医影在线

标题: CT8265:男性 50肺结核9年,咳嗽,胸痛一周 [打印本页]

作者: 网事随风    时间: 2007-5-17 02:47
标题: CT8265:男性 50肺结核9年,咳嗽,胸痛一周
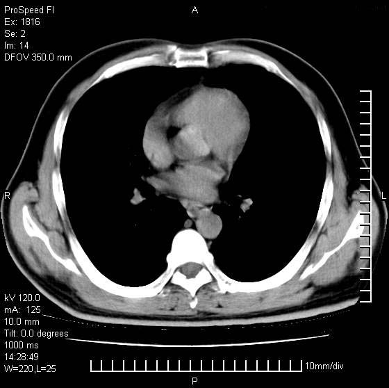
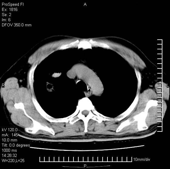
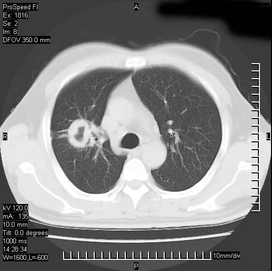
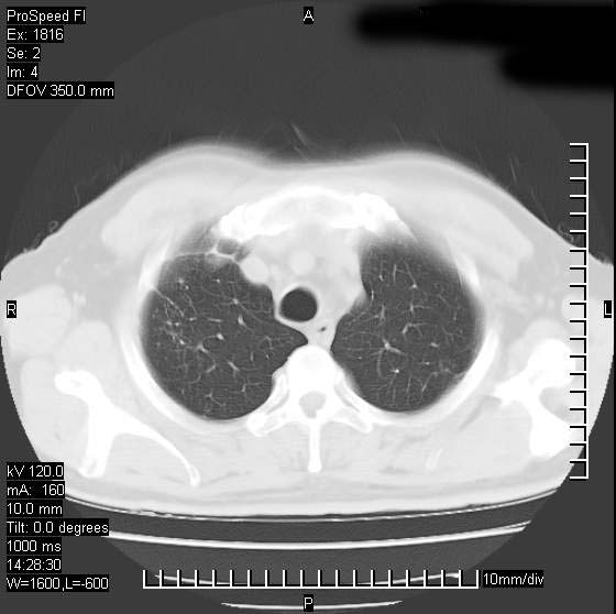
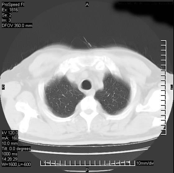
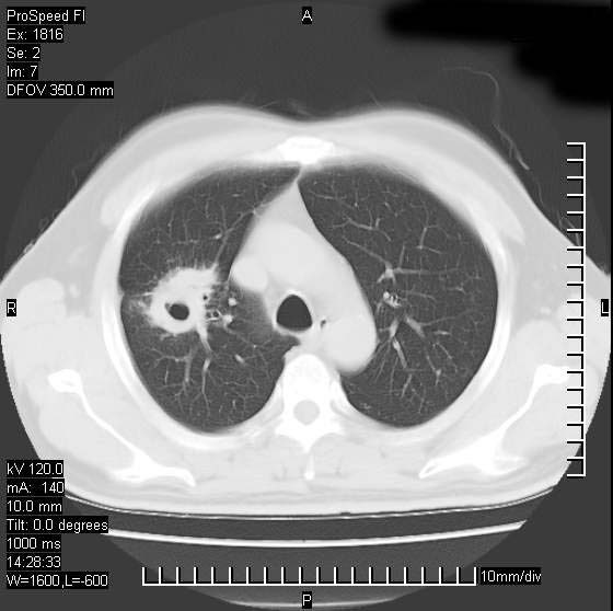
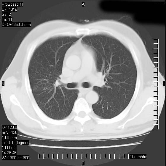
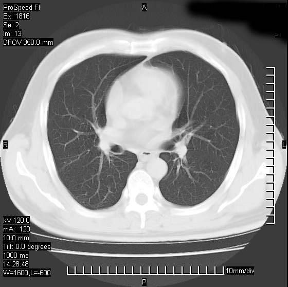
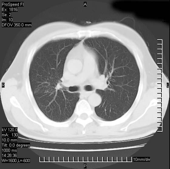
