医影在线

标题: CT8340[原创]男 21岁,胸闷。 [打印本页]

作者: 同    时间: 2007-5-23 02:13
标题: CT8340[原创]男 21岁,胸闷。
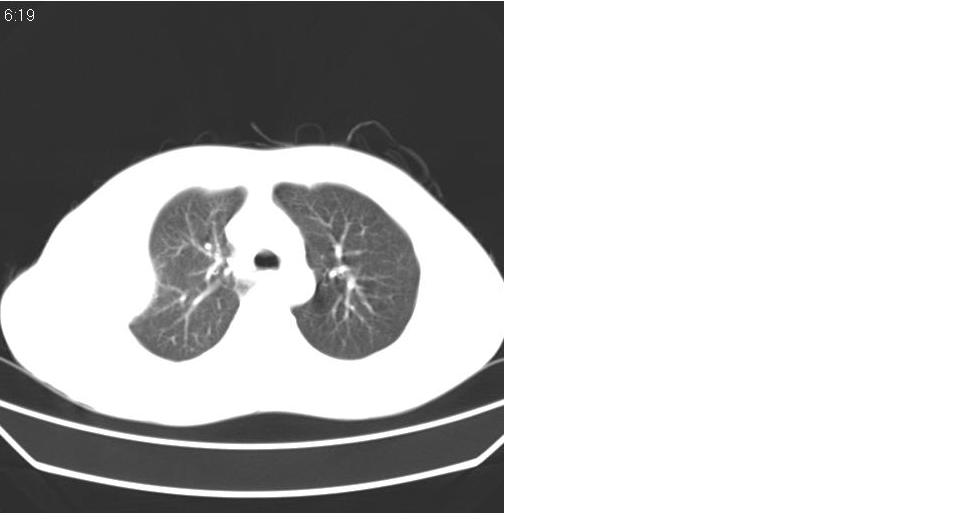
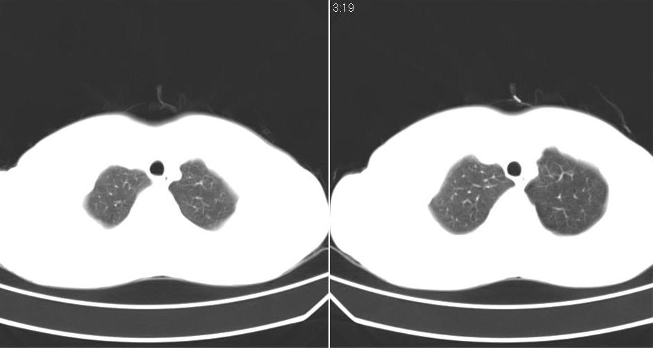
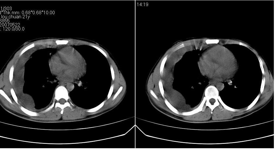
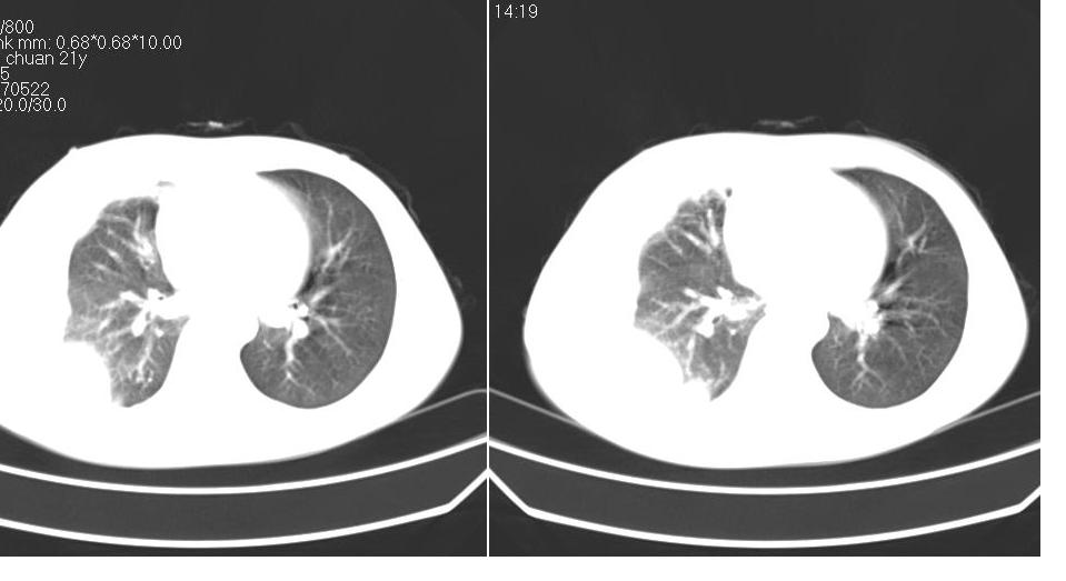
男 21岁,胸闷。


























[本贴已被 jiajie 于 2007-5-22 19:12:56 修改过]

作者: 天南地北    时间: 2007-5-23 02:21
右侧包裹性积液(结核性可能大)。
作者: wzr    时间: 2007-5-23 02:54
右侧包裹性积液
作者: hhcckk    时间: 2007-5-23 02:57
右侧胸腔积液,部分呈垂滴状,包裹了,最常见的原因是结核引起的
作者: wansheng    时间: 2007-5-23 03:01
右侧包裹性积液
作者: jw-830    时间: 2007-5-23 03:23
右侧包裹性积液(结核性可能大)。
作者: zjzjr    时间: 2007-5-23 03:40
支持右侧包裹性积液。
作者: dyqct    时间: 2007-5-23 03:42
支持右侧包裹性积液(结核性可能大)。
作者: 王靖旗    时间: 2007-5-23 04:09
标题: 回复:ct8340[原创]男 21岁,胸闷。
以下是引用dyqct在2007-5-22 19:42:00的发言:[br]支持右侧包裹性积液(结核性可能大)。

作者: 拾荒者    时间: 2007-5-23 04:25
支持右侧包裹性积液(结核性可能大)。
作者: jinning    时间: 2007-5-23 05:18
右侧包裹性胸腔积液,考虑1:结核,2:胸膜间皮瘤
作者: wp255    时间: 2007-5-23 06:06
应该是右胸包裹性积液,间皮瘤不是很像
作者: shenhs    时间: 2007-5-23 06:13
支持右侧包裹性积液(结核性可能大)。
作者: ZHANGZHONGSHOU    时间: 2007-5-23 16:22
标题: 回复:ct8340[原创]男 21岁,胸闷。
以下是引用hhcckk在2007-5-22 18:57:00的发言:[br]右侧胸腔积液,部分呈垂滴状,包裹了,最常见的原因是结核引起的

支持
作者: zyx168    时间: 2007-5-24 08:46
右侧包裹性积液(结核性可能大)。
作者: mlxq3086    时间: 2007-5-24 16:28
标题: 回复:ct8340[原创]男 21岁,胸闷。
以下是引用天南地北在2007-5-22 18:21:00的发言:[br]右侧包裹性积液(结核性可能大)。



支持!




欢迎光临 医影在线 (http://bbs.radida.com/bbs/) Powered by Discuz! X3.2