








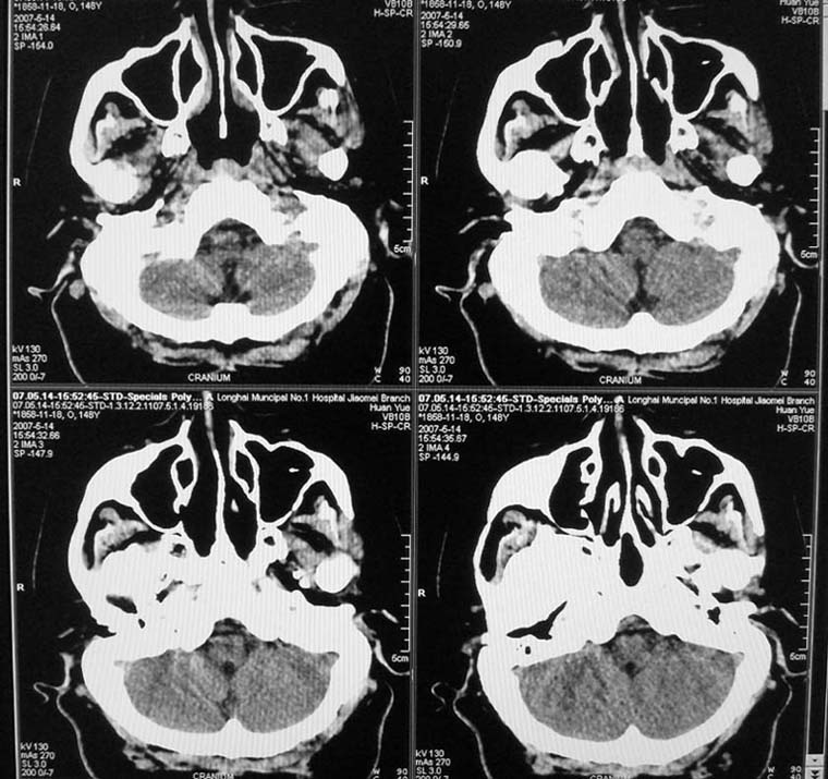
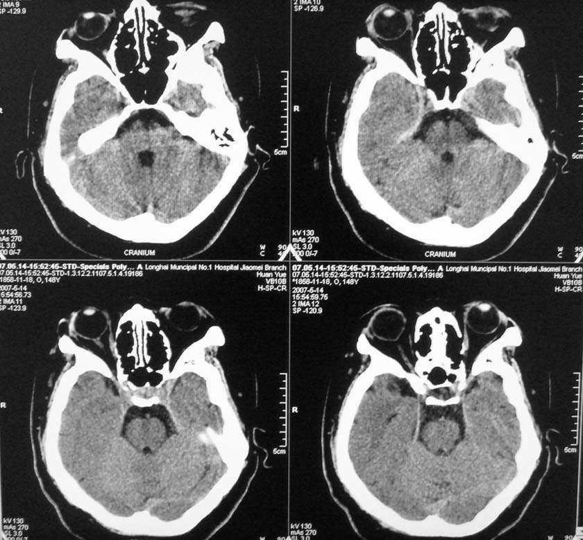
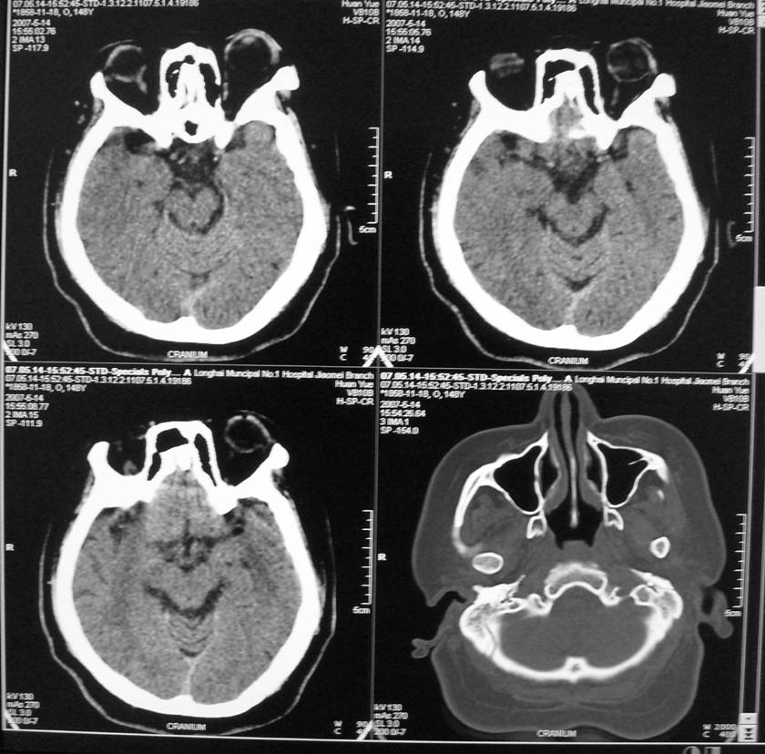
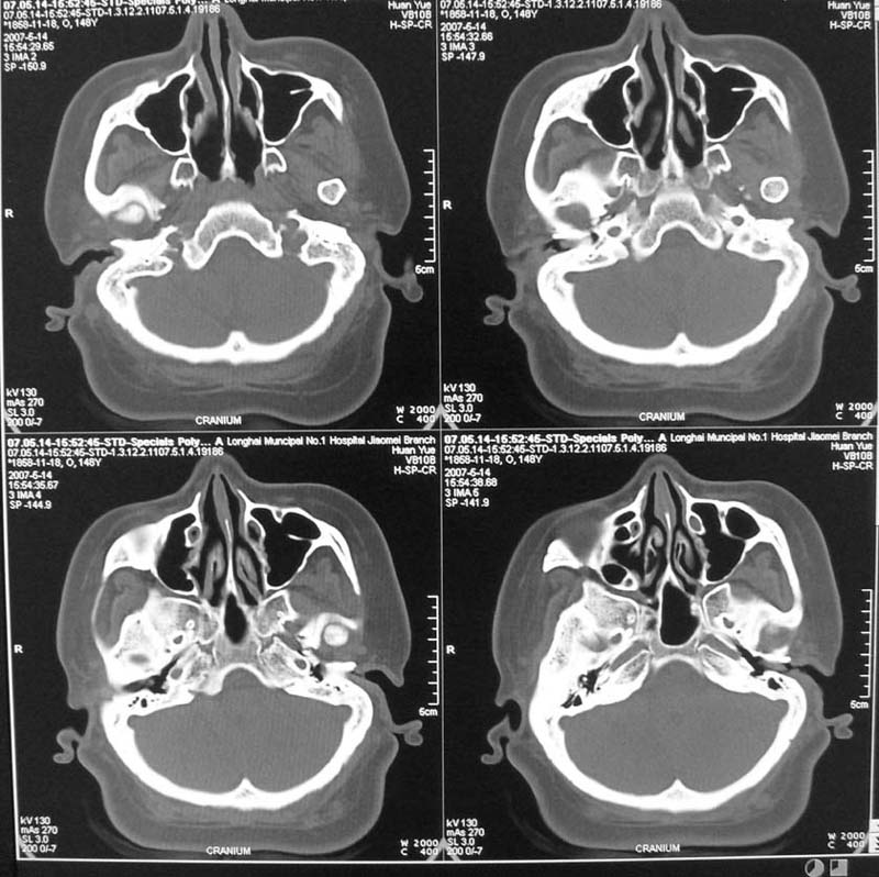
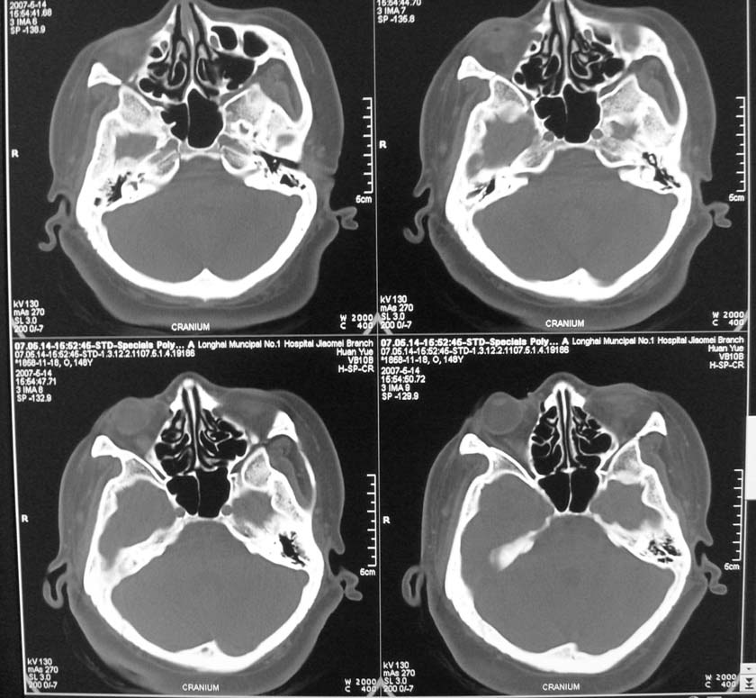
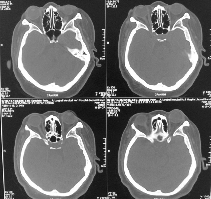
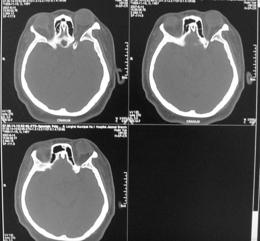
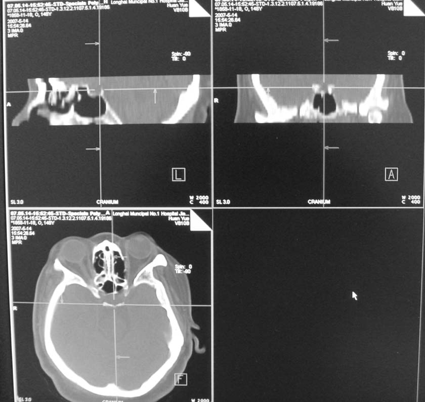
以下是引用天南地北在2007-5-15 23:30:00的发言:[br]看不出来什么[br]建议冠面增强扫描,或mri检查
以下是引用郭凯在2007-5-16 0:17:00的发言:[br]看不到,如果临床支持的话还是做mri看一下吧,对垂体微腺瘤比较敏感.[br]ct上看不到不能乱报.
以下是引用jiangjing在2007-5-16 11:06:00的发言:[br]看不出来什么[br]建议冠面增强扫描,或mri检查
以下是引用天南地北在2007-5-15 23:30:00的发言:[br]看不出来什么[br]建议冠面增强扫描,或mri检查
| 欢迎光临 医影在线 (http://bbs.radida.com/bbs/) | Powered by Discuz! X3.2 |