医影在线
标题: CT8337:颈部包块8年,颈部CT和VRT,请讨论。 [打印本页]
作者: 王靖旗 时间: 2007-5-22 21:23
标题: CT8337:颈部包块8年,颈部CT和VRT,请讨论。
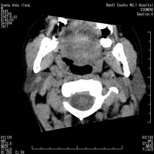
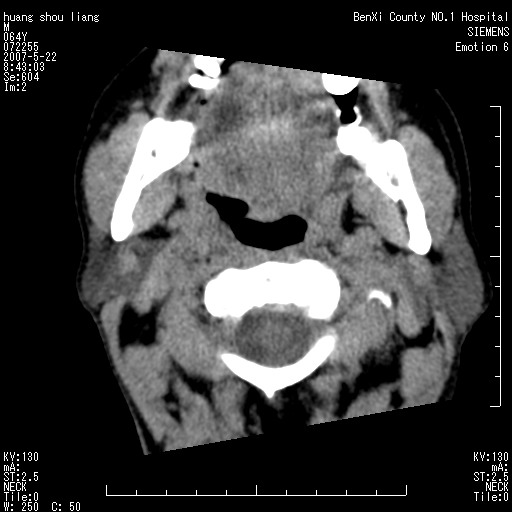
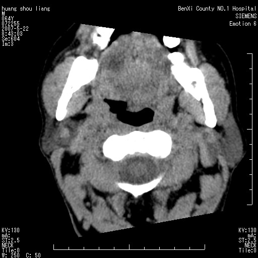
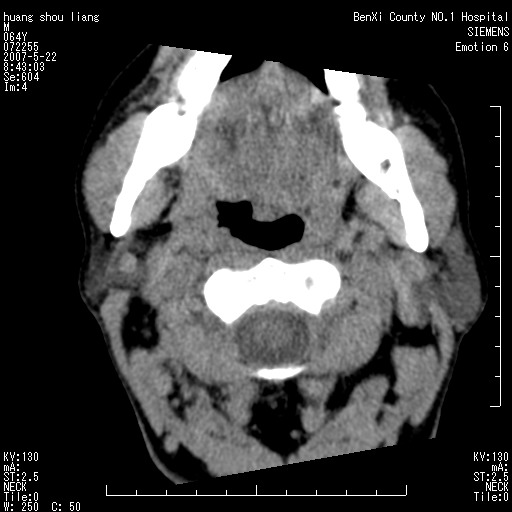
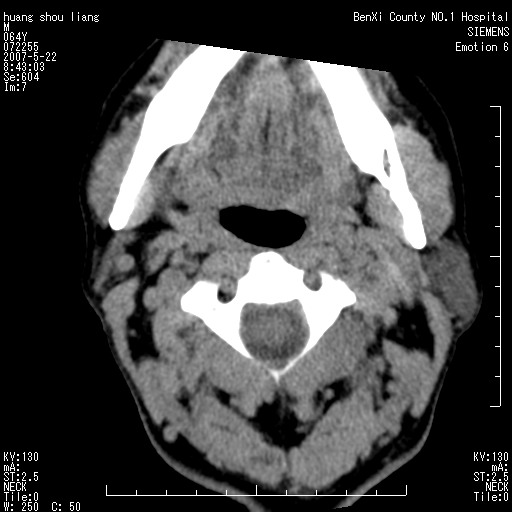
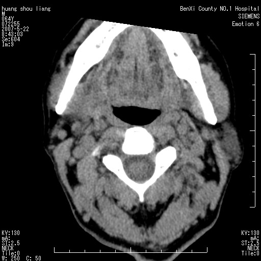
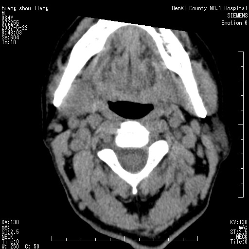
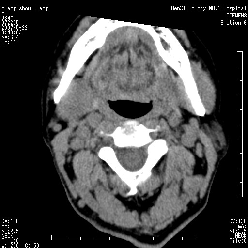
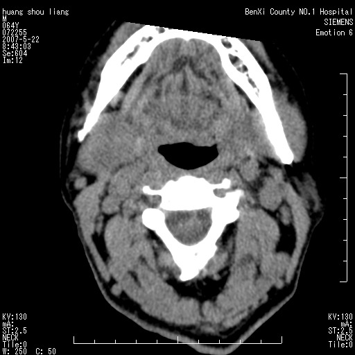
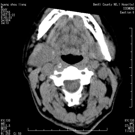
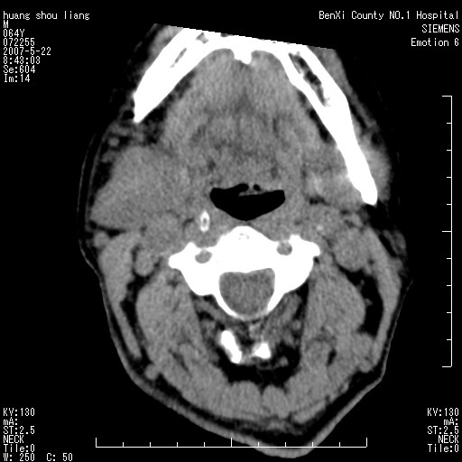
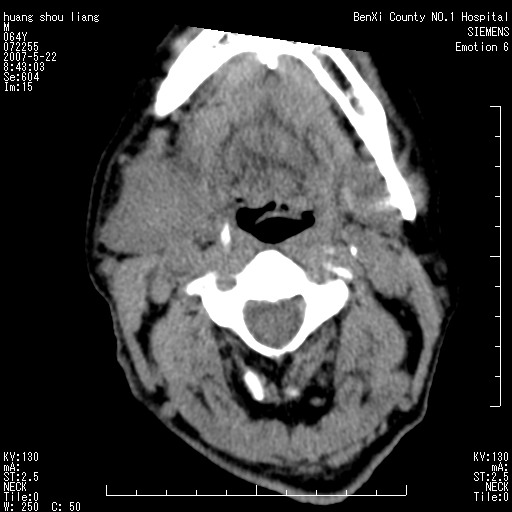
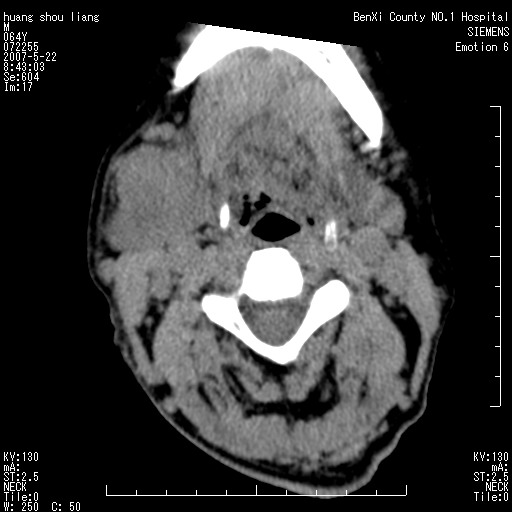
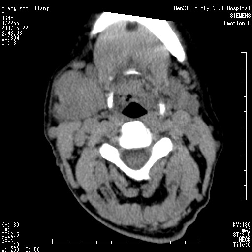
