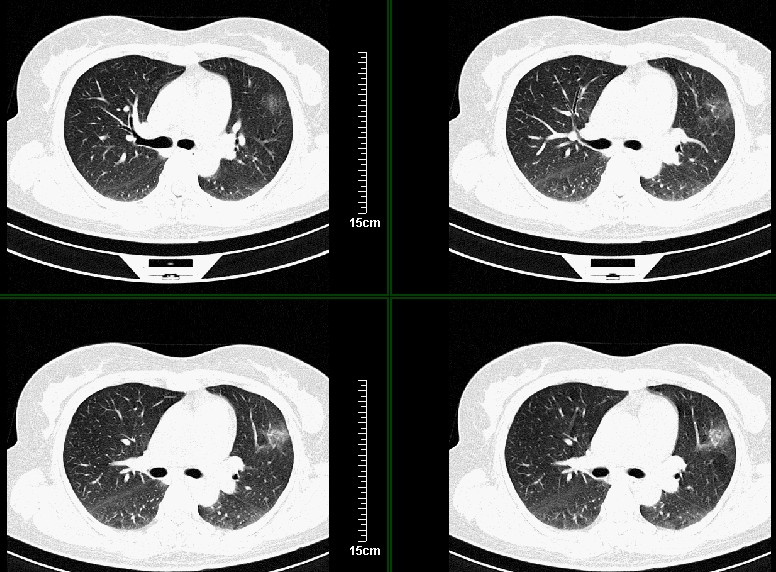
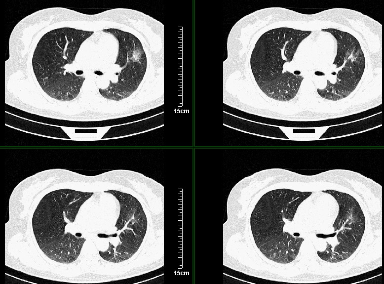
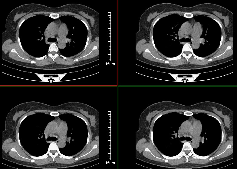
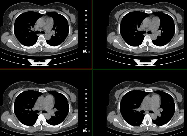
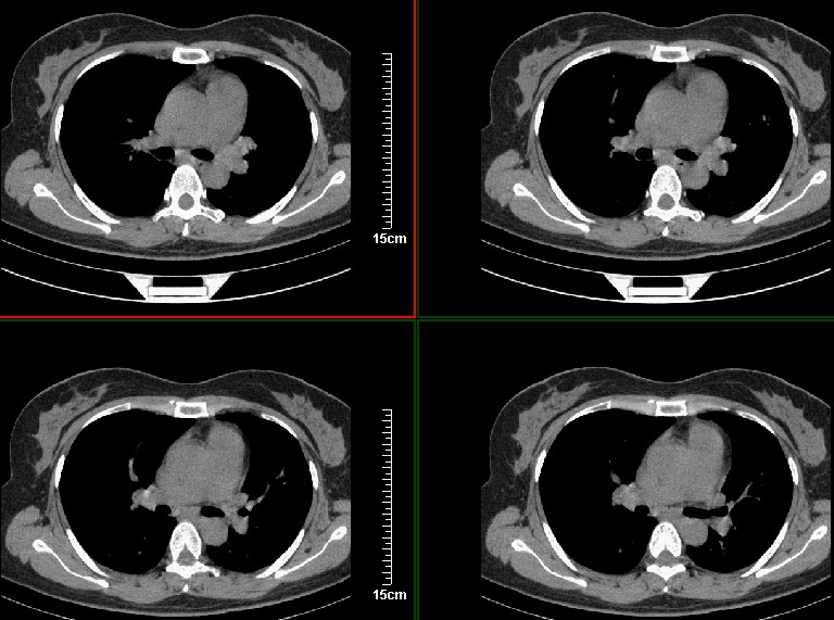
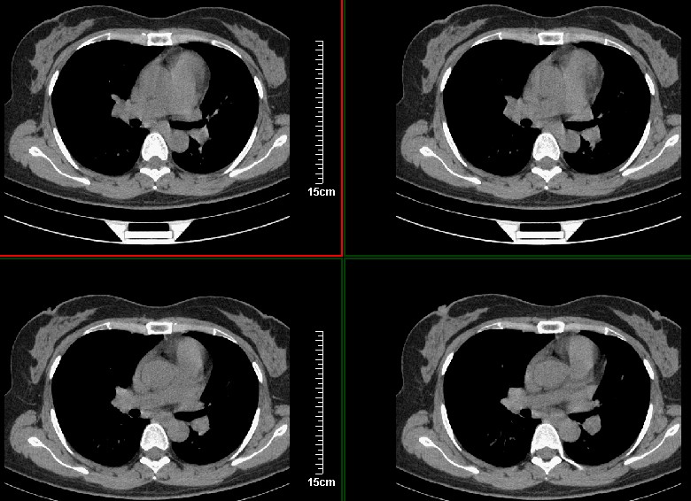
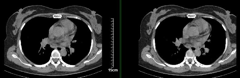
一周之后 复查结果 5mm扫描 40多岁 我们医院的护士










[本贴已被 aara 于 2007-5-19 12:12:01 修改过]
作者: andymaomao 时间: 2007-5-14 19:18
病史?1.首先考虑左肺上叶占位(ca可能);
2.继发型肺tb?
