






























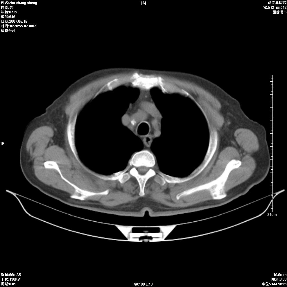
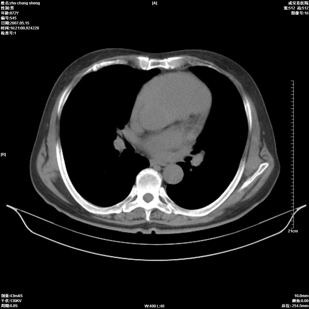
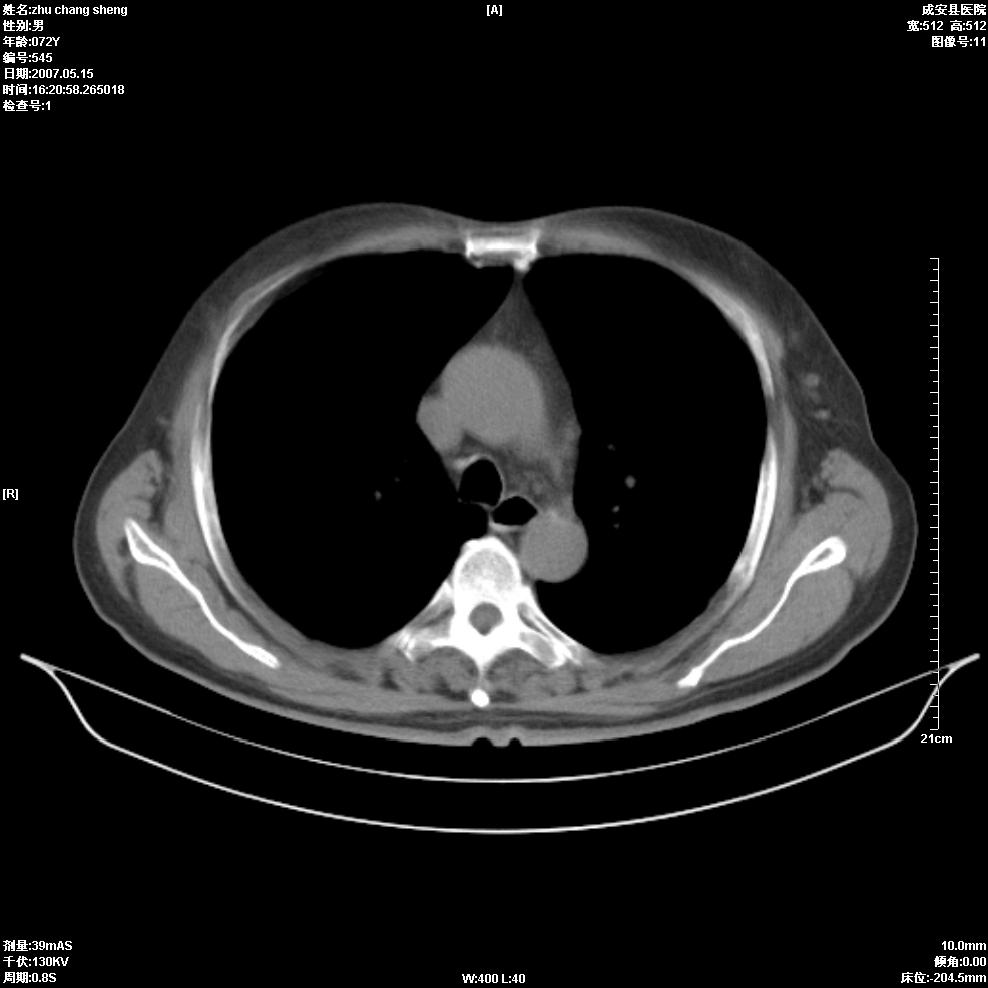
