






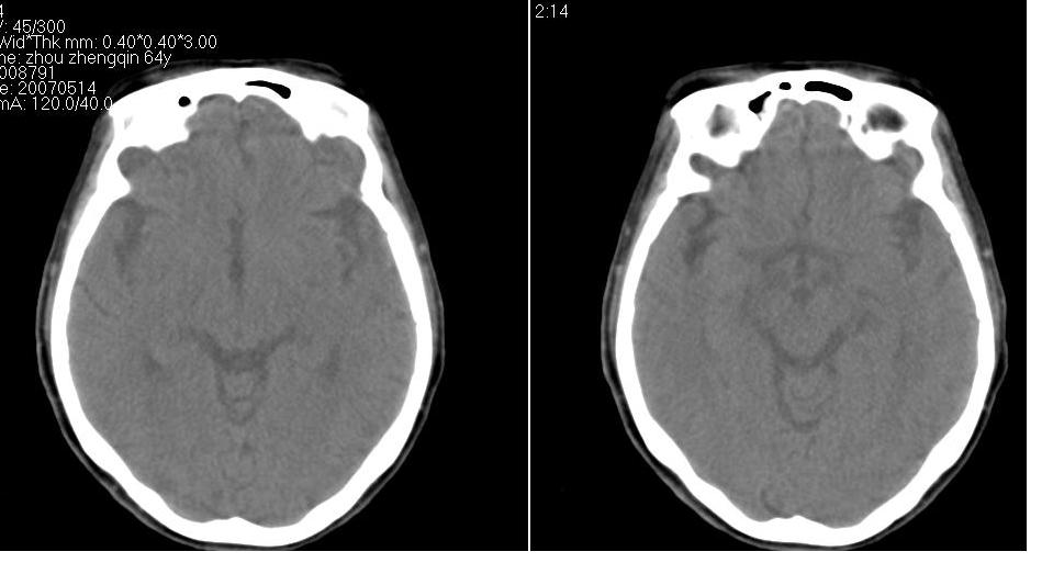
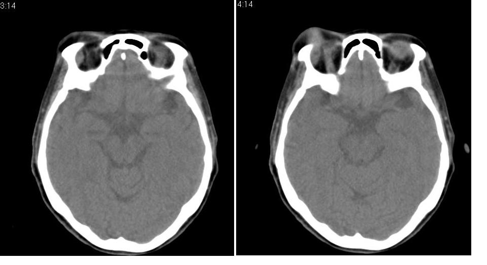
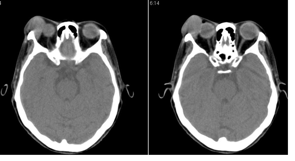
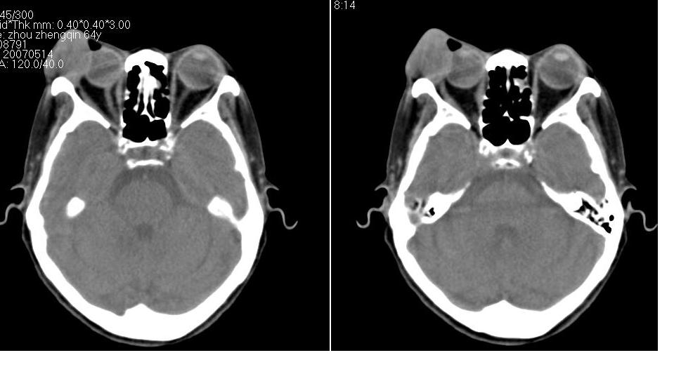
以下是引用zhw974247在2007-5-14 19:34:00的发言:[br]泪腺肿瘤在眶原发性肿瘤中发病率最高,而泪腺混合瘤又是其中最常见者,有良性及恶性二种。良性泪腺混合瘤多见于中年人,病程长,来源于泪腺管或腺泡,也可以起源于副泪腺及先天性胚胎组织残留(泪腺原基)。恶性泪腺混合瘤缺少或无完整的包膜,肿块与眶缘发生粘连,粘连部眶缘有压痛。瘤组织除有良性泪腺混合瘤的结构外,还有癌变的组织构成。瘤组织向眶内浸润,破坏骨质,可发生全身转移,严重者向颅内转移,危及生命。[br]
| 欢迎光临 医影在线 (http://bbs.radida.com/bbs/) | Powered by Discuz! X3.2 |