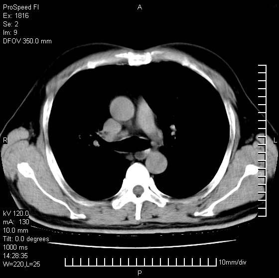
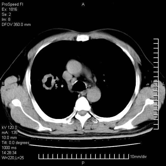
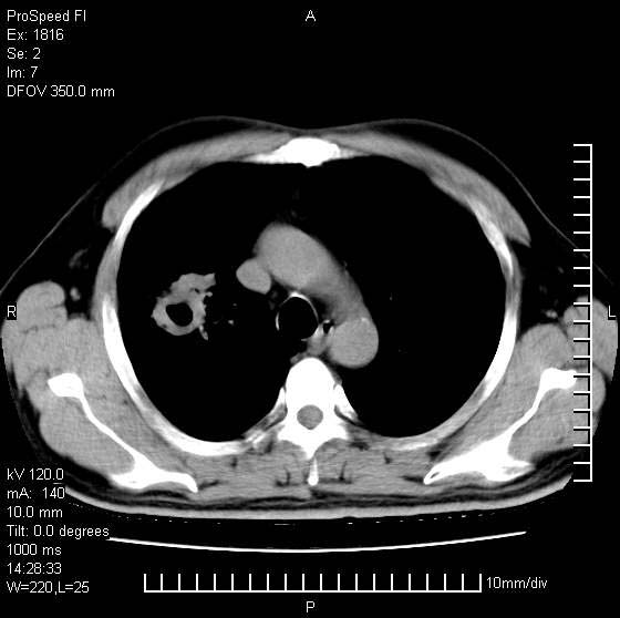
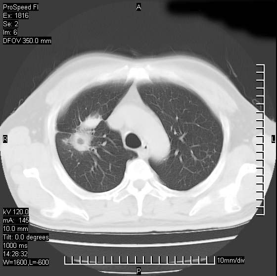
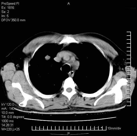
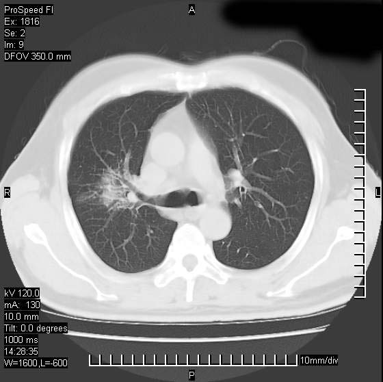
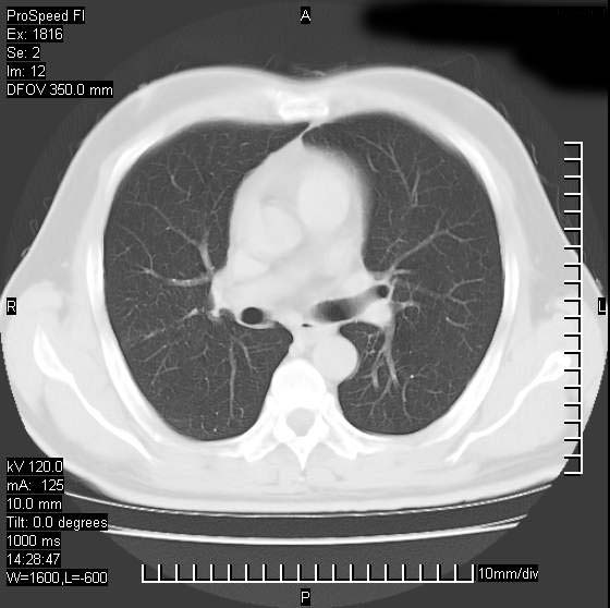
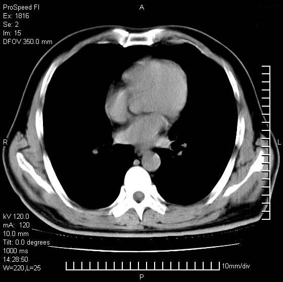
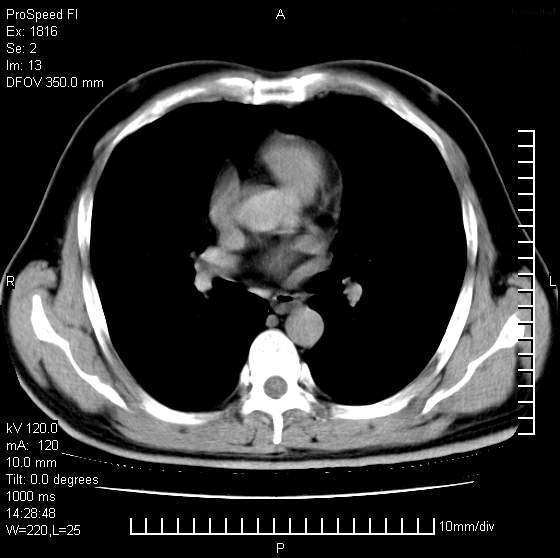
男性,50 ,肺结核9年,咳嗽,胸痛一周。右上肺见一厚壁空洞,周边有点样钙化,胸膜牵拉,洞壁较光整。诊断结核性空洞。有癌性的可能吗? 余肺野无异常,没有上传。


























