

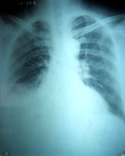
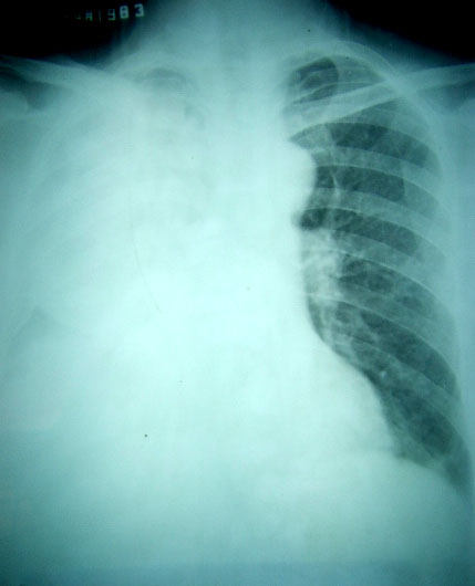
以下是引用software在2007-5-18 19:48:00的发言:[br]患者男,因发热,咳嗽,咳痰半月余而入院,有盗汗,双手会不自主的颤抖。 [br][br]这是第一张片:[br][br]明摆着是胸腔积液,还有胸膜肥厚,入院后行胸穿,抽出淡褐色胸水,生化检查,我只记得糖0.8,其它的不记得了,李凡他(+)。 [br][br]第二天复查胸片,就成这模样了。。。。。 [br]
[br][br][br][br][br]
[本贴已被 cefcmj 于 2007-5-18 21:13:21 修改过]
| 欢迎光临 医影在线 (http://bbs.radida.com/bbs/) | Powered by Discuz! X3.2 |