医影在线

标题: X2233:胸椎结核是否活动? [打印本页]

作者: zxczxc    时间: 2007-5-15 05:05
标题: X2233:胸椎结核是否活动?
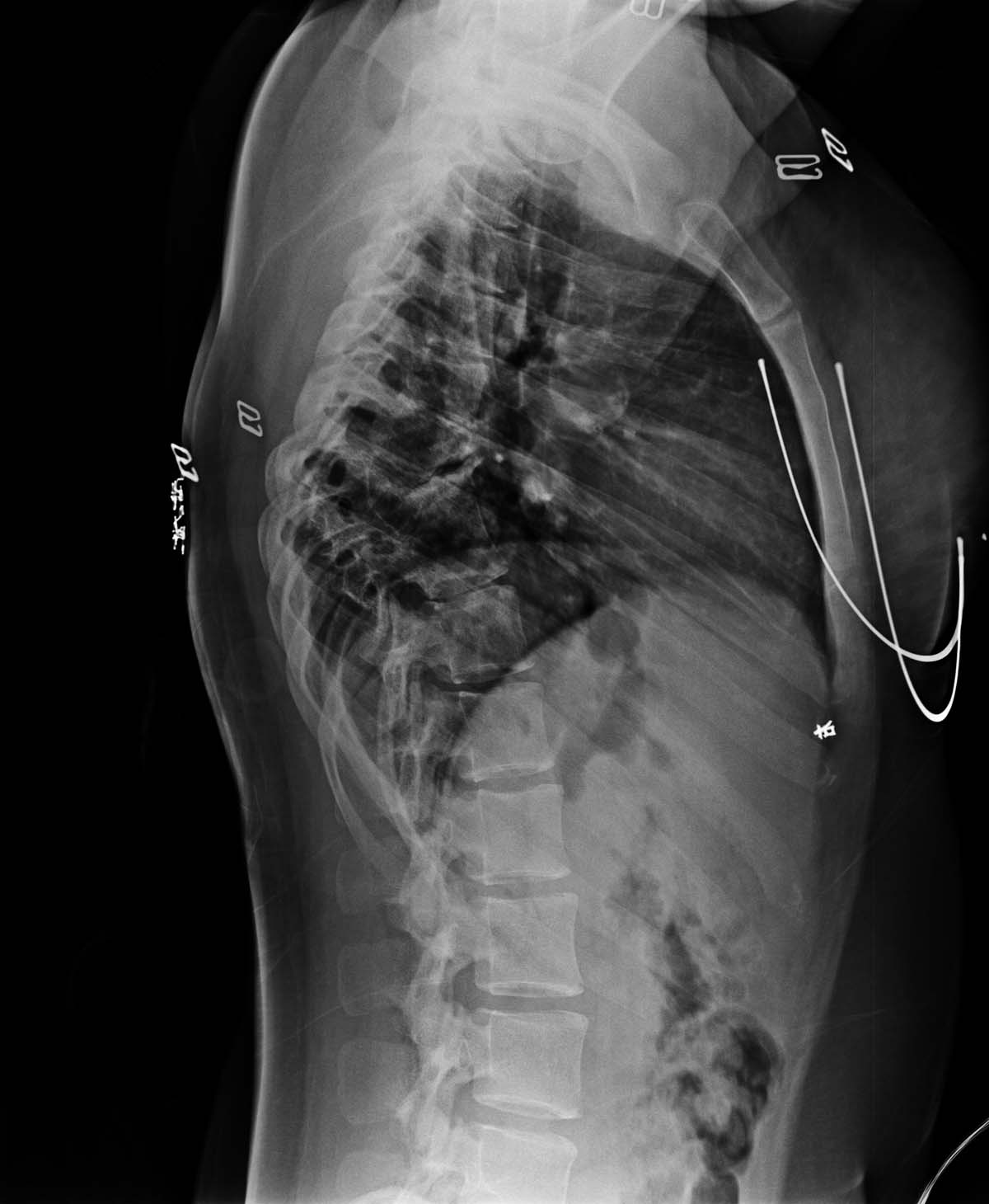
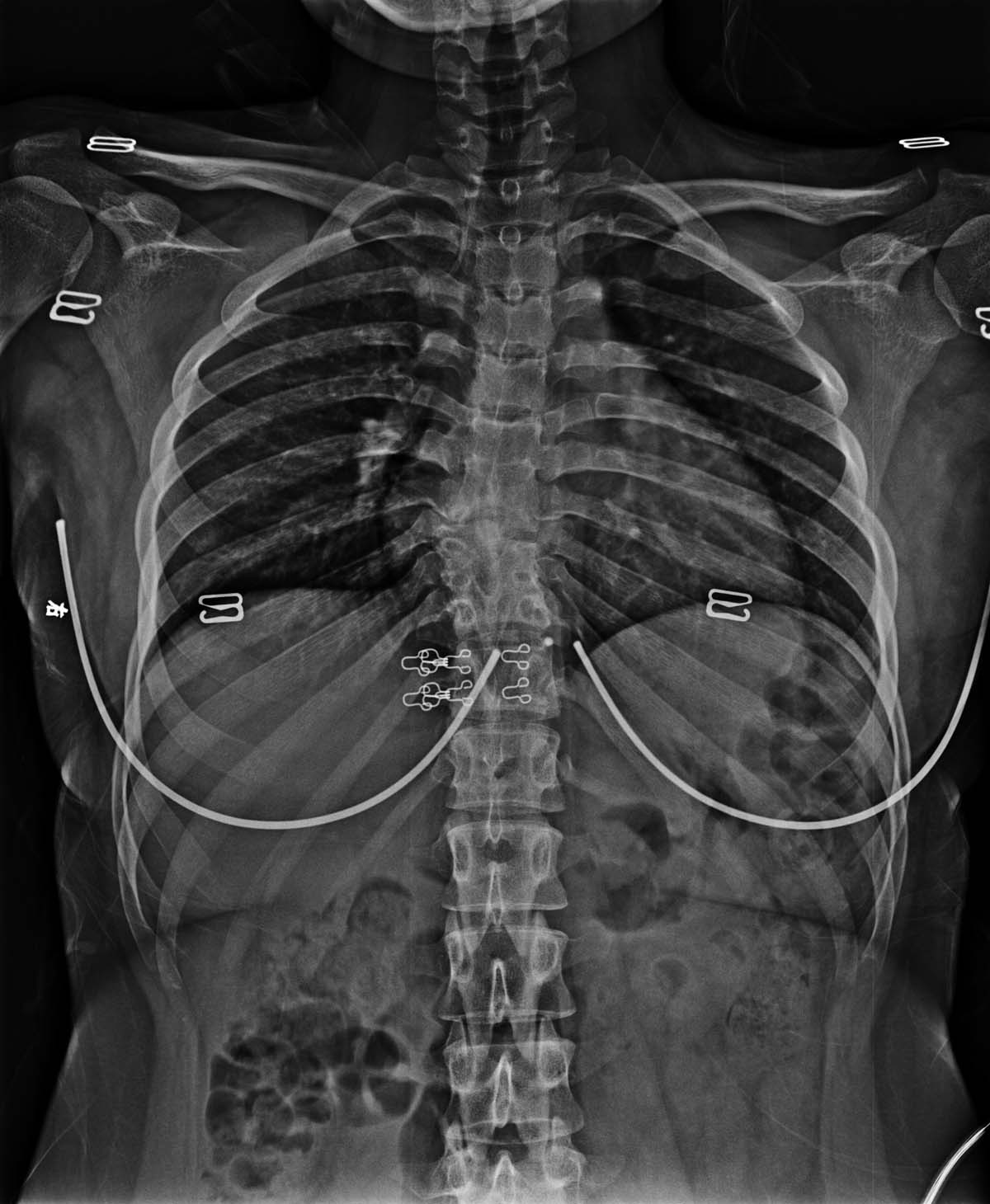
女,19岁,2岁时胸椎结核,无手术,服药后愈合。具体不详。现背部痛。胸椎结核是否活动?




