医影在线

标题: X2258:进来看看 求教 [打印本页]

作者: wangweiX001    时间: 2007-5-17 05:13
标题: X2258:进来看看 求教
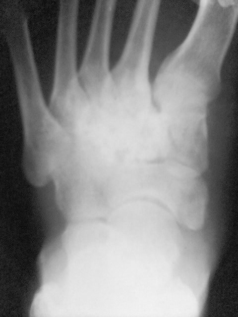
病人 男性  50岁   右足背肿块15年  近感疼痛加剧





[本贴已被 cefcmj 于 2007-5-16 21:43:15 修改过]

作者: wangweiX001    时间: 2007-5-17 05:16
手机拍的  不太清    足背软组织可见局限的多发斑点状及不规则状钙化影   请大家赐教
作者: zhanghua2086    时间: 2007-5-17 05:31
软骨瘤
作者: shiqingfa    时间: 2007-5-17 06:14
骨软骨瘤可能性大
作者: jiangjing    时间: 2007-5-17 07:11
软骨瘤或骨软骨瘤
作者: 天南地北    时间: 2007-5-17 07:20
骨软骨瘤可能性大
作者: zyx168    时间: 2007-5-17 07:41
骨软骨瘤
作者: shenhs    时间: 2007-5-17 09:33
骨软骨瘤可能性大
作者: 小初学者    时间: 2007-5-17 14:37
外生软骨瘤
作者: ZHANGZHONGSHOU    时间: 2007-5-17 15:07
外生软骨瘤或骨外骨瘤。
作者: liuyue    时间: 2007-5-17 15:51
软骨瘤或骨软骨瘤
作者: zhangkai    时间: 2007-5-17 16:29
骨软骨瘤
作者: wy232326    时间: 2007-5-17 16:38
骨软骨瘤可能性大
作者: 小剑    时间: 2007-5-17 17:07
骨软骨瘤
作者: hcz    时间: 2007-5-17 17:33
骨软骨瘤可能性大
作者: 阿袁    时间: 2007-5-17 18:34
同意大家的诊断!!!
作者: 眼睛    时间: 2007-5-17 18:39
支持外生软骨瘤或骨外骨瘤。有恶变可能!
作者: 苍三医黄    时间: 2007-5-17 18:45
外生软骨瘤
作者: jinning    时间: 2007-5-17 19:20
骨软骨瘤
作者: 阿狼    时间: 2007-5-17 20:32
支持外生软骨瘤
作者: jian-5587    时间: 2007-5-17 20:41
外生软骨瘤
作者: ztbzyp    时间: 2007-5-17 23:08
支持骨软骨瘤的诊断,不除外恶变的可能。
作者: zxczxc    时间: 2007-5-17 23:40
骨软骨瘤。
作者: elity69    时间: 2007-5-18 17:48
外生软骨瘤或骨外骨瘤。
作者: 吴文利    时间: 2007-5-18 21:01
骨软骨瘤可能性
作者: zhangkening    时间: 2007-5-18 23:53
菜花状骨软骨瘤,建议这个病人做ct检查排除恶变,这种骨软骨瘤最容易恶变。
作者: zhangxiangjun    时间: 2007-5-23 07:31
菜花状骨软骨瘤,建议这个病人做ct检查排除恶变,这种骨软骨瘤最容易恶变。
作者: shibing    时间: 2013-2-17 07:58
标题: Re:X2258:进来看看   求教
骨软骨瘤可能性大
作者: xjltnfx    时间: 2013-2-18 00:37
标题: Re:X2258:进来看看   求教
骨疣
作者: liangjingijn    时间: 2013-2-18 14:56
标题: Re:X2258:进来看看   求教
骨软骨瘤可能性大




欢迎光临 医影在线 (http://bbs.radida.com/bbs/) Powered by Discuz! X3.2