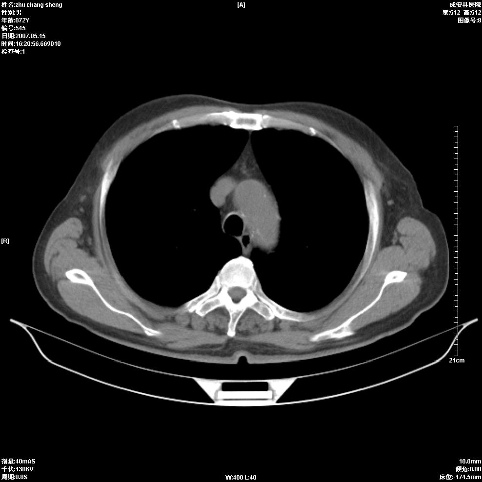
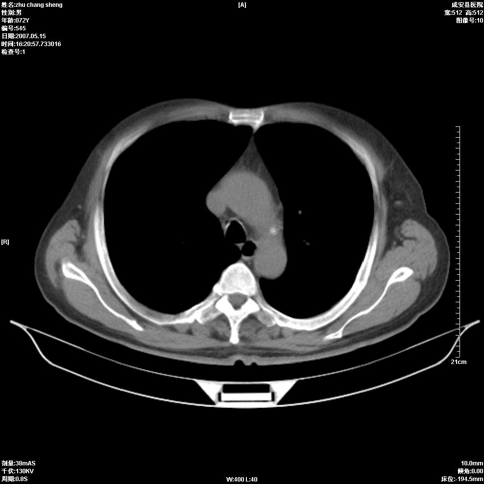
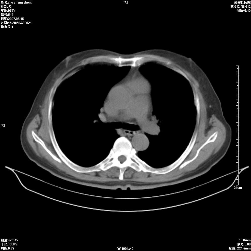
