医影在线

标题: MRI0985:胸椎.68岁男性,胸部疼痛, [打印本页]

作者: 丝路花雨    时间: 2007-5-15 02:09
标题: MRI0985:胸椎.68岁男性,胸部疼痛,
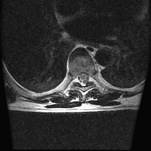
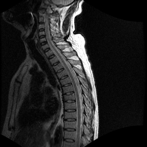
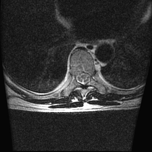
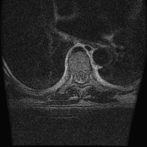
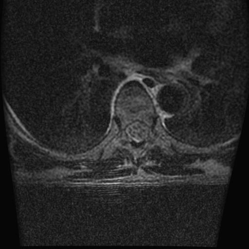
68岁男性,胸部疼痛,不适。

























[本贴已被 jiajie 于 2007-5-18 9:57:41 修改过]

作者: 卜一    时间: 2007-5-15 05:21
t7椎体前1/3信号略减低,椎体上下面凹陷,相应脊髓几周边软组织信号未见改变。考虑:椎体退变。
作者: 龙在野    时间: 2007-5-15 06:16
陈旧性压缩性骨折
作者: qiuleiyu    时间: 2007-5-15 06:16
胸7椎体楔状变形及信号异常,附件未见明显异常信号.椎间隙正常.未见软组织块影.考虑骨质疏松所致压缩性骨折可能大.
作者: jiangjing    时间: 2007-5-15 06:48
胸7椎体楔状变形及信号异常[t1t2 均为低信号],附件未见明显异常信号.椎间隙正常.未见软组织块影.考虑陈旧性压缩性骨折伴退变。
作者: zyx168    时间: 2007-5-15 06:59
考虑陈旧性压缩性骨折伴退变。
作者: 晓杰    时间: 2007-5-15 20:49
胸7椎体楔状变形及信号异常[t1t2 均为低信号],附件未见明显异常信号.椎间隙正常.未见软组织块影.考虑陈旧性压缩性骨折伴退变。
支持
作者: 李晓阳    时间: 2007-5-16 03:45
旧性压缩性骨折伴退变。
作者: sn4187189    时间: 2007-5-18 00:46
首先需除外单发成骨性转移瘤可能。
作者: 一个人    时间: 2007-5-18 06:04
考虑陈旧性压缩性骨折伴退变。
作者: zyx168    时间: 2008-3-16 07:35
转移瘤也不能排除




欢迎光临 医影在线 (http://bbs.radida.com/bbs/) Powered by Discuz! X3.2