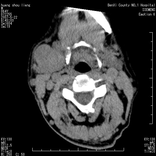
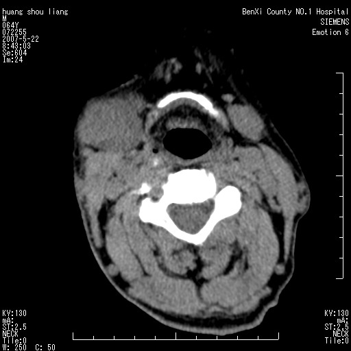
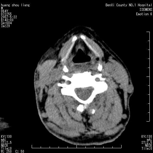
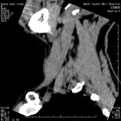
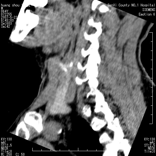
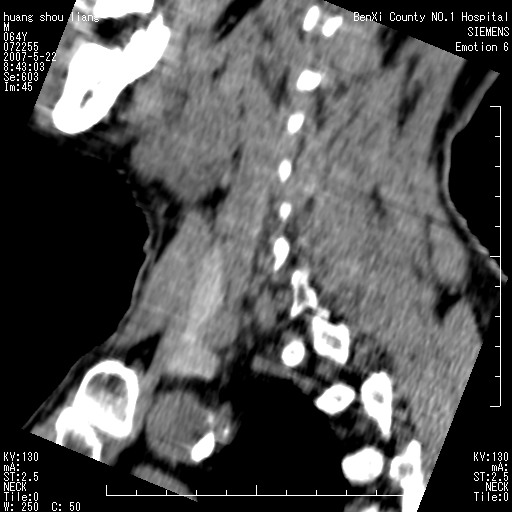
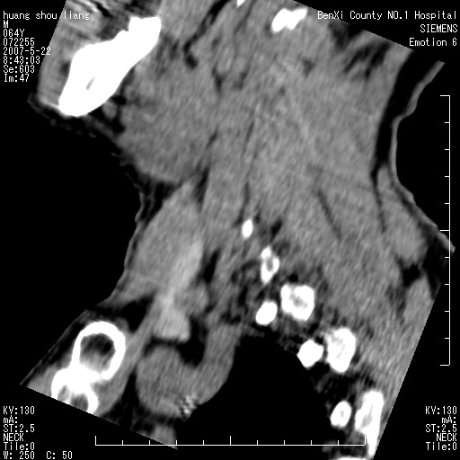
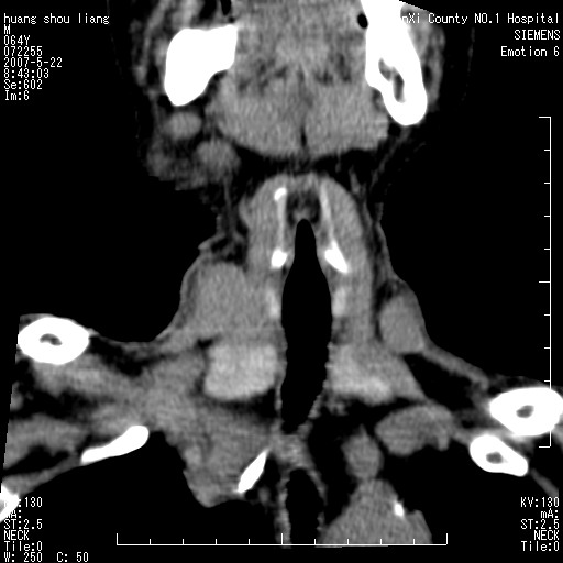
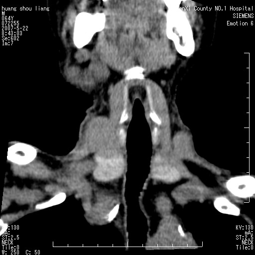
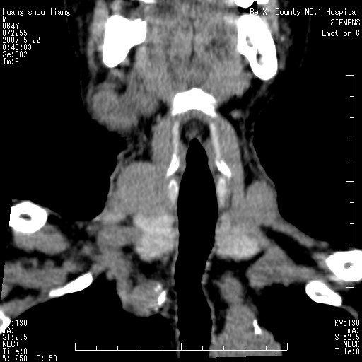
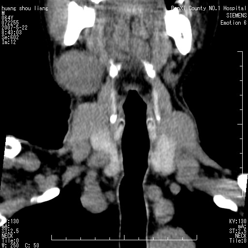
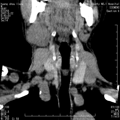
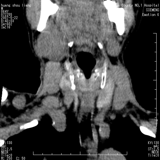
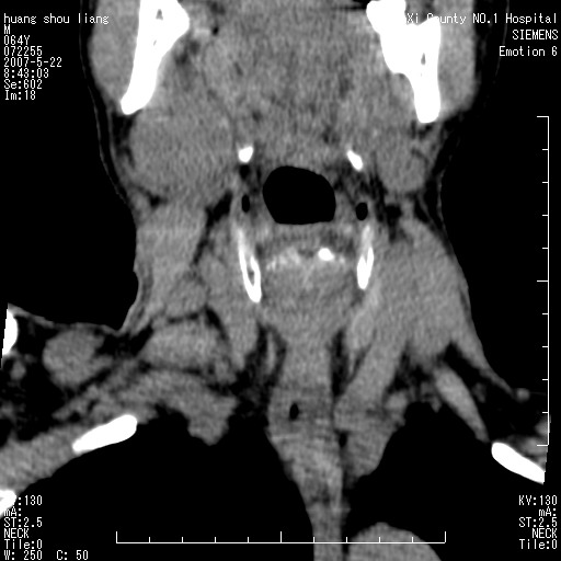
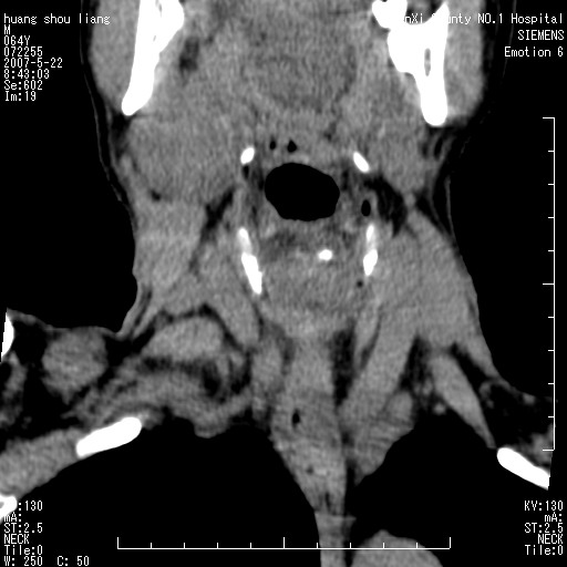
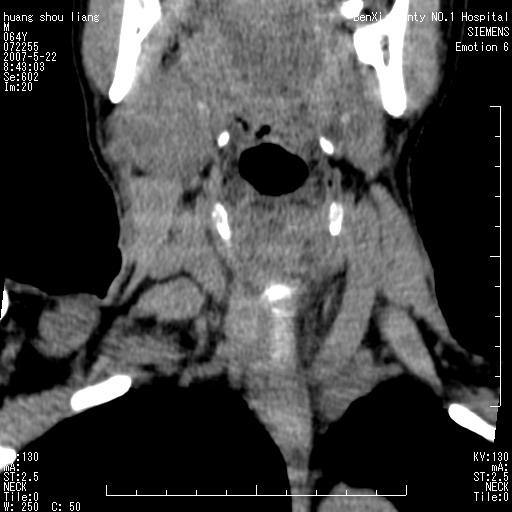
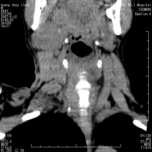