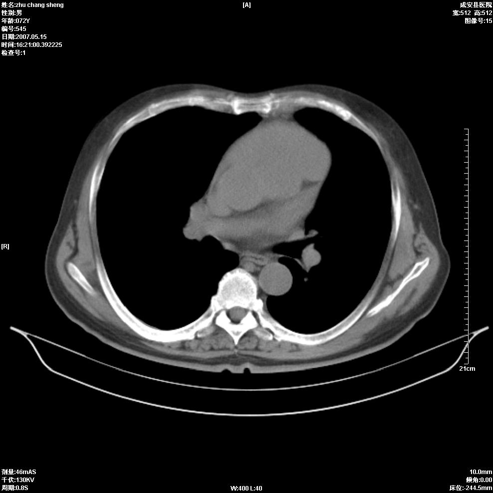
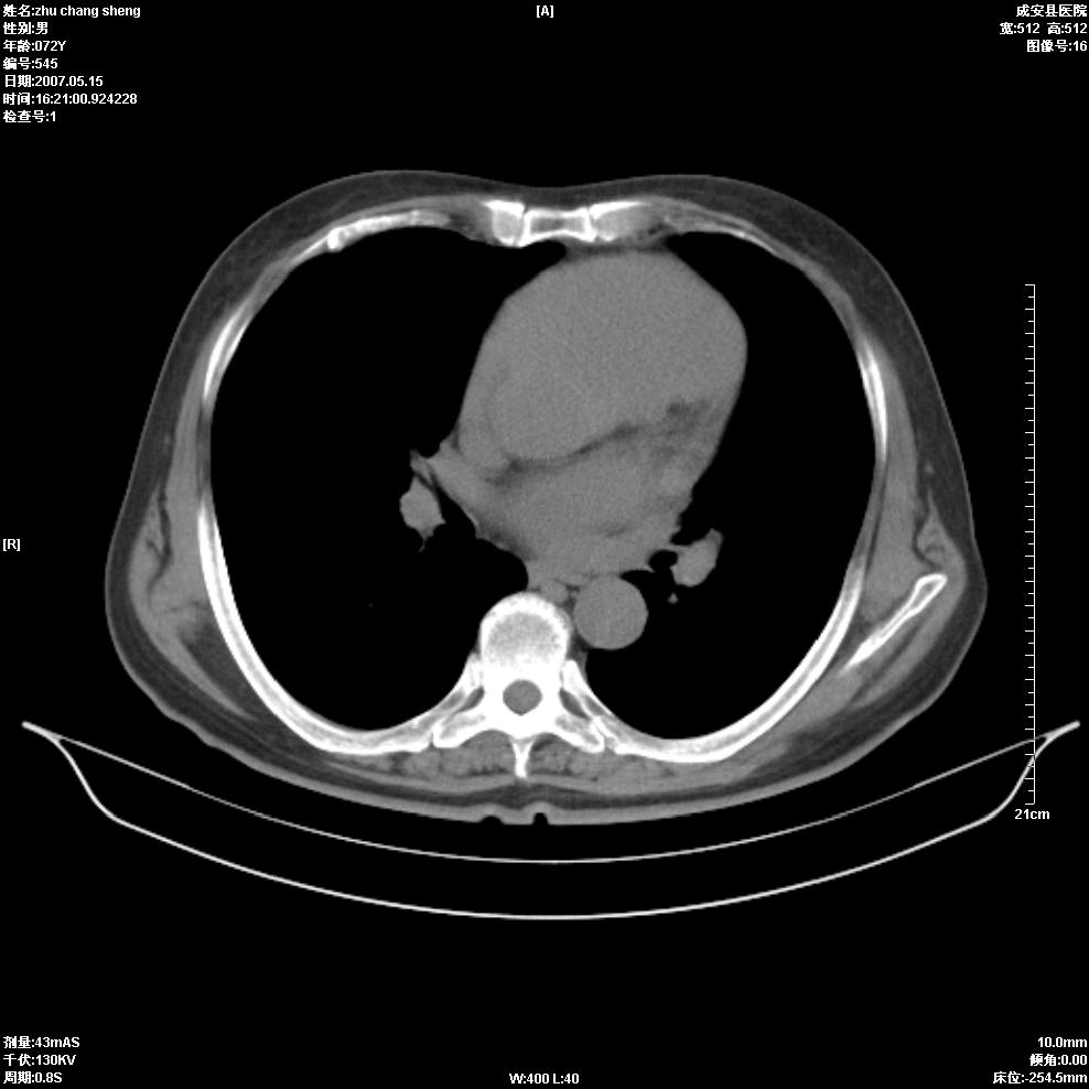
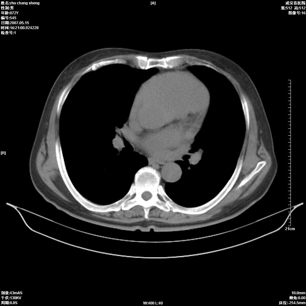
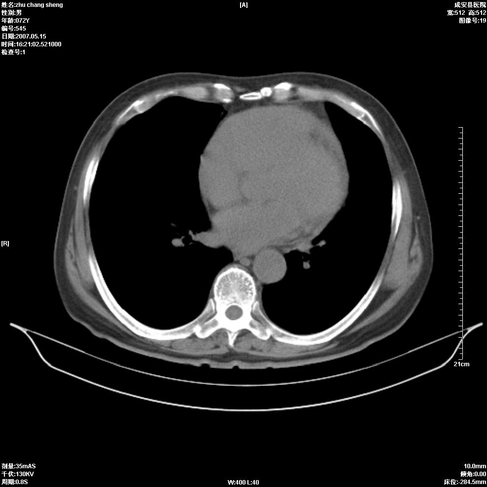
