








以下是引用千里草在2007-5-14 15:54:00的发言:[br]考虑:1、双侧梗阻性脑积水;[br] 2、右侧基底节区缺血性脑血管疾病。
以下是引用ssmmxx在2007-5-14 18:05:00的发言:[br]颞极后方—右丘脑区占位性病变,如室管膜瘤等2脑血管疾病如moyamoya,局部脑血管畸形等
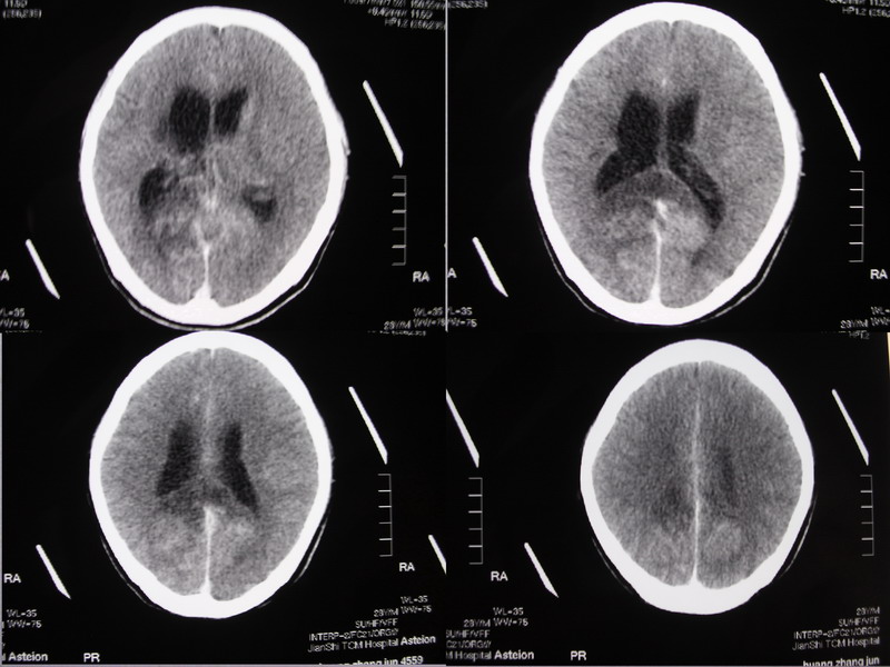
以下是引用qiuleiyu在2007-5-14 18:43:00的发言:[br]支持;1,交通性脑积水(病脑后遗征?)2,右基底节及胼骶体压部低密度灶伴轻度占位表现,结合年龄考虑moyamoya,建议dsa.[br]
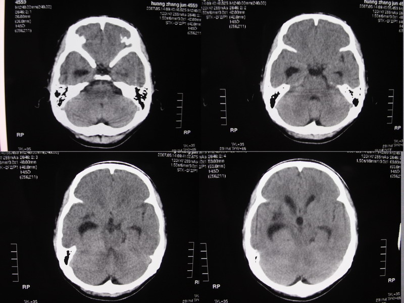
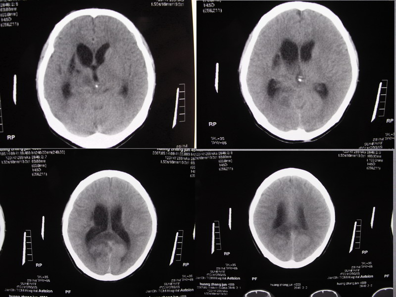
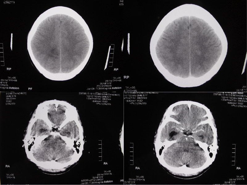
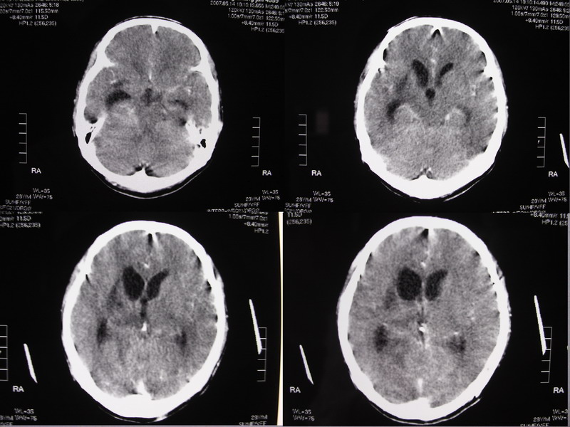
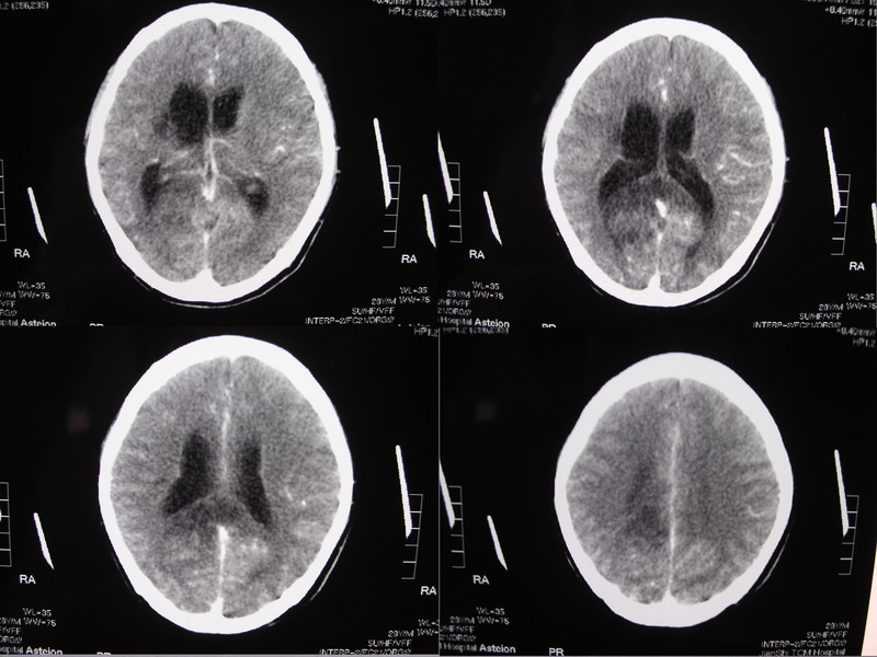
以下是引用余辉在2007-5-14 17:03:00的发言:[br]右侧脑室颞极后方可见高密度块状影,颞极呈杯口状推挤前移,右侧大脑脚及丘脑上部受推挤向对侧移位,右丘脑区结构紊乱,增强扫描病灶有不规则强化,以下部颞极后方为著。胼胝体压部及右枕叶视辐射区低密度改变,右基底节区低密度改变,双侧脑室不对称积水征象,意见:1颞极后方—右丘脑区占位性病变,如室管膜瘤等2脑血管疾病如moyamoya,局部脑血管畸形等3脑膜炎等后遗改变,建议mr及脑血管造影检查[br][br][本贴已被 余辉 于 2007-5-14 17:05:26 修改过]
| 欢迎光临 医影在线 (http://bbs.radida.com/bbs/) | Powered by Discuz! X3.2 |