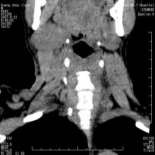
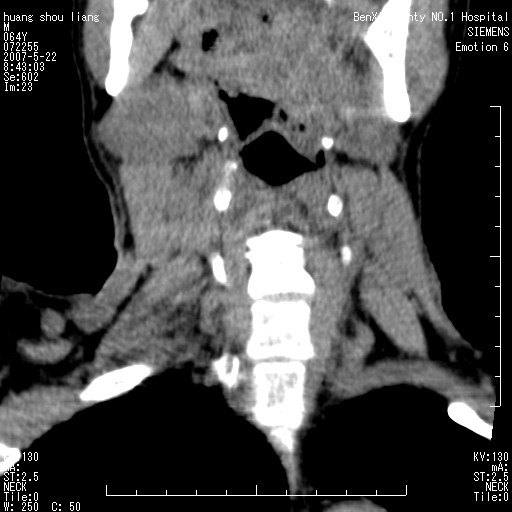
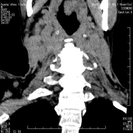
男性,64岁。颈部包块8年。最近增大。
























































[本贴已被 jiajie 于 2007-5-22 20:37:20 修改过]
作者: zjzjr 时间: 2007-5-22 21:33
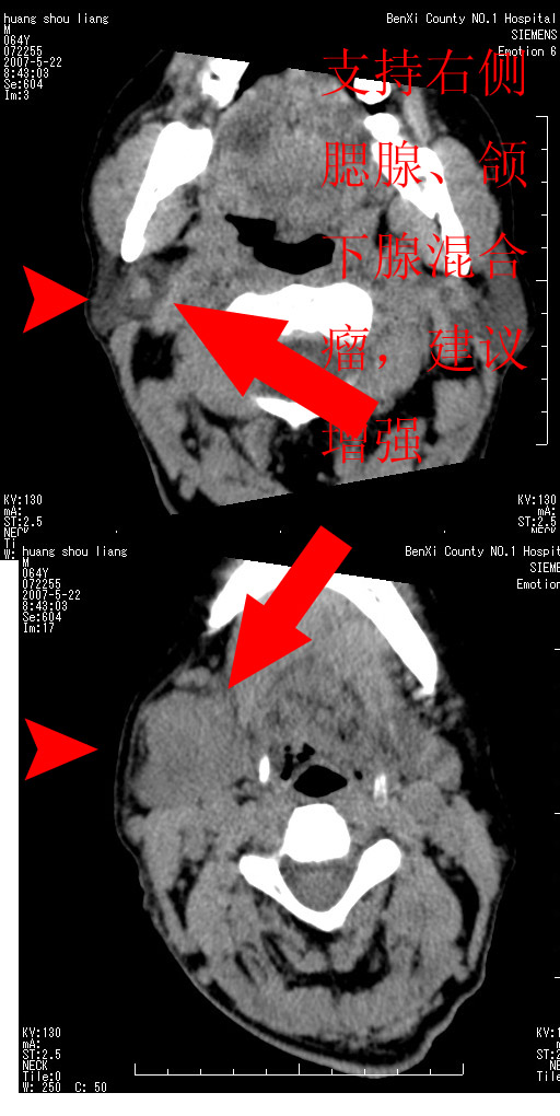
考虑来源于颌下腺混合瘤,建议增强。
作者: 天南地北 时间: 2007-5-22 21:40
标题: 回复:颈部ct和vrt,请讨论。


[本贴已被 天南地北 于 2007-5-22 22:35:39 修改过]
作者: dyqct 时间: 2007-5-22 22:46
支持2、3楼意见。
作者: wangzhanshuang 时间: 2007-5-22 23:30
支持2、3楼意见。
作者: luochengyi 时间: 2007-5-22 23:35
考虑来源于右侧腮腺及颌下腺的混合瘤
作者: jinning 时间: 2007-5-23 01:25
考虑来源于颌下腺混合瘤
作者: 同 时间: 2007-5-23 02:25
标题: 回复:颈部ct和vrt,请讨论。
