医影在线

标题: V0243:右髂总动脉瘤附壁血栓形成?破裂?动静脉瘘? [打印本页]

作者: sunhua666    时间: 2007-5-22 06:03
标题: V0243:右髂总动脉瘤附壁血栓形成?破裂?动静脉瘘?
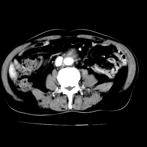
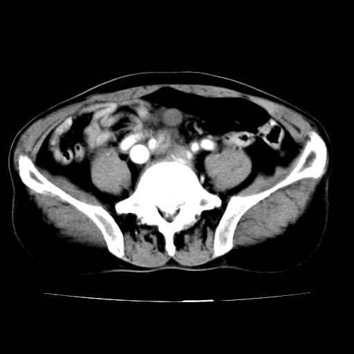
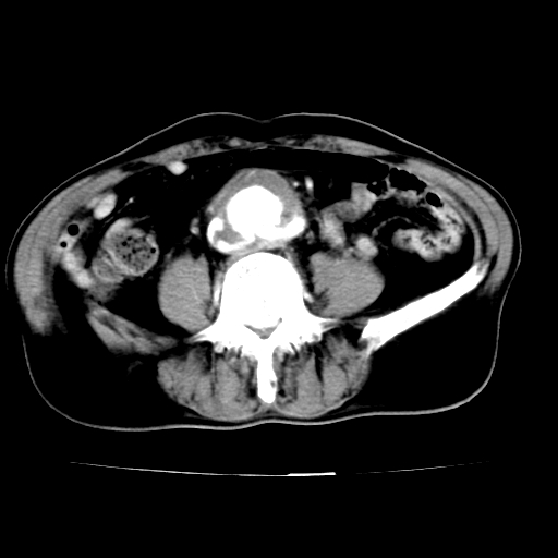
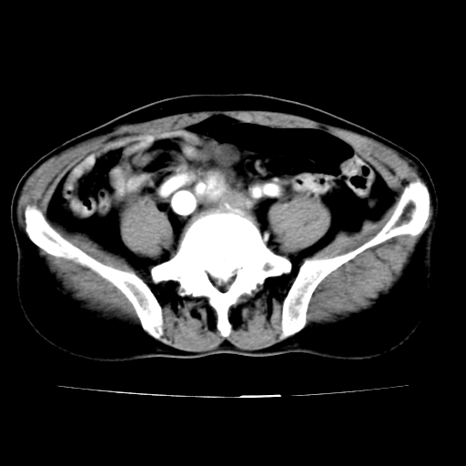
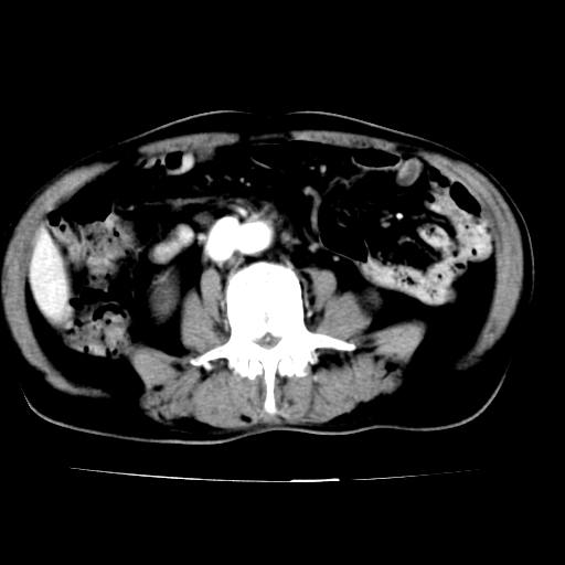
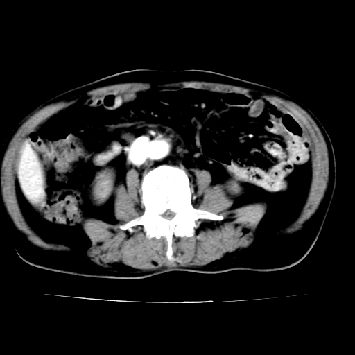
