







以下是引用余辉在2007-5-16 18:09:00的发言:[br]我一直有个困惑,在我所了解的范围内,对椎管狭窄的诊断依据一直是来源于对骨性椎管矢状径的测量,但在日常工作中,常会遇到如本例的情况:由于椎间盘的突出及黄韧带的肥厚而导致的的明显的椎管狭窄。但由于在我所知范围内实在找不出对此的诊断依据,竟然又不敢下这个诊断。不知对于实性椎管的测量倒底是怎样规定的,望老师们不吝赐教,多谢
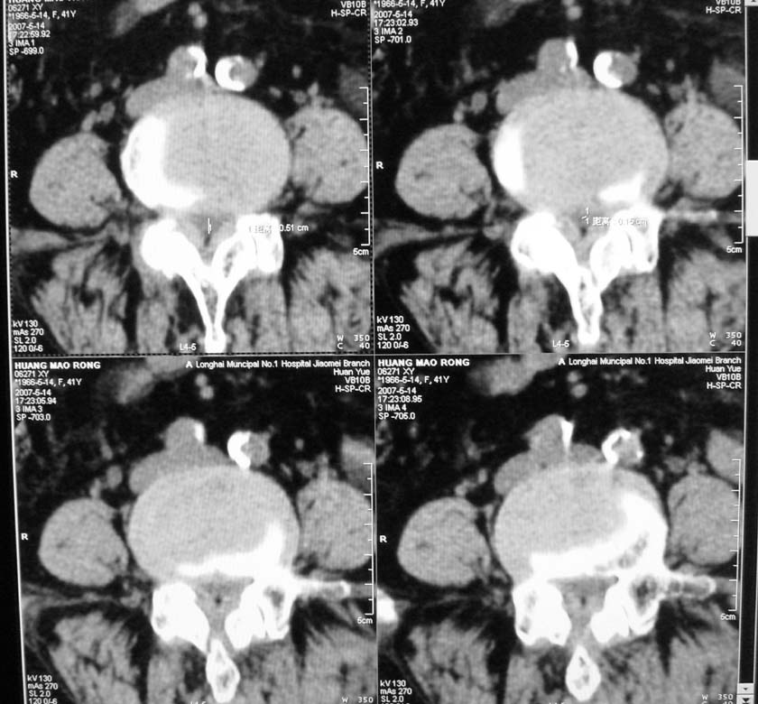
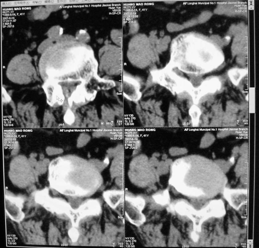
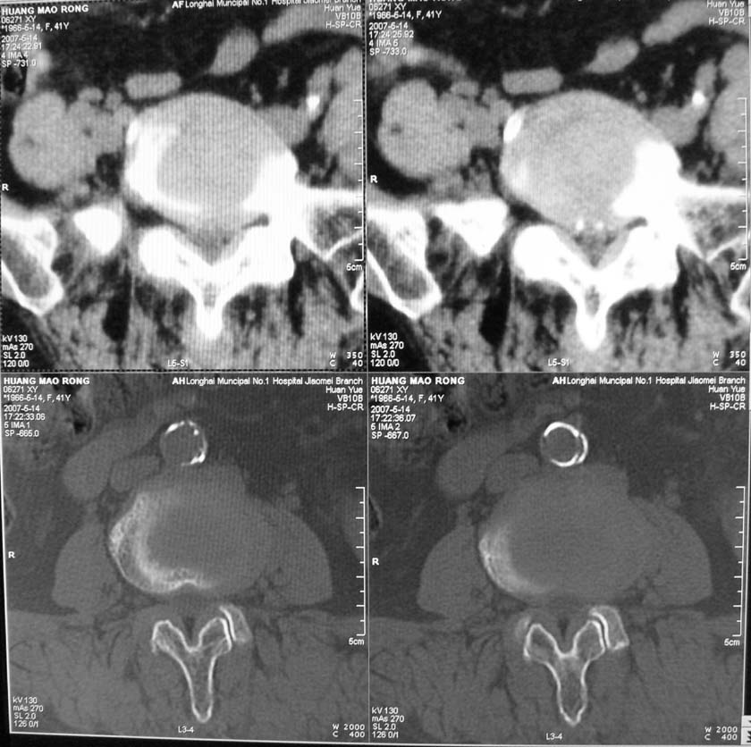
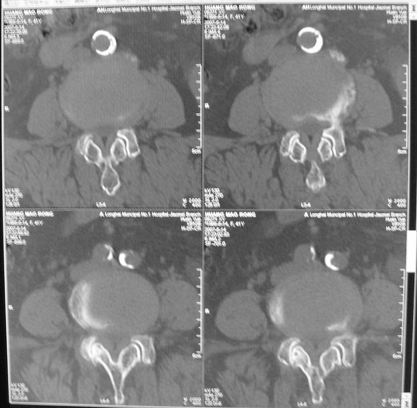
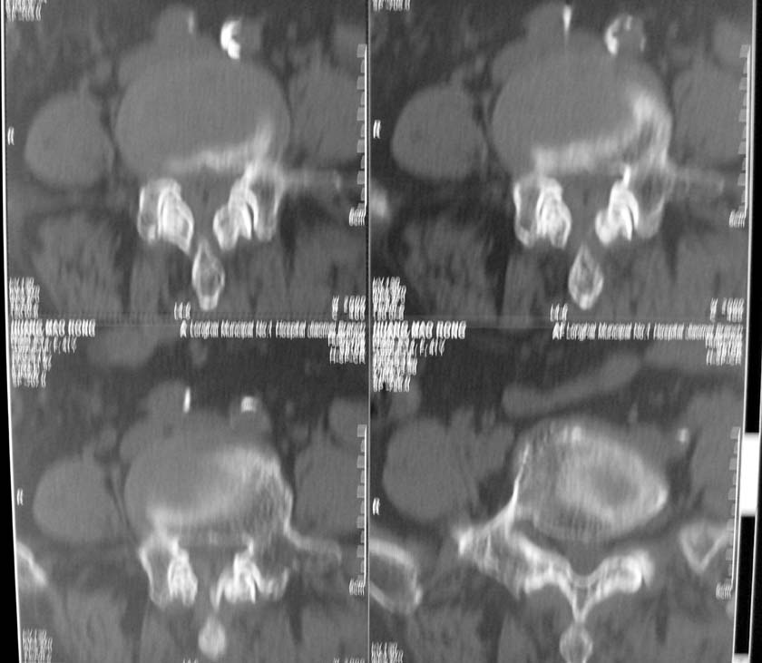
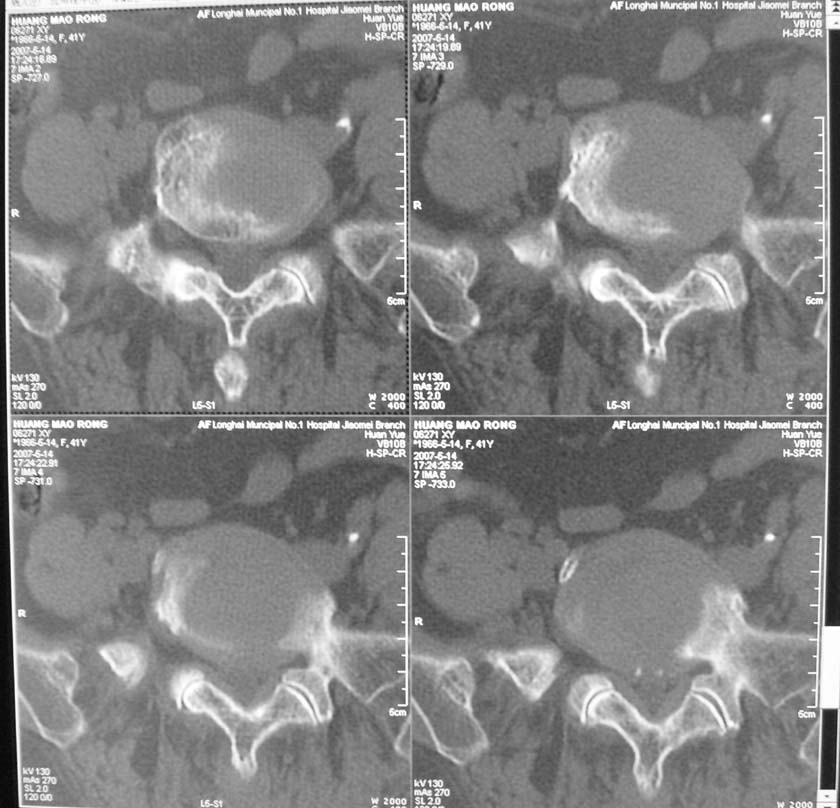
以下是引用jiangjing在2007-5-16 11:05:00的发言:[br]zhichi [br]ct所见:[br]l4-5椎间盘膨出,双侧黄韧带增厚,致使对应椎管变窄,硬膜囊受压.[br][br]l5-s1椎间盘后突,其后硬膜囊受压.l3-4椎间盘未见突出征象.[br]诸椎体边缘及对应椎小关节突骨质增生.腰椎生理曲度正常.[br]腹主动脉壁广泛钙化.[br]印象:[br]1、l4-5椎间盘膨出并双侧黄韧带肥厚及椎管狭窄。[br]2、l5-s1椎间盘突出。[br]3、腰椎及椎小关节退变。
| 欢迎光临 医影在线 (http://bbs.radida.com/bbs/) | Powered by Discuz! X3.2 |