以下是引用luochengyi在2007-5-22 15:35:00的发言:[br]考虑来源于右侧腮腺及颌下腺的混合瘤
作者: 王靖旗 时间: 2007-5-23 02:39
标题: 我考虑为肿大的淋巴结融合在一块
对不起大家,可能是片子发太多有点乱,正常腮腺在下颌角的外侧,颌下腺在下颌体的中部内侧,本例在下颌角内侧偏下,和腺体一点关系都没有,从vrt和mpr上可以很明显看出来,再者肿块是好多粘连在一块的,大家在仔细看看,左侧可能也是吧,我还是考虑为肿大的淋巴结融合在一块,但性质??????
[本贴已被 翁志蓬 于 2007-5-22 21:01:32 修改过]
作者: 王靖旗 时间: 2007-5-23 03:17
标题: 回复:ct8337:颈部包块8年,颈部ct和vrt,请讨论。
这回对了,感谢大家参与。


[本贴已被 jiajie 于 2007-5-22 20:39:36 修改过]
作者: doc张 时间: 2007-5-23 03:28
肿大的淋巴结到是有可能在这区间,但整体看还应该是颌下腺混合瘤可能性大.
作者: wzr 时间: 2007-5-23 03:34
进一步ce.
作者: 心愿 时间: 2007-5-23 03:38
腮腺混合瘤可能性大
作者: 拾荒者 时间: 2007-5-23 04:14
右侧腮腺下部均匀软组织密度肿块,外形不规则,与周围组织分界清晰,考虑右侧腮腺混合瘤或多形性腺瘤。
作者: shenhs 时间: 2007-5-23 06:48
考虑右侧腮腺混合瘤
作者: 百年合好 时间: 2007-5-23 07:00
项部淋巴瘤??
作者: 流星1234 时间: 2007-5-23 07:17