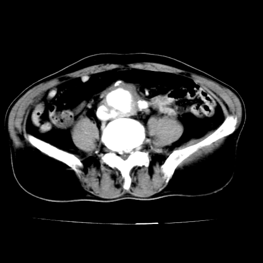
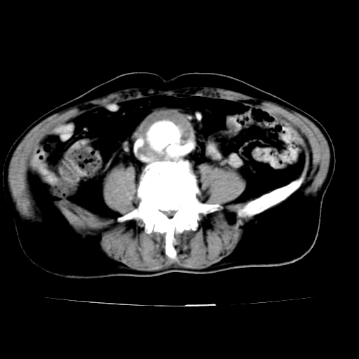
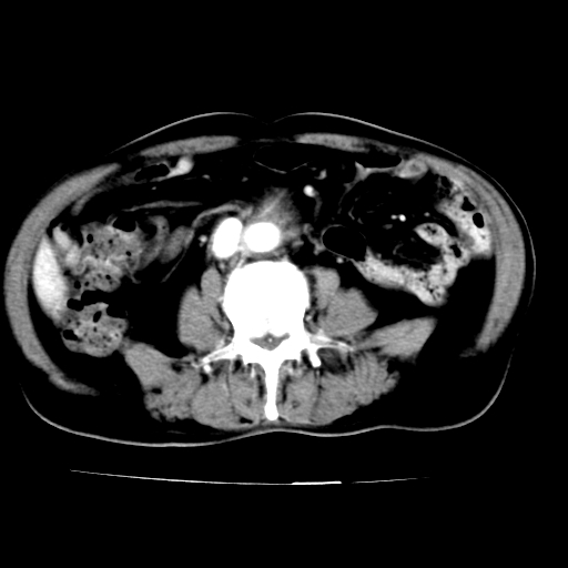
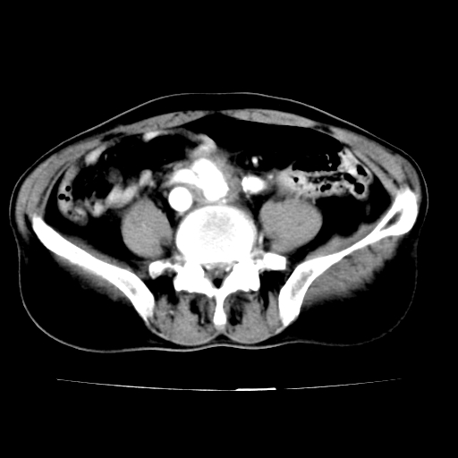
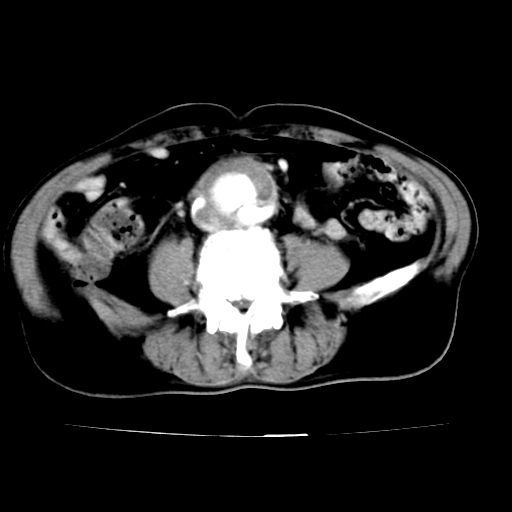
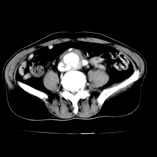
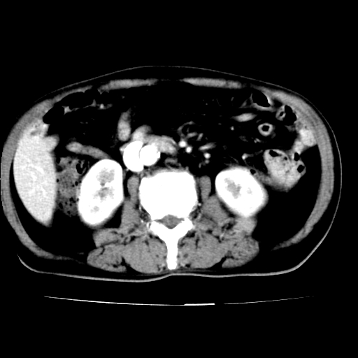
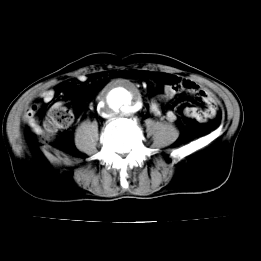