[本贴已被 jiajie 于 2008-2-29 16:11:01 修改过]

作者: zyx168    时间: 2007-5-15 07:32
建议ct或mri
作者: 天南地北    时间: 2007-5-15 08:35
x光片提供资料不是很多
支持:建议ct或mr
作者: jinguoji    时间: 2007-5-15 19:10
x光片提供资料不是很多,建议ct.
作者: jinning    时间: 2007-5-15 19:55
建议ct或mri
作者: hcz    时间: 2007-5-15 20:37
x光片提供资料不是很多,建议ct
作者: ZHANGZHONGSHOU    时间: 2007-5-15 20:52
标题: 回复:x2233:胸椎结核是否活动?
以下是引用zyx168在2007-5-14 23:32:00的发言:[br]建议ct或mri

确实平片提供的信息太少,不好说病变是否稳定。
作者: zhangxiangjun    时间: 2007-5-15 22:31
不好说.建议ct或mri.
作者: 眼睛    时间: 2007-5-15 23:16
支持大家
作者: wy232326    时间: 2007-5-16 05:07
x光片提供资料不是很多,建议ct.
作者: heidaoren    时间: 2007-5-16 23:29
x光片提供资料不是很多,建议ct.
作者: hcz    时间: 2007-5-17 18:14
x光片提供资料不是很多,建议ct.
作者: zxczxc    时间: 2007-5-17 22:57
谢谢各位。
作者: 吴文利    时间: 2007-5-18 21:22
x光片提供资料不是很多
支持:建议ct或mr
作者: zhangkening    时间: 2007-5-20 05:20
如果在陈旧结核内复发很难下诊断。
作者: hulei666    时间: 2008-12-23 03:08
不好看!
作者: 987654zwf    时间: 2008-12-23 03:15
x光片提供资料不是很多
支持:建议ct或mr
作者: ljj88    时间: 2008-12-23 18:44
建议ct或mri
作者: 杏林古木    时间: 2008-12-25 03:09
看血沉是否快。
作者: 153916826hua    时间: 2008-12-25 07:53
建议ct或mri
作者: yuhongjun    时间: 2008-12-26 14:56
x光片提供资料不是很多
支持:建议ct或mr
作者: shibing    时间: 2014-5-3 14:01
建议ct.




欢迎光临 医影在线 (http://bbs.radida.com/bbs/) Powered by Discuz! X3.2