医影在线
标题: V0241:双侧大脑弥漫性低密度影,请会诊! [打印本页]
作者: sunhua666 时间: 2007-5-22 04:08
标题: V0241:双侧大脑弥漫性低密度影,请会诊!
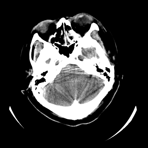
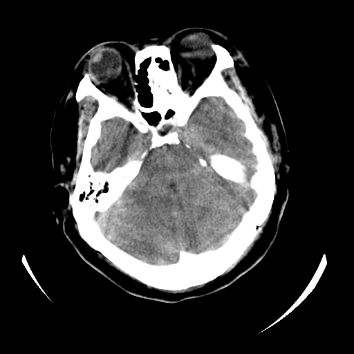
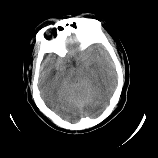
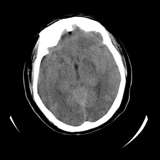
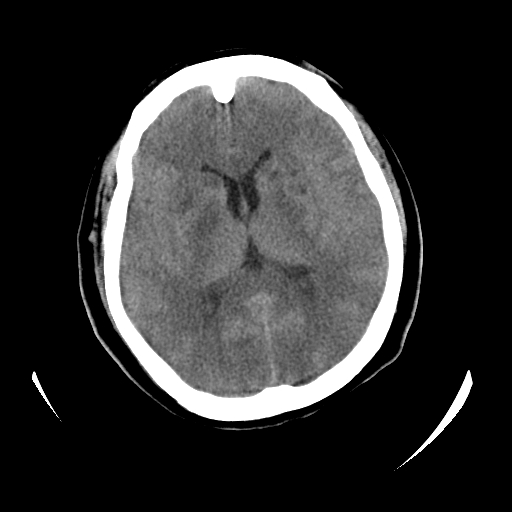
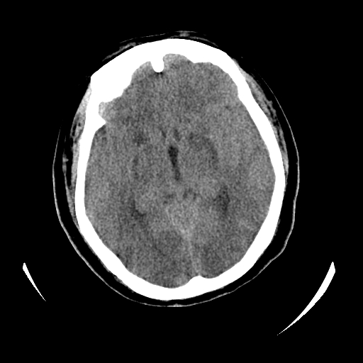
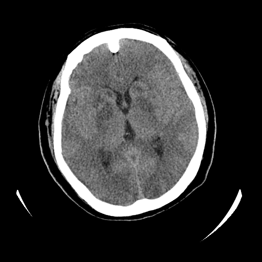
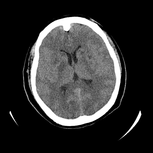
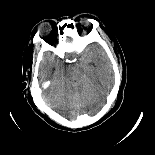
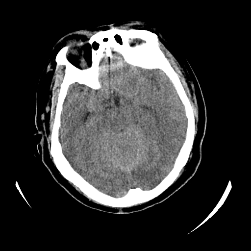
女,53岁,发现昏迷1天,血压不高,有精神病史。临床诊断:脑梗死?
ct诊断:1、双侧基底节区对称性脑梗塞。
2、双侧额叶、枕叶广泛密度减低,考虑缺血梗塞可能性大。
3、脑池小,脑沟浅,提示颅内高压。
测左枕叶白质ct值 约22hu 。请各位老师给出恬当诊断。













[本贴已被 jiajie 于 2007-5-21 21:15:48 修改过]
作者: 小初学者 时间: 2007-5-22 05:02
建议mr排除烟雾病
作者: ysxyy 时间: 2007-5-22 05:27
标题: 讨论
女,53岁,发现昏迷1天,血压不高,有精神病史。临床诊断:脑梗死?
ct诊断:1、双侧基底节区对称性脑梗塞。 2、双侧额叶、枕叶广泛密度减低,考虑缺血梗塞可能性大。
3、脑池小,脑沟浅,提示颅内高压。 测左枕叶白质ct值 约22hu 。
*****************************************************************************
征象:病变呈对称性分布于双侧大脑半球,累及范围广泛,白质较灰质密度减低更为明显;脑沟变浅,脑池变窄;
讨论:
脑梗死的另一种分类 缺血性脑梗死 缺氧性脑梗死
其中缺血性多由血管痉挛或血栓所致
缺氧性脑梗死日常讨论较少,又可分为低血流量性即我们常说的低灌注性脑梗死,其血液中含氧量是正常的,是由于血流减少发病,可见于心衰病人或者休克病人;
还有就是血液含氧低所致的梗死,平常我们所说的co中毒就是其中的特例,比较常见的原因有严重的贫血病人,窒息病人等;
********************************************************************************
缺氧性脑梗死的影像表现比较特殊:
由于苍白球对血供的敏感度较高,故较早受累;其它的表现有分水岭区脑梗死等;
诊断需紧密结合临床情况;
******************************
本例是一个精神病患者,但不知是抑郁型还是燥逛型精神病病人?
病人的身体状况如何?家属对其照顾的怎么样?
继往有无其它病史,如有无心脏病?是否贫血?
还请楼主尽可能提供更详尽的资料以供参考;
[本贴已被 ysxyy 于 2007-5-22 19:55:25 修改过]
作者: 卜一 时间: 2007-5-22 13:19
支持3楼老师的分析,颅内广泛性 对称性低密度改变,特别是双侧基底节区的病灶,首先应考虑:缺氧性脑梗死。
作者: fumaogui 时间: 2007-5-22 16:44
考虑co中毒,建议做个增强吧.
作者: jiangjing 时间: 2007-5-23 01:40
考虑 中毒性脑病,脑肿胀。病因待定,结合临床仔细了解病史
作者: 医博云天 时间: 2007-5-23 03:02
中毒性脑改变?
作者: sunhua666 时间: 2007-5-23 03:33
我觉得可以排除co中毒,因为此病例是前几天的,天气好热呢?况且病人正在精神病院住院。请大家再分析!
作者: w_jianhua 时间: 2007-5-23 04:05
双侧环池,四叠体池显示模糊,原因?建议增强
作者: wxy7406 时间: 2007-5-23 20:45
长期的服用神经抑制药物,考虑药物中毒引起的脑改变。
作者: wnlyq8688 时间: 2007-5-23 23:58
标题: 回复:v0241:双侧大脑弥漫性低密度影,请会诊!
以下是引用wxy7406在2007-5-23 12:45:00的发言:[br]长期的服用神经抑制药物,考虑药物中毒引起的脑改变。
作者: wqs_120 时间: 2007-5-25 07:44
双侧基底节应为梗塞,颅内多发低密度区,考虑脑水肿,我认为三楼说的很有道理
| 欢迎光临 医影在线 (http://bbs.radida.com/bbs/) |
Powered by Discuz! X3.2 |