[本贴已被 jiajie 于 2007-5-16 19:27:54 修改过]

作者: xiangchao1981    时间: 2007-5-17 02:50
洞壁比较光整,考虑结核性空洞,最好再取原片比较下
作者: 13081830109    时间: 2007-5-17 02:59
洞壁较厚内壁比较光整,考虑结核性空洞,最好再取原片比较下或薄扫一下
作者: ZHANGZHONGSHOU    时间: 2007-5-17 03:01
考虑为周围性肺癌可能性大
作者: 小初学者    时间: 2007-5-17 03:25
标题: 回复:胸部;男性 50
以下是引用zhangzhongshou在2007-5-16 19:01:00的发言:[br]考虑为周围性肺癌可能性大

作者: SYFSZCW    时间: 2007-5-17 03:58
这人应该诊断为肺ca,因为9年的结核密度绝对不是这样!
作者: 刘明    时间: 2007-5-17 04:04
考虑为周围性肺癌可能性大
作者: wangsl    时间: 2007-5-17 04:08
1.空洞型肺结核;2.周围型肺癌?
作者: shiqingfa    时间: 2007-5-17 04:14
考虑为周围性肺癌可能性大  ,期待结果
作者: zzzzhhhhaaaannn    时间: 2007-5-17 04:25
不像是肺ca倒更像一个结核空洞,因为看一下他内前方的支气管一点没有浸润征象只是压迫.
作者: 狙击手    时间: 2007-5-17 04:27
洞壁较厚内壁比较光整,两个病灶有关联性,纵隔淋巴结不大,考虑结核性空洞。
作者: 一个人    时间: 2007-5-17 04:30
考虑为周围性肺癌可能性大
作者: zhanghua2086    时间: 2007-5-17 04:58
不能排除空洞行肺癌
作者: xulianj    时间: 2007-5-17 05:46
结核有可能,肺癌待排。空洞的前上还方见一软组织结节影。
作者: zhuiqiu-168    时间: 2007-5-17 05:47
部分层面见空洞为近似新月形,洞壁内缘尚规整且近肺门侧,周围见索条影、卫星灶,结合病史,首先考虑肺tb可能大。
作者: 朱亮    时间: 2007-5-17 06:01
右肺上叶为两个病灶,前面为陈旧型结核灶,其后方病灶像肺脓肿
作者: qc80012345    时间: 2007-5-17 06:14
考虑为周围性肺癌可能性大,随诊。
作者: 晓杰    时间: 2007-5-17 06:30
洞壁比较光整,考虑结核性空洞
作者: 拾荒者    时间: 2007-5-17 06:35
标题: 回复:ct8265:男性 50肺结核9年,咳嗽,胸痛一周
以下是引用狙击手在2007-5-16 20:27:00的发言:[br]洞壁较厚内壁比较光整,两个病灶有关联性,纵隔淋巴结不大,考虑结核性空洞。

作者: ls5092638    时间: 2007-5-17 06:37
考虑为周围性肺癌可能性大,
作者: jiangjing    时间: 2007-5-17 06:56
洞壁比较光整,考虑结核性空洞,肿瘤待排
作者: zyx168    时间: 2007-5-17 07:02
考虑结核性空洞
作者: 天南地北    时间: 2007-5-17 07:05
标题: 回复:ct8265:男性 50肺结核9年,咳嗽,胸痛一周

作者: liaizhi    时间: 2007-5-17 07:10
结核空洞并结核复发可能性大。
作者: 悟空    时间: 2007-5-17 07:14
同意空洞型结核诊断,不过要注意随访复查。或与旧片比较。
作者: liuyue    时间: 2007-5-17 16:08
洞壁较厚内壁比较光整,考虑结核性空洞,最好再取原片比较下或薄扫一下
作者: 卜一    时间: 2007-5-17 16:29
洞壁较厚内壁比较光整,考虑结核性空洞 。支持!
作者: zjzjr    时间: 2007-5-17 16:45
支持继发型结核伴空洞形成.
作者: ailuanfei    时间: 2007-5-17 17:08
tb
作者: chmb    时间: 2007-5-17 17:14
9年的结核应该呈现多形态病灶,该病例只能见到少许纤维索条影,似乎与结核的演变不太相符。空洞内壁不光整,外侧伴有胸膜粘连,考虑癌性空洞可能性大,期待结果。
作者: jinning    时间: 2007-5-17 19:09
考虑结核性空洞
作者: Adams    时间: 2007-5-17 20:08
支持“天南地北”老师意见!
作者: jian-5587    时间: 2007-5-17 20:35
壁较厚内壁比较光整,两个病灶有关联性,纵隔淋巴结不大,考虑结核性空洞
作者: tianhep    时间: 2007-5-17 21:00
考虑为右上肺癌。
作者: zxczxc    时间: 2007-5-17 23:50
周围型肺癌不能排除,建议手术治疗。
作者: 文芳    时间: 2007-5-18 01:40
内壁光滑,周围有卫星灶,还是结核可能性大,但壁太厚,应密切观察随访复查
作者: tianhuaming007    时间: 2007-5-18 04:59
考虑结核空洞可能性大.
建议一以前的片子比较.
期待结果
作者: jinguoji    时间: 2007-5-28 22:59
考虑结核空洞可能性大,肺癌不能排除.
作者: andymaomao    时间: 2007-5-28 23:27
不支持ca诊断,以陈旧性肺tb(空洞型)可能性大。




欢迎光临 医影在线 (http://bbs.radida.com/bbs/) Powered by Discuz! X3.2