















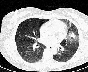
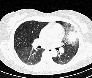
以下是引用汪涛同志在2007-5-15 21:54:00的发言:[br]左肺舌叶病变,周围渗出明显,病灶面积肺窗和纵隔窗有较大反差,同一叶前后病灶可见类似影像改变,后一病灶可见“直边征”考虑为渗出感染性病变,建议严格抗炎治疗后短期复查。
以下是引用汪涛同志在2007-5-15 21:54:00的发言:[br]左肺舌叶病变,周围渗出明显,病灶面积肺窗和纵隔窗有较大反差,同一叶前后病灶可见类似影像改变,后一病灶可见“直边征”考虑为渗出感染性病变,建议严格抗炎治疗后短期复查。
| 欢迎光临 医影在线 (http://bbs.radida.com/bbs/) | Powered by Discuz! X3.2 |