



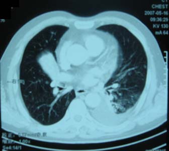
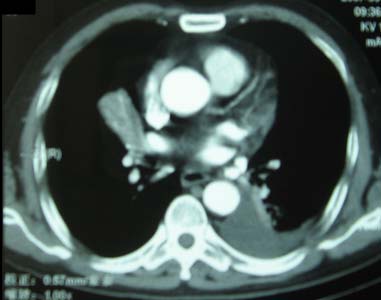
以下是引用zhangzhongshou在2007-5-17 12:08:00的发言:[br]1、右肺中叶不张,建议纤支镜检查。[br]2、左侧胸腔积液,性质待查,建议进一步检查。[br]3、左侧局限性胸膜肥厚。[br][br][本贴已被 zhangzhongshou 于 2007-5-17 12:12:13 修改过]
以下是引用天南地北在2007-5-17 12:35:00的发言:[br][quote]以下是引用zhangzhongshou在2007-5-17 12:08:00的发言:[br]1、右肺中叶不张,建议纤支镜检查。[br]2、左侧胸腔积液,性质待查,建议进一步检查。[br]3、左侧局限性胸膜肥厚。[br][br][本贴已被 zhangzhongshou 于 2007-5-17 12:12:13 修改过]
以下是引用zyx168在2007-5-17 12:44:00的发言:[br]支持[br] 1、右肺中叶不张,建议纤支镜检查。[br] 2、左侧胸腔积液,性质待查,建议进一步检查。[br] 3、左侧局限性胸膜肥厚。 [br]
以下是引用一棵树在2007-5-17 12:11:00的发言:[br]中叶的病变应该谨慎,建议支气管镜检查。
以下是引用zhangzhongshou在2007-5-17 12:08:00的发言:[br]1、右肺中叶不张,建议纤支镜检查。[br]2、左侧胸腔积液,性质待查,建议进一步检查。[br]3、左侧局限性胸膜肥厚。[br][br][本贴已被 zhangzhongshou 于 2007-5-17 12:12:13 修改过]
| 欢迎光临 医影在线 (http://bbs.radida.com/bbs/) | Powered by Discuz! X3.2 |