













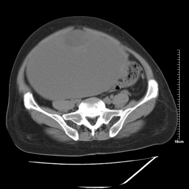
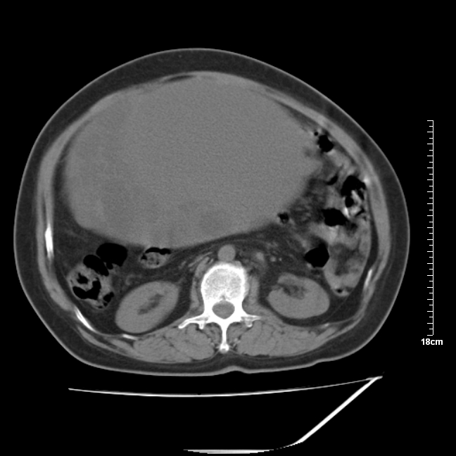
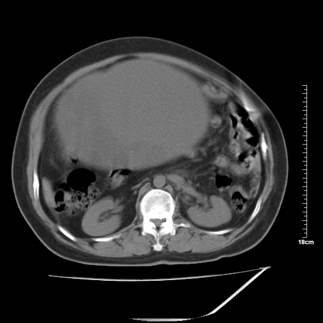
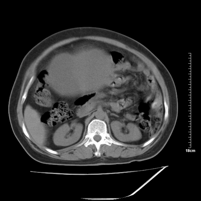
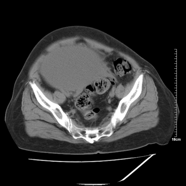
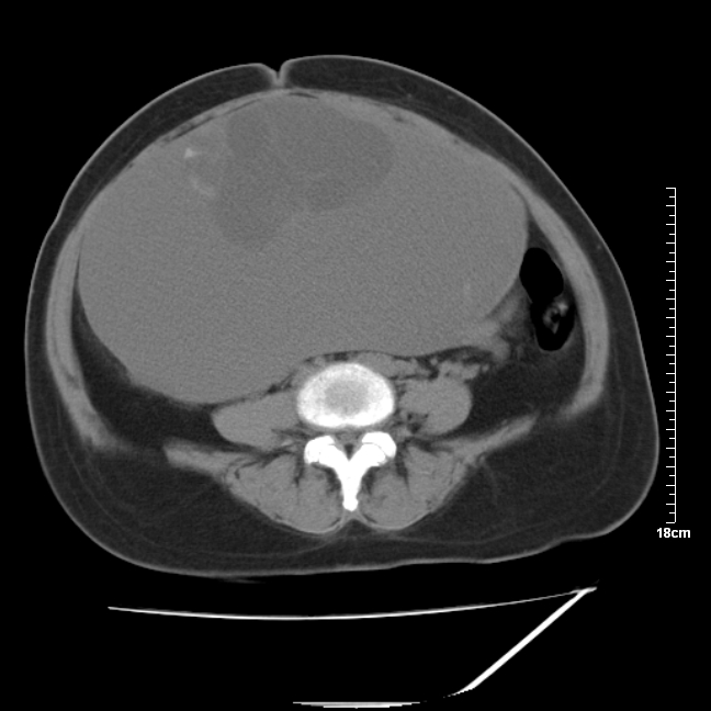
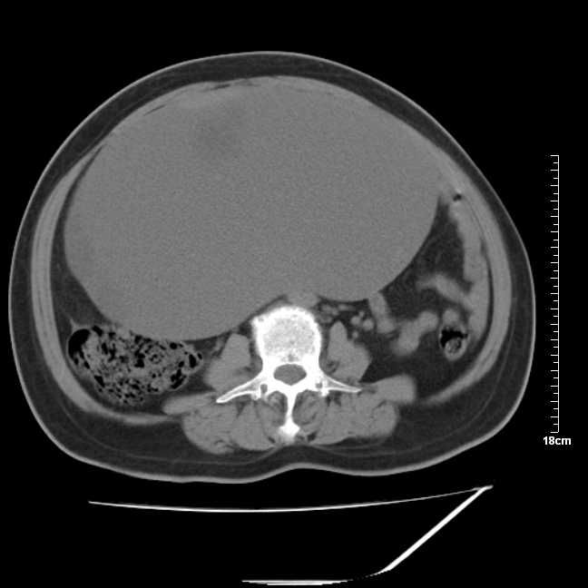
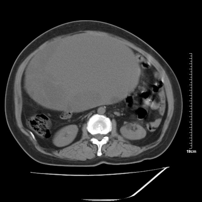
以下是引用jinning在2007-5-17 11:18:00的发言:[br]考虑右侧卵巢囊腺瘤合并少量出血可能性大
以下是引用jinning在2007-5-17 11:18:00的发言:[br]考虑右侧卵巢囊腺瘤合并少量出血可能性大
以下是引用zhangzhongshou在2007-5-17 12:14:00的发言:[br][quote]以下是引用jinning在2007-5-17 11:18:00的发言:[br]考虑右侧卵巢囊腺瘤合并少量出血可能性大
以下是引用jinning在2007-5-17 11:18:00的发言:[br]考虑右侧卵巢囊腺瘤合并少量出血可能性大
| 欢迎光临 医影在线 (http://bbs.radida.com/bbs/) | Powered by Discuz! X3.2 |