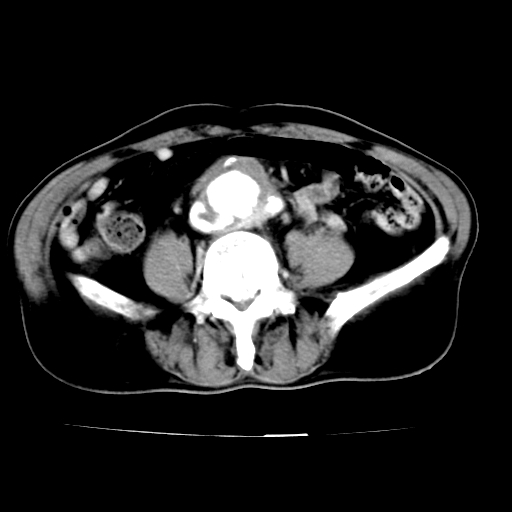
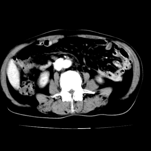
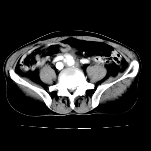
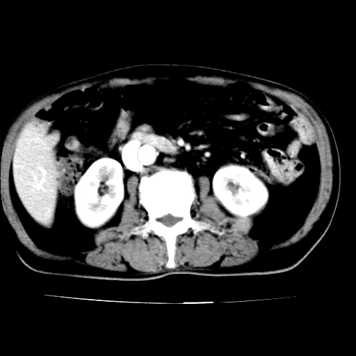
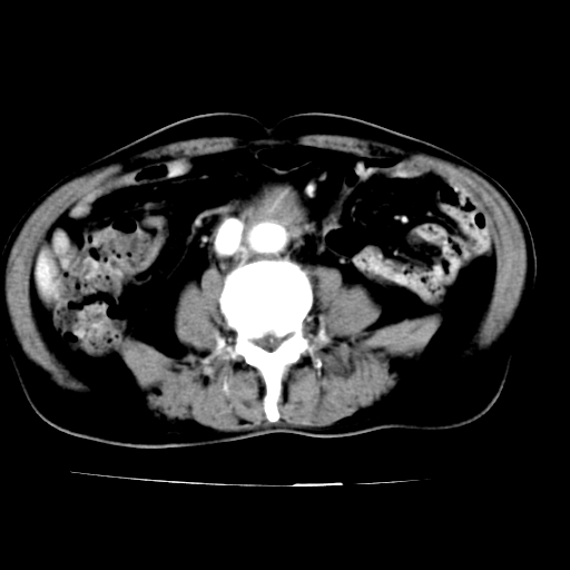
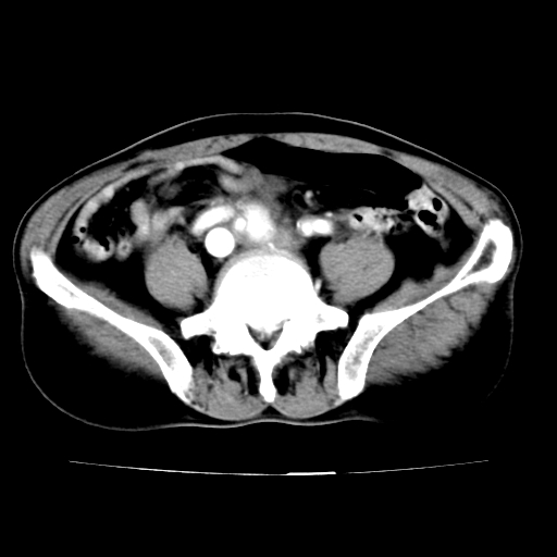
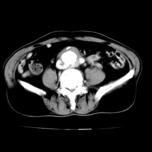
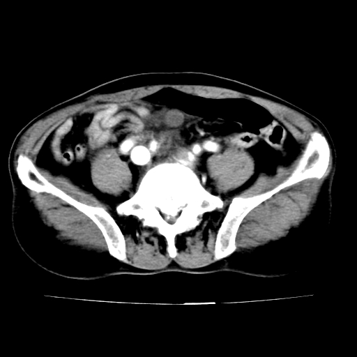
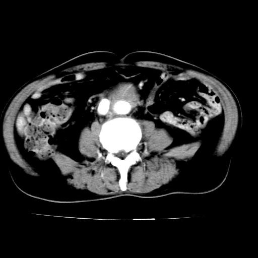