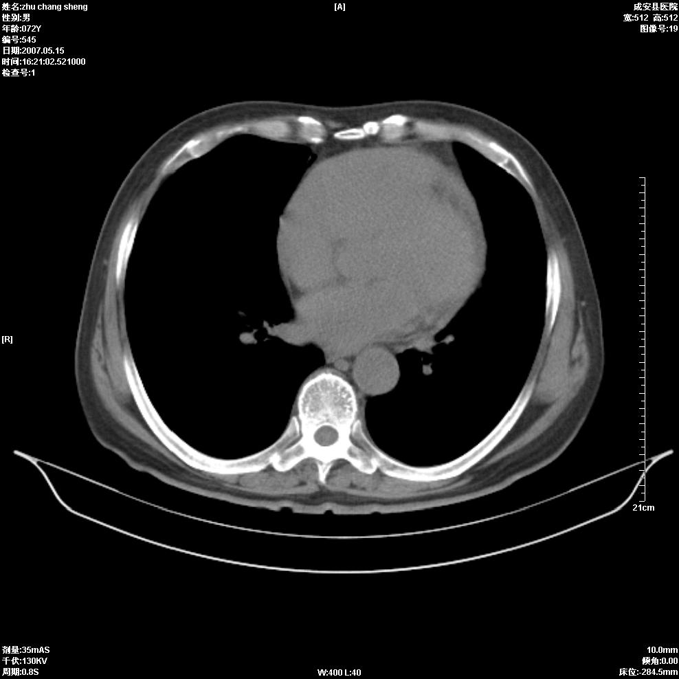
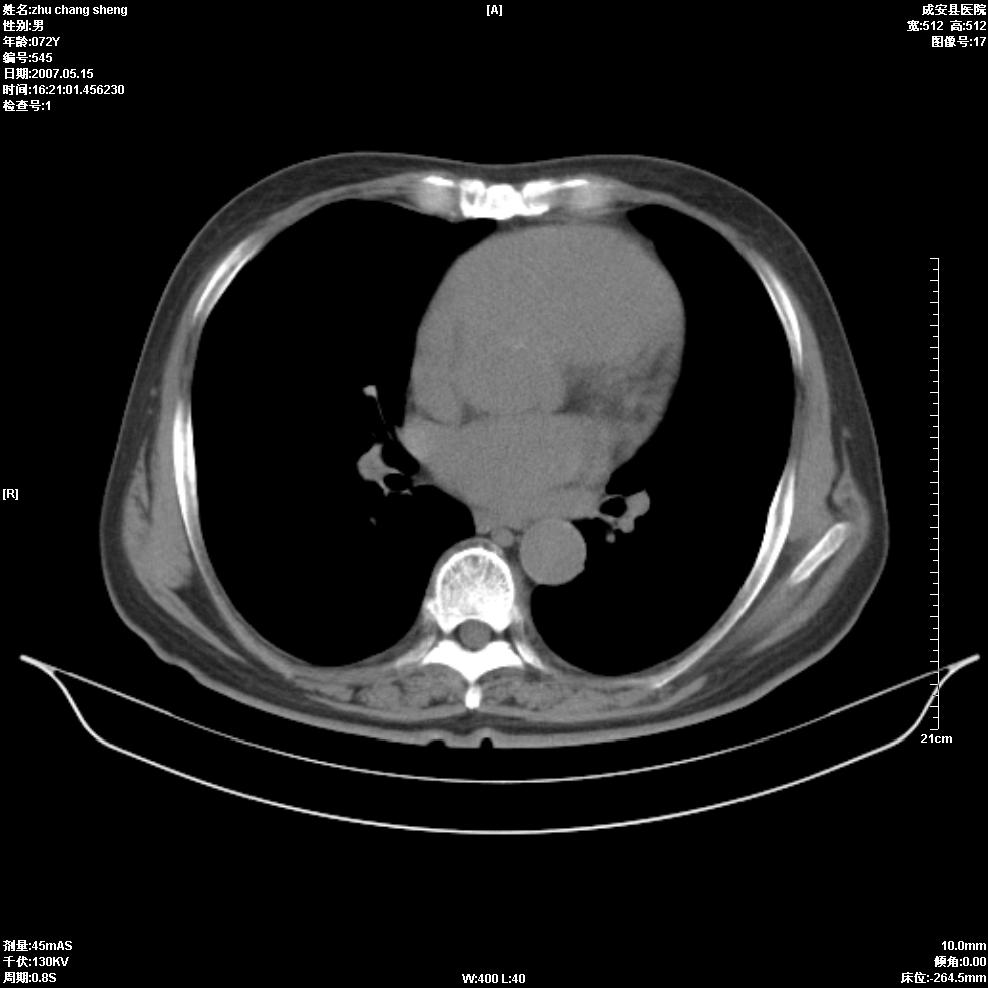
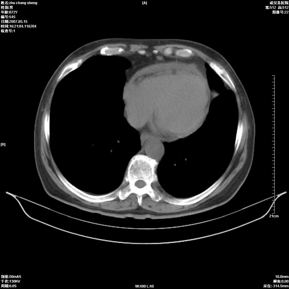
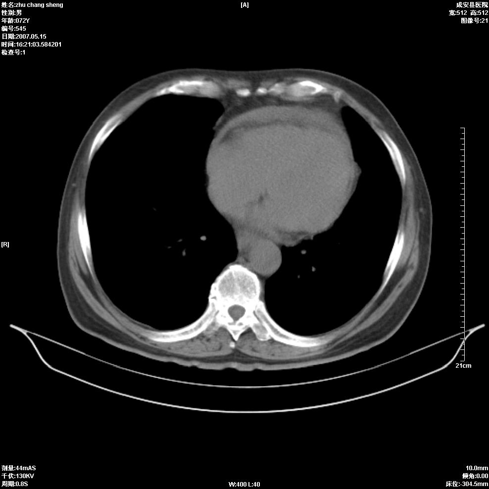