支持楼主
作者: 一片云 时间: 2007-5-23 18:08
颈部肿块好像有三个';';7';';字规律,7天多考虑急性炎症,7周多考虑新生物,7年多考虑先天性病变,这个病历还是增强吧
作者: ZHANGZHONGSHOU 时间: 2007-5-23 18:53
多考虑颌下腺混合瘤恶变,建议进一步检查,另外楼主重建图像很漂亮。
作者: 王靖旗 时间: 2007-5-23 19:43
大家好,病理结果出来了,如大家所说,颌下腺混合瘤。
唉,解剖没学好吧,我诊断错了,不过还是有些不理解回去我在多看看书,谢谢大家的参与,以后我还会奉献好的病例。
作者: 汪涛同志 时间: 2007-5-24 08:08
标题: 回复:ct8337:颈部包块8年,颈部ct和vrt,请讨论。
以下是引用王靖旗在2007-5-23 11:43:00的发言:[br]大家好,病理结果出来了,如大家所说,颌下腺混合瘤。[br]唉,解剖没学好吧,我诊断错了,不过还是有些不理解回去我在多看看书,谢谢大家的参与,以后我还会奉献好的病例。
支持一下!!19号才注册,两天的时间片子发的这么好,真的不容易,比我强多了,到现在我也没有学会发图软件的编辑,呵呵,不过我也没有相机,只有一个小灵通,还没有摄像头。
画个图共同讨论一下解剖关系。

作者: zyx168 时间: 2007-5-24 08:52
考虑来源于右侧腮腺及颌下腺的混合瘤
| 欢迎光临 医影在线 (http://bbs.radida.com/bbs/) |
Powered by Discuz! X3.2 |