医影在线
标题: CT8247:男 63岁 右大腿无痛性肿块11年 [打印本页]
作者: yangzongshan 时间: 2007-5-16 03:23
标题: CT8247:男 63岁 右大腿无痛性肿块11年
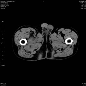
男 63岁 右大腿无痛性肿块11年,x片右大腿软组织肿块影,余无明显异常.ct值-13__239hu



















[本贴已被 yangzongshan 于 2007-5-15 19:25:38 修改过]
[本贴已被 jiajie 于 2007-5-15 19:35:35 修改过]
作者: dlwcz 时间: 2007-5-16 03:58
滑膜肉瘤
作者: ZHANGZHONGSHOU 时间: 2007-5-16 04:18
右股部良性软组织肿瘤,难做进一步分型。
作者: xulianj 时间: 2007-5-16 04:31
肉瘤可能,建议作进一步检查,如活检等。
作者: 同 时间: 2007-5-16 04:49
考虑良性软组织肿瘤。
作者: jinning 时间: 2007-5-16 05:02
肉瘤可能,
作者: 念羊经 时间: 2007-5-16 05:11
考虑良性软组织肿瘤
作者: liaizhi 时间: 2007-5-16 05:13
建义穿刺检查,增强扫描
作者: 朱亮 时间: 2007-5-16 05:16
血管瘤
作者: 北方的狼 时间: 2007-5-16 05:17
可能是海棉壮血管瘤。建议增强
作者: 天南地北 时间: 2007-5-16 06:23
脂肪肉瘤?建议穿刺。
期待结果
作者: 汪涛同志 时间: 2007-5-16 06:38
“无痛性肿块11年”考虑为良性肿物,血管瘤和畸胎瘤可能性大,鉴别诊断:结核脓肿。
作者: 悟空 时间: 2007-5-16 06:59
良性肿瘤考虑,纤维瘤?神经鞘瘤?建议mri
作者: yanliang 时间: 2007-5-16 07:13
考虑良性肿瘤
作者: 医土 时间: 2007-5-16 07:18
软组织肿瘤,考虑1血管瘤
2脂肪瘤
作者: 郭凯 时间: 2007-5-16 08:32
考虑起源于滑膜的肿瘤
作者: wwyz 时间: 2007-5-16 08:51
右股部良性软组织肿瘤,考虑1 畸胎瘤 2 肌纤维瘤
作者: LLXXLL 时间: 2007-5-16 14:31
良性肿瘤
作者: zzzzhhhhaaaannn 时间: 2007-5-16 16:56
像是一例脂肪瘤
作者: 心愿 时间: 2007-5-16 17:40
考虑良性软组织肿瘤。
作者: qiuleiyu 时间: 2007-5-16 20:09
右大腿股内侧股与收肌间隙间多发囊实性占位,界清.内示斑点状钙化.局部骨质无异常.肌肉推压移位表现.
考虑肌间隙病变.可有1,神经来源肿瘤.2,血管来源病变.3,淋巴来源肿瘤.4,脂肪来源肿瘤.5,滑膜来源肿瘤.结合病史只能考虑良性占位.建议增强或mri进一步分析.
作者: hcz 时间: 2007-5-16 20:16
建义穿刺检查,增强扫描
作者: 拾荒者 时间: 2007-5-16 21:05
标题: 回复:ct8247:男 63岁 右大腿无痛性肿块11年
以下是引用qiuleiyu在2007-5-16 12:09:00的发言:[br]右大腿股内侧股与收肌间隙间多发囊实性占位,界清.内示斑点状钙化.局部骨质无异常.肌肉推压移位表现.[br]考虑肌间隙病变.可有1,神经来源肿瘤.2,血管来源病变.3,淋巴来源肿瘤.4,脂肪来源肿瘤.5,滑膜来源肿瘤.结合病史只能考虑良性占位.建议增强或mri进一步分析.
同意,病史较长,病变周围分界清晰,考虑良性病变。病灶内有多发斑点状钙化,沿肌间隙生长,血管瘤或淋巴管瘤首先考虑。
| 欢迎光临 医影在线 (http://bbs.radida.com/bbs/) |
Powered by Discuz! X3.2 |