3.单纯感染不除外。
作者: wuxin7374 时间: 2007-5-14 20:20
病史呢,年龄呢,猜啊。
作者: ZHANGZHONGSHOU 时间: 2007-5-14 20:56
左上肺周围型肺癌可能性大,楼主片子太小
作者: jinguoji 时间: 2007-5-14 21:20
考虑左肺上叶周围型肺癌可能性大.
作者: 宝天曼 时间: 2007-5-14 22:06
左上肺周围型肺癌可能性大,楼主片子太小
作者: zzzzhhhhaaaannn 时间: 2007-5-14 22:23
周围性肺癌
作者: kbzyycm 时间: 2007-5-14 22:27
左上肺周围型肺癌可能性大,
作者: 卜一 时间: 2007-5-14 22:27
左上肺周围型肺癌可能性大.
作者: ls5092638 时间: 2007-5-14 23:28
左上肺周围型肺癌可能性大,不排除单纯感染性病变.
作者: 小初学者 时间: 2007-5-14 23:40
标题: [原创]回复:ct8227:左肺上叶占位????
首先考虑左上肺周围型肺癌可能性大,但肺内炎症(肺脓肿形成前期)有待排除

作者: cwzgc 时间: 2007-5-15 00:00
左肺上叶癌
作者: zhanghua2086 时间: 2007-5-15 00:25
作个活检
作者: 余辉 时间: 2007-5-15 01:21
左上肺周围型肺癌可能性大
第八幅图像,典型毛刺,像日本鬼子的膏药军旗一样,一看就不是个好东西
作者: ailuanfei 时间: 2007-5-15 01:32
左上肺周围型肺癌可能性大
作者: nmh999 时间: 2007-5-15 01:39
左上肺周围型肺癌可能性大,不排除单纯感染性病变.
作者: 同 时间: 2007-5-15 03:03
左上肺周围型肺癌可能性大
作者: xuesheng007 时间: 2007-5-15 03:14
左上肺周围型肺癌
作者: 求知若渴 时间: 2007-5-15 06:27
左上肺周围型肺癌
作者: jw-830 时间: 2007-5-15 06:39
考虑左肺上叶周围型肺癌可能
作者: 拾荒者 时间: 2007-5-15 06:52
左肺上叶肿块,肺窗周围有“晕征”,纵隔窗有毛刺,临床资料???只能考虑占位???
作者: 天南地北 时间: 2007-5-15 08:53
左上肺周围型肺癌可能性大
作者: jinning 时间: 2007-5-15 16:57
左上肺周围型肺癌
作者: 235211 时间: 2007-5-15 21:20
病史?1.首先考虑左肺上叶占位(ca可能);
2.继发型肺tb?
3.单纯感染不除外。
作者: hcz 时间: 2007-5-16 01:31
1.首先考虑左肺上叶占位(ca可能);
2.继发型肺tb?
3.单纯感染不除外。
作者: 青莲居士 时间: 2007-5-16 03:46
左上肺周围型肺癌可能性大
作者: 汪涛同志 时间: 2007-5-16 08:36
好像和8248是同一个人的病例吧??呵呵,8248大家都认为是感染,现在又都认为是肺癌,图像小了一点,诊断结果就差别这么大。
作者: 心愿 时间: 2007-5-16 17:55
考虑左肺上叶周围型肺癌可能性大.
作者: hcz 时间: 2007-5-16 21:40
左上肺周围型肺癌可能性大,楼主片子太小
作者: yscao 时间: 2007-9-13 06:57
病灶分明小多多了
| 欢迎光临 医影在线 (http://bbs.radida.com/bbs/) |
Powered by Discuz! X3.2 |