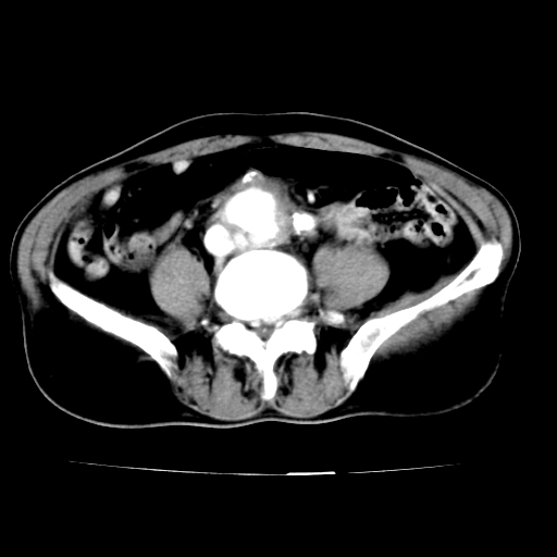
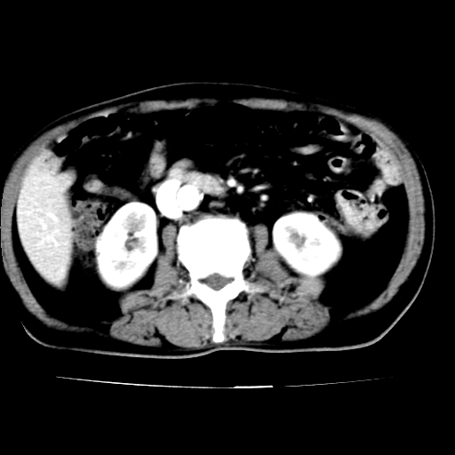
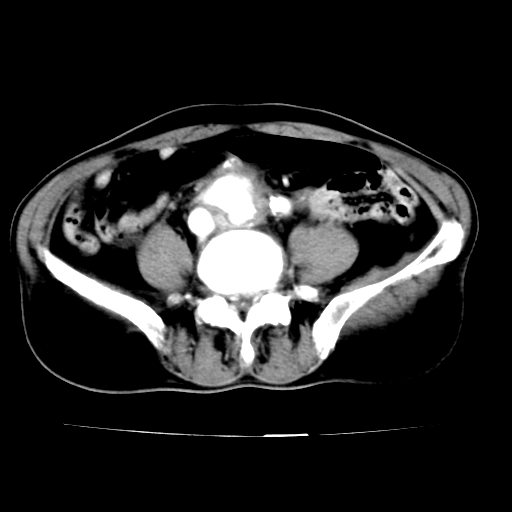
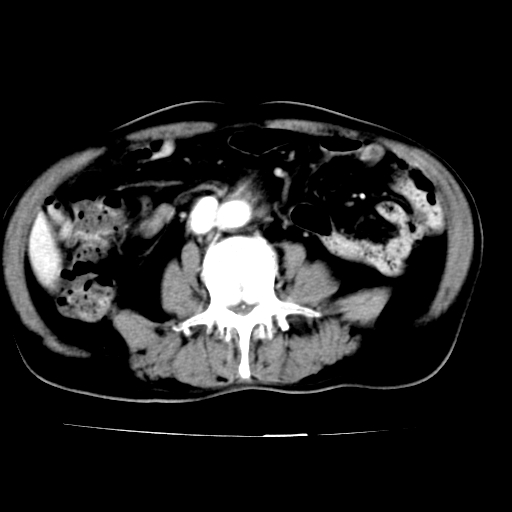
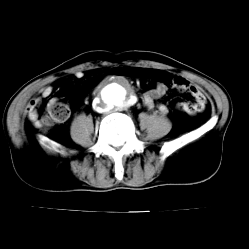
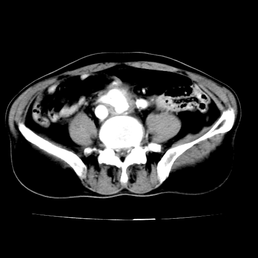
男,75岁,腹痛月余,彩超发现脐周腹主动脉异常回声。临床诊断:腹主动脉瘤。
ct诊断:右骼总动脉囊性动脉瘤并瘤内附壁血栓形成,与下腔静脉之间形成动静脉瘘。
请问各位老师:能排除动脉瘤破裂的可能吗?
