医影在线

标题: CT8275:M 77 反复咳嗽咳痰10多年,慢性支气管炎请分析 [打印本页]

作者: glyy    时间: 2007-5-18 00:09
标题: CT8275:M 77 反复咳嗽咳痰10多年,慢性支气管炎请分析
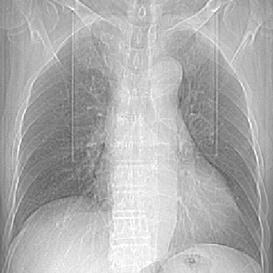
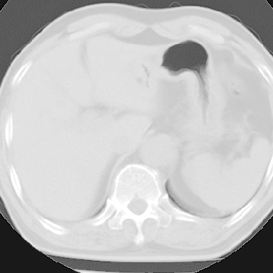
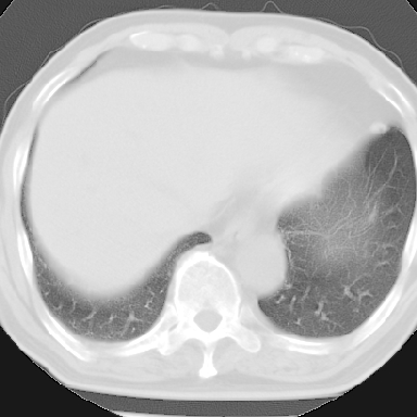
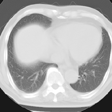
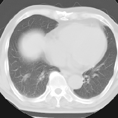
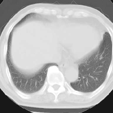
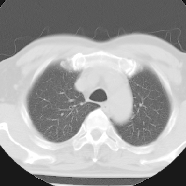
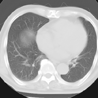
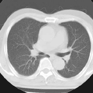
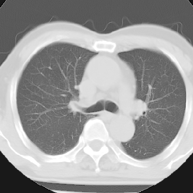
m 77 反复咳嗽咳痰10多年,再发加重4天



















[本贴已被 jiajie 于 2007-5-17 19:12:00 修改过]

作者: andymaomao    时间: 2007-5-18 00:21
纵隔窗呢?慢支炎肺气肿;余未见明显渗出及占位!
作者: zxczxc    时间: 2007-5-18 00:41
支气管炎。
作者: Adams    时间: 2007-5-18 00:47
慢性支气管炎、肺气肿。
作者: zjzjr    时间: 2007-5-18 01:23
慢性支气管炎、肺气肿。
作者: 郭凯    时间: 2007-5-18 01:32
结合临床诊断慢支,没什么特别的呀!
作者: wutao53    时间: 2007-5-18 02:19
慢性支气管炎并肺气肿
作者: wuyiyunwu    时间: 2007-5-18 02:39
两肺未见明显异常;主动脉弓硬化;左侧冠状动脉硬化?
作者: 李晓阳    时间: 2007-5-18 02:42
不支持慢性支气管炎,另外慢性支气管炎的诊断需结合临床病史才能诊断。
作者: 余辉    时间: 2007-5-18 02:48
就以上的片子,如果没有明确的病史,说未见明显异常也不过份吧
作者: 同    时间: 2007-5-18 04:31
慢支肺气肿
作者: SYFSZCW    时间: 2007-5-18 04:36
请问着病人怎么诊断慢性支气管炎合并肺气肿的!
作者: xulianj    时间: 2007-5-18 05:07
未见明显异常
作者: 一个人    时间: 2007-5-18 05:10
不支持慢性支气管炎
作者: 朱亮    时间: 2007-5-18 05:14
慢支肺气肿,余未见明显异常
作者: 求知若渴    时间: 2007-5-18 05:30
未见明显异常
作者: 克山    时间: 2007-5-18 05:45
这份病例诊断慢支并气肿可能属过诊,首先慢支的临床诊断标准是严格的,应该弄清楚,其次ct表现是否符合该病表现,本例老年人ct肺窗表现应属正常,不要跟着临床跑。
作者: shenhs    时间: 2007-5-18 06:25
未见明显异常
作者: 国窖1573    时间: 2007-5-18 06:35
未见明显异常
作者: 拾荒者    时间: 2007-5-18 06:42
标题: 回复:ct8275:m 77 反复咳嗽咳痰10多年,慢性支气管炎请分析
以下是引用克山在2007-5-17 21:45:00的发言:[br]这份病例诊断慢支并气肿可能属过诊,首先慢支的临床诊断标准是严格的,应该弄清楚,其次ct表现是否符合该病表现,本例老年人ct肺窗表现应属正常,不要跟着临床跑。

支持!
作者: 天南地北    时间: 2007-5-18 08:13
结合临床诊断慢支
作者: wj2039    时间: 2007-5-18 16:50
未见明显异常
作者: jinning    时间: 2007-5-18 18:08
慢性支气管炎、肺气肿。
作者: 晓杰    时间: 2007-5-18 20:46
慢性支气管炎并肺气肿
作者: jinguoji    时间: 2007-5-28 22:36
慢性支气管炎 肺气肿
作者: 永州人    时间: 2007-5-28 23:30
标题: 回复:ct8275:m 77 反复咳嗽咳痰10多年,慢性支气管炎请分析
以下是引用wutao53在2007-5-17 18:19:00的发言:[br]慢性支气管炎并肺气肿





欢迎光临 医影在线 (http://bbs.radida.com/bbs/) Powered by Discuz! X3.2