以下是引用医博云天在2007-5-15 19:10:00的发言:[br]心包积液,胸腔积液,心影增大,左心为主。
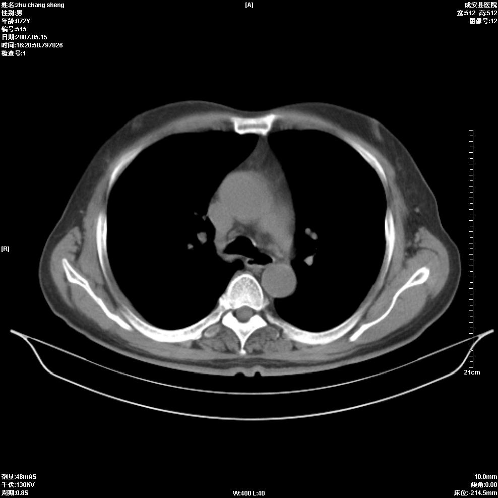
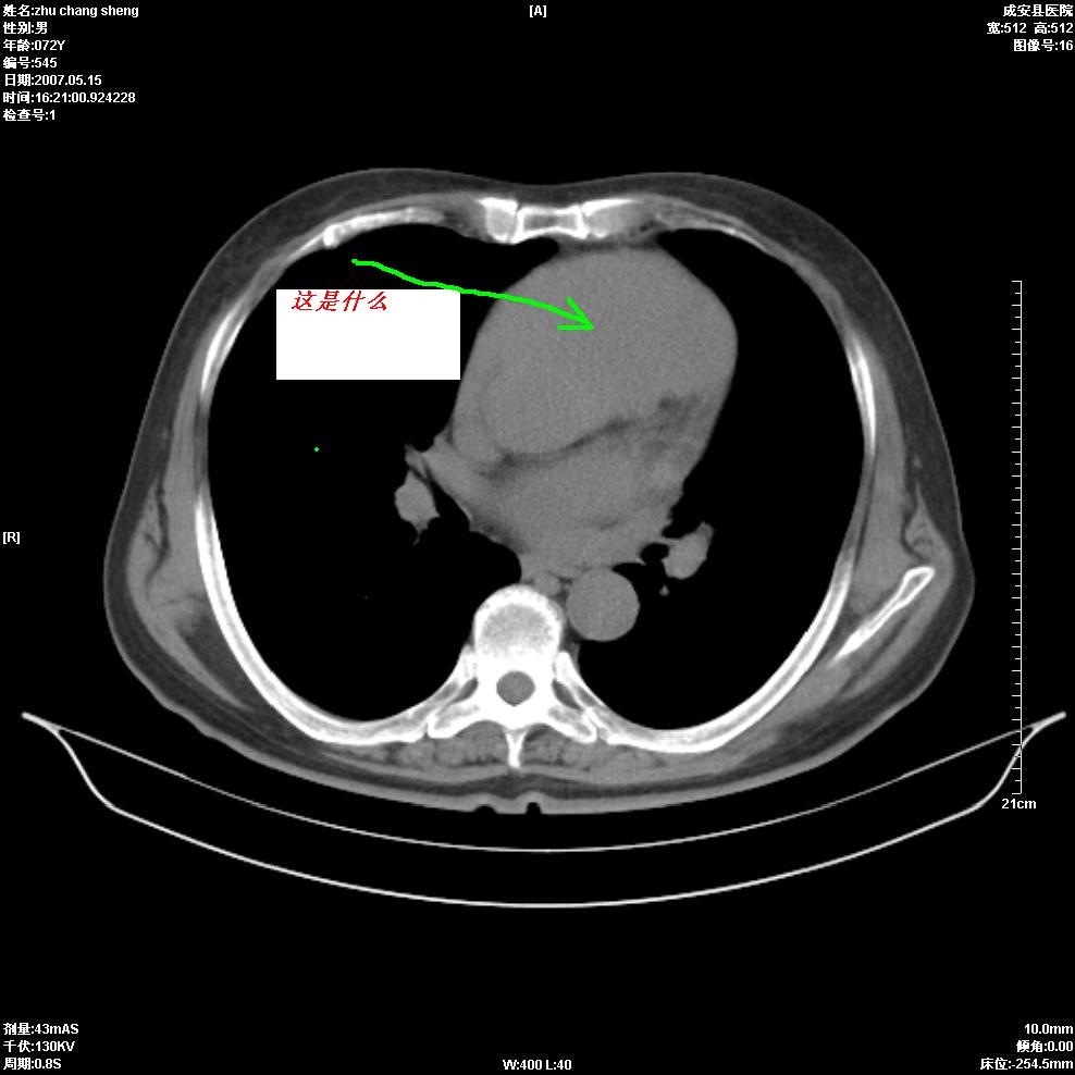
以下是引用zhangzhongshou在2007-5-15 20:21:00的发言:[br]心包积液可以肯定有,肿块显示不清,建议增强或mri检查。
以下是引用jinning在2007-5-15 21:06:00的发言:[br]心包积液可以肯定,建议增强或mri检查吧!
