医影在线

标题: CT8248B:女45岁,三天后复查,经支气管镜注药,会不会是肺 [打印本页]

作者: YY1979    时间: 2007-5-16 05:43
标题: CT8248B:女45岁,三天后复查,经支气管镜注药,会不会是肺








[本贴已被 jiajie 于 2007-5-15 23:29:07 修改过]

作者: YY1979    时间: 2007-5-16 05:45
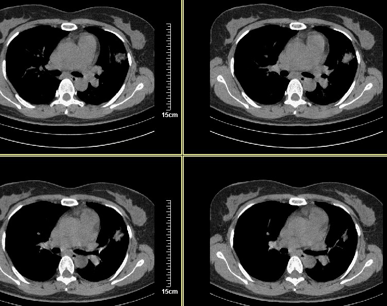
帮看看,
作者: wanbo2004    时间: 2007-5-16 05:55
应该能确定是恶性病变,三天前周围出现的淡薄景应该是肺泡内积血
作者: 朱亮    时间: 2007-5-16 05:57
注的什莫药,吸收这麽快,应考虑炎症
作者: xiaoniu    时间: 2007-5-16 06:28
病变在三天之内消散,只能考虑是:过敏性肺炎。
作者: 天南地北    时间: 2007-5-16 06:31
3天后复查:病变明显好转、吸收:考虑炎症可能性大
作者: lnhsdm    时间: 2007-5-16 06:52
支持炎症诊断
作者: 水蜜桃1    时间: 2007-5-16 06:58
炎症可能性大,不过也不能除外恶性可能,
作者: luoyanmin    时间: 2007-5-16 06:59
支持炎症
作者: 郭凯    时间: 2007-5-16 08:22
标题: 回复:ct8248b:女45岁,三天后复查,经支气管镜注药,会不
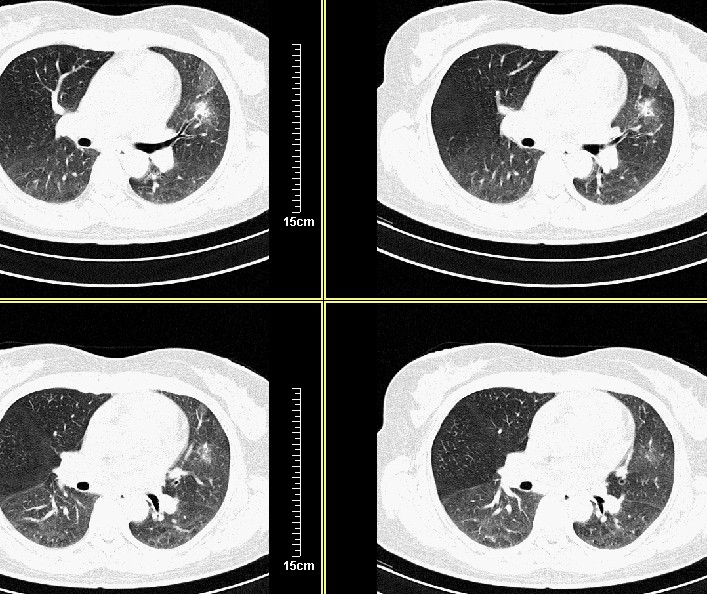
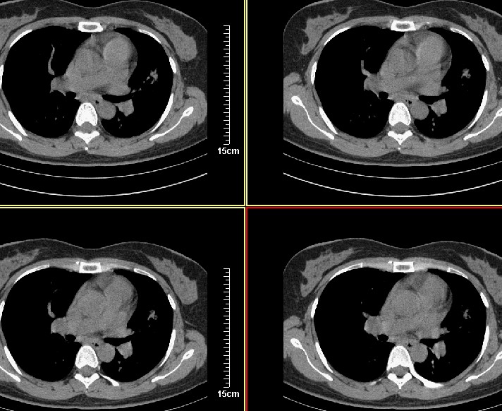
支气管注药后3天后复查:病变明显好转、吸收:考虑炎症可能性大.
作者: YY1979    时间: 2007-5-16 15:16
请继续关注这张片子,我会把复查的发上去
作者: jw-830    时间: 2007-5-16 16:43
考虑炎性病变
作者: 红樱枪    时间: 2007-5-16 16:50
支持炎症
作者: 小剑    时间: 2007-5-16 17:07
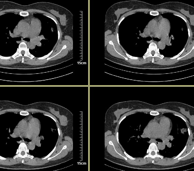
三天前什么样
作者: 心愿    时间: 2007-5-16 17:23
炎症可能性大,不过也不能除外恶性可能,
作者: jiangjing    时间: 2007-5-16 20:03
3天后复查:病变明显好转、吸收:考虑炎症可能性大.肿瘤待排
作者: 拾荒者    时间: 2007-5-16 21:14
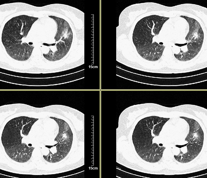
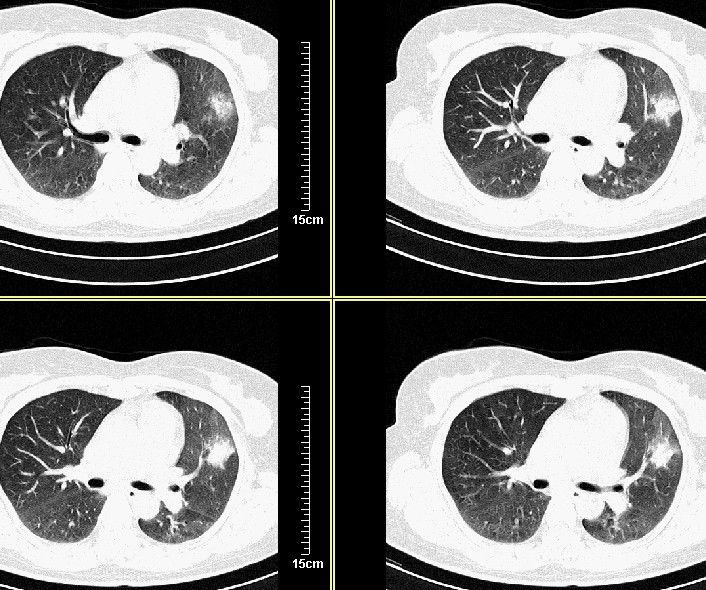
才三天的时间,病灶明显吸收,还是支持炎症,可继续治疗复查。
作者: jinning    时间: 2007-5-17 01:53
建议继续抗炎后复查
作者: zhanghua2086    时间: 2007-5-17 04:29
能不能说说当时灌注的都是什么药吗? 不过从现在的片子看 还是考虑肿瘤    并肺门淋巴结转移
作者: shenhs    时间: 2007-5-17 04:37
考虑炎症可能性大.
作者: 龙在野    时间: 2007-5-17 05:31
病变密度高实变率高不能排除肺癌
作者: 狙击手    时间: 2007-5-17 06:16
病灶似乎呈片样,密度不均匀,3天后复查:病变明显好转、吸收:考虑炎症可能性大 。
作者: yangzongshan    时间: 2007-5-17 16:39
气管注药后3天后复查:病变明显好转、吸收:考虑炎症可能性大,肺癌待排!
作者: ailuanfei    时间: 2007-5-17 17:16
才三天的时间,病灶明显吸收,还是支持炎症,可继续治疗复查。




欢迎光临 医影在线 (http://bbs.radida.com/bbs/) Powered by Discuz! X3.2