






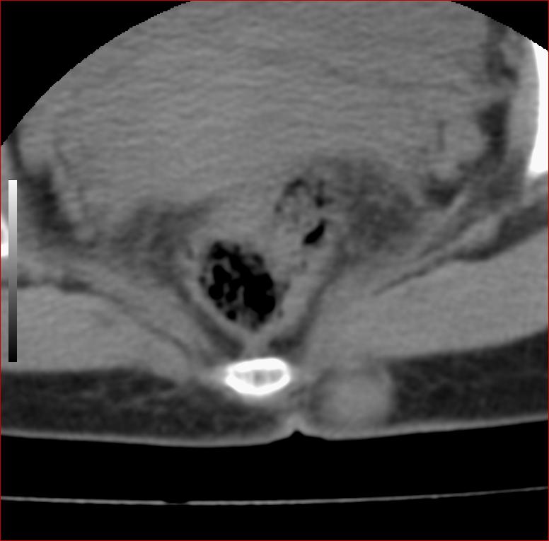
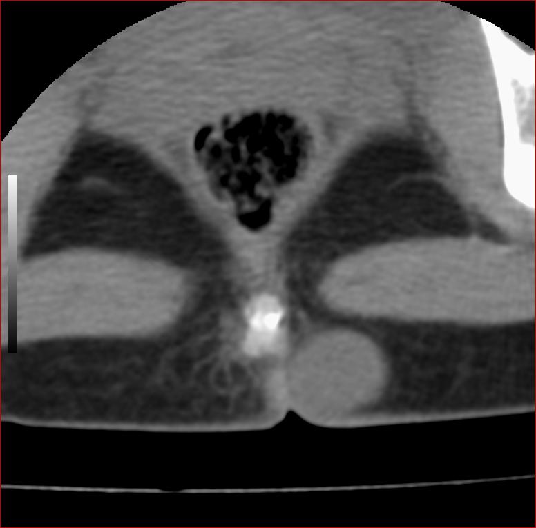
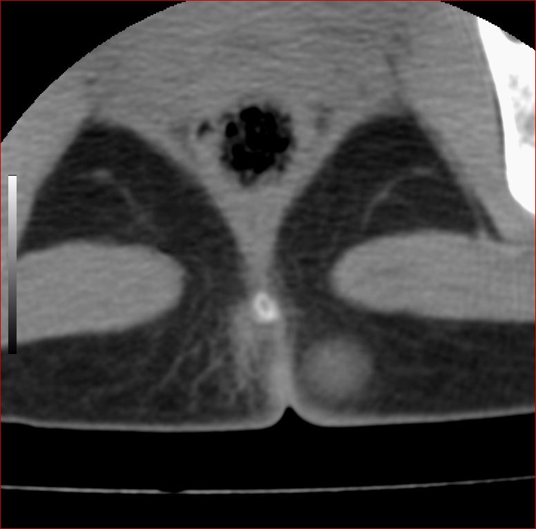
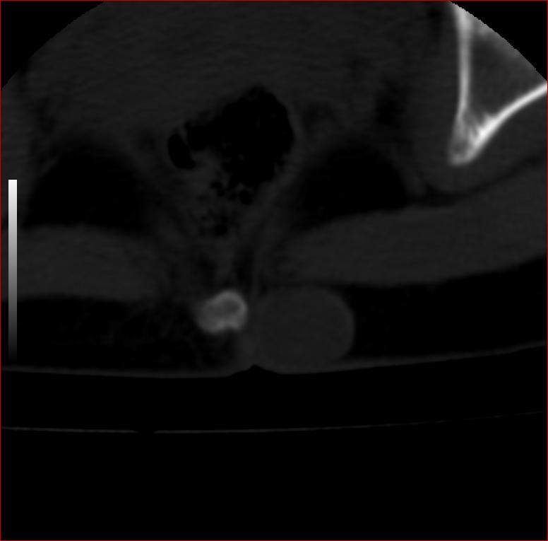
以下是引用13081830109在2007-5-16 18:51:00的发言:[br]良性病变[br]1.皮下皮脂腺囊肿[br]2.纤维瘤[br] 手术切掉就可以了
以下是引用zhangzhongshou在2007-5-16 18:21:00的发言:[br]皮下囊肿可能性大
以下是引用一个人在2007-5-16 20:35:00的发言:[br]1.皮下皮脂腺囊肿[br]2.纤维瘤[br]
以下是引用13081830109在2007-5-16 18:51:00的发言:[br]良性病变[br]1.皮下皮脂腺囊肿[br]2.纤维瘤[br] 手术切掉就可以了
以下是引用xulianj在2007-5-16 22:03:00的发言:[br]1皮下皮脂腺囊肿[br]2纤维瘤[br]3还需要除外发育畸形,如脊膜膨出。
以下是引用13081830109在2007-5-16 18:51:00的发言:[br]良性病变[br]1.皮下皮脂腺囊肿[br]2.纤维瘤[br] 手术切掉就可以了
| 欢迎光临 医影在线 (http://bbs.radida.com/bbs/) | Powered by Discuz! X3.2 |