以下是引用拾荒者在2007-5-15 22:28:00的发言:[br]心包膜增厚,有少量积液,右室前壁示均匀软组织密度影,边界欠清,建议增强扫描或mri检查与室壁瘤鉴别。
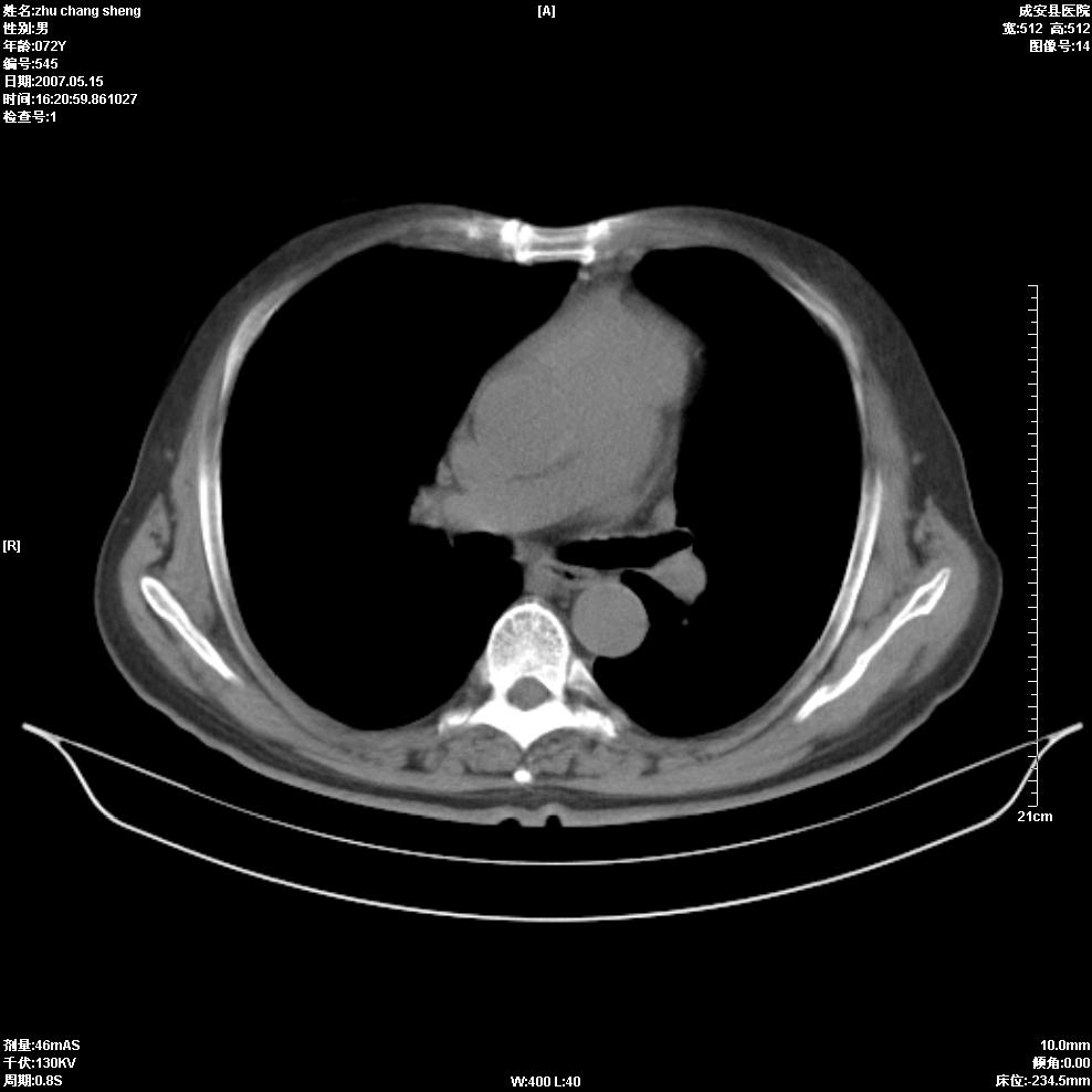
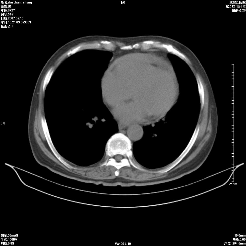
以下是引用还珠格格在2007-5-19 9:50:00的发言:[br]病人与5月18日 做了核磁增强扫描 确诊为前上纵隔侵袭性胸腺瘤。
以下是引用还珠格格在2007-5-19 9:50:00的发言:[br]病人与5月18日 做了核磁增强扫描 确诊为前上纵隔侵袭性胸腺瘤。
| 欢迎光临 医影在线 (http://bbs.radida.com/bbs/) | Powered by Discuz! X3.2 |