      





































[本贴已被 jiajie 于 2007-5-22 6:03:36 修改过]

作者: jiangjing    时间: 2007-5-23 01:27
腹总动脉瘤伴附壁血栓形成累及髂总动脉
作者: 同    时间: 2007-5-23 02:38
腹总动脉瘤伴附壁血栓形成累积髂总动脉 支持
作者: 医博云天    时间: 2007-5-23 02:58
腹主动脉分叉处真性动脉瘤,附壁血栓形成。
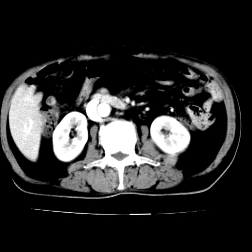
给平扫片看看血管壁钙化情况。
作者: sunhua666    时间: 2007-5-23 03:29
各位老师注意到下腔静脉的充盈缺损了吗?注意到动静脉漏了吗?
作者: sunhua666    时间: 2007-5-25 03:22
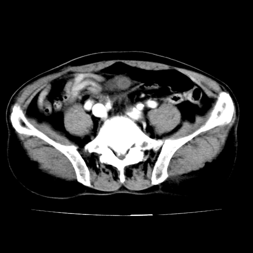
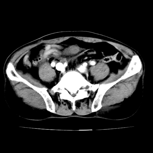
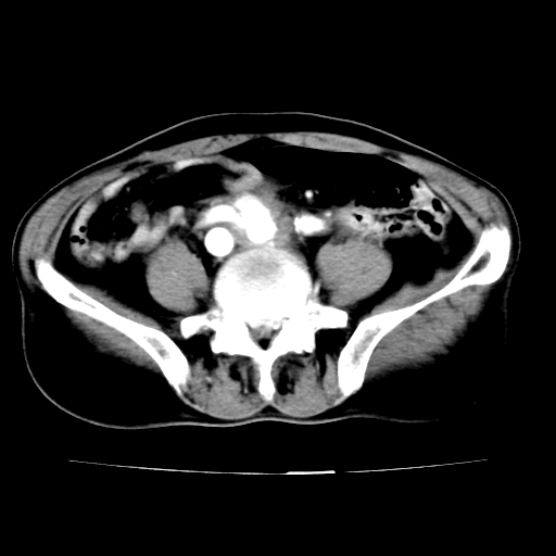
此病例平扫图像已发,请大家看看!
作者: wxy7406    时间: 2007-5-25 06:41
腹总动脉瘤伴附壁血栓形成累及髂总动脉,看起来好像有动静脉瘘,但我认为是扫描时象造成的假象。
作者: sunhua666    时间: 2007-5-26 04:03
当时是扫描的标准动脉期,可是下腔静脉与腹主动脉同步强化且幅度一致。所以我想动静脉瘘是存在的。




欢迎光临 医影在线 (http://bbs.radida.com/bbs/) Powered by Discuz! X3.2