







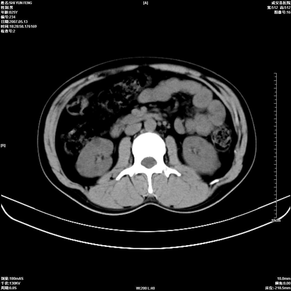
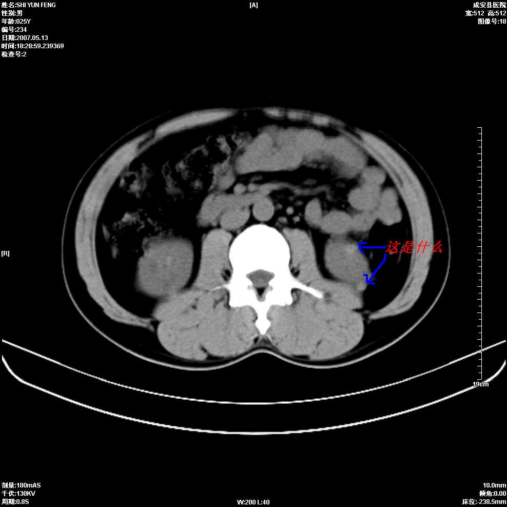
以下是引用zhangzhongshou在2007-5-16 7:36:00的发言:[br]多发性肾囊肿,不是多囊肾,楼主箭头所指多考虑左肾囊肿内结石或钙乳,髓质海绵肾不完全除外。
以下是引用zhangzhongshou在2007-5-16 7:36:00的发言:[br]多发性肾囊肿,做甚多发结石。不是多囊肾,楼主箭头所指多考虑左肾囊肿内结石或钙乳,髓质海绵肾不完全除外。[br][br][本贴已被 zhangzhongshou 于 2007-5-16 7:37:18 修改过]
以下是引用zhangzhongshou在2007-5-16 7:36:00的发言:[br]多发性肾囊肿,做甚多发结石。不是多囊肾,楼主箭头所指多考虑左肾囊肿内结石或钙乳,髓质海绵肾不完全除外。[br][br][本贴已被 zhangzhongshou 于 2007-5-16 7:37:18 修改过]
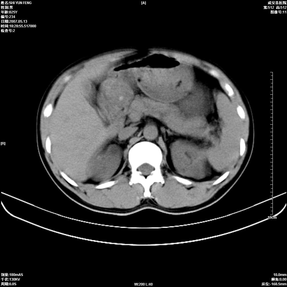
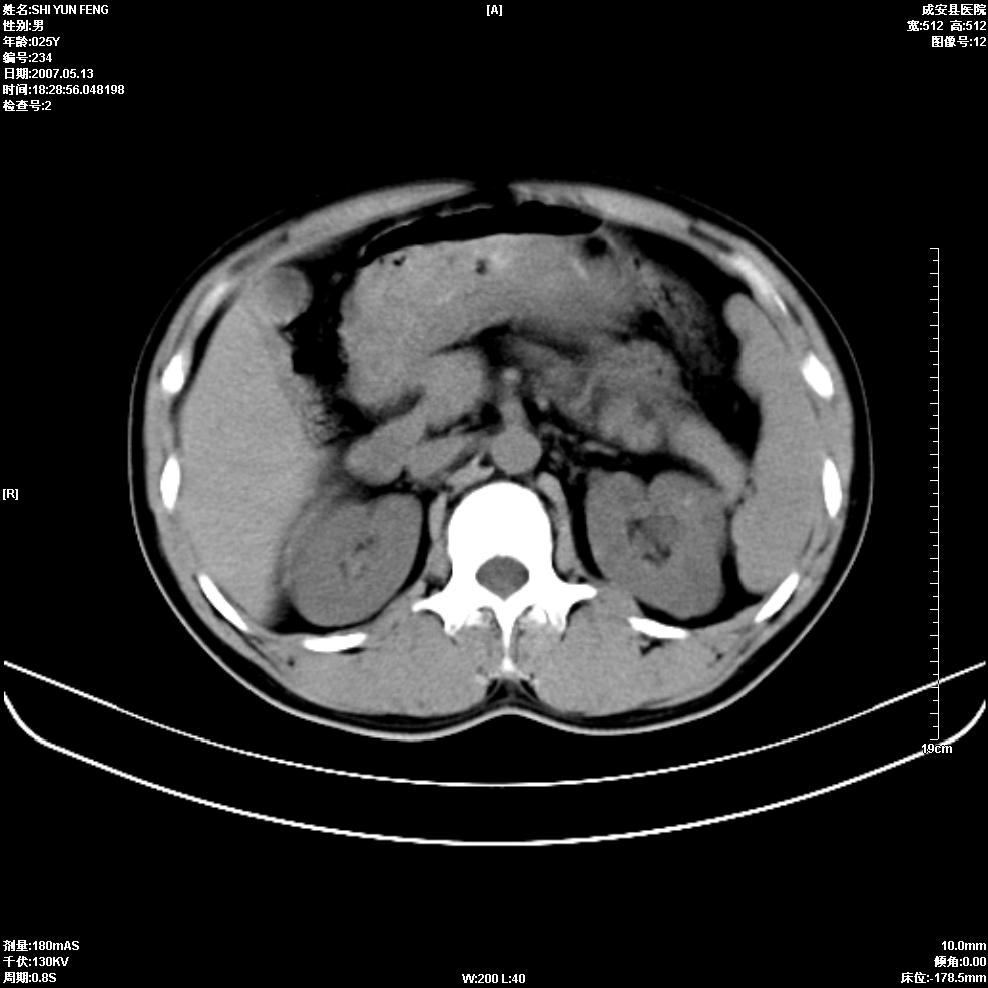
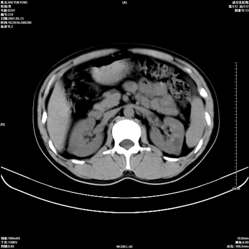
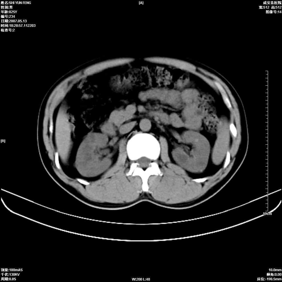
以下是引用zhangzhongshou在2007-5-16 7:36:00的发言:[br]多发性肾囊肿,左肾多发结石。不是多囊肾,楼主箭头所指多考虑左肾囊肿内结石或钙乳,髓质海绵肾不完全除外。[br][br][本贴已被 zhangzhongshou 于 2007-5-16 7:37:18 修改过][br][br][本贴已被 zhangzhongshou 于 2007-5-16 18:15:09 修改过]
| 欢迎光临 医影在线 (http://bbs.radida.com/bbs/) | Powered